CD34 recombinant antibody
Anti-CD34 [My10]
Protein A Affinity Purified
Protein A Affinity Purified
WB (Western Blot)
( Western Blot using anti-CD34 antibody My10 Jurkat cell extract (35ug protein in RIPA buffer) was resolved on a 10% SDS PAGE gel and blots probed with the chimeric rabbit version of My10 at 0.1 ug/ml before detection using an anti-rabbit secondary antibody. A primary incubation of 1h was used and protein was detected by chemiluminescence. The expected band size for the canonical isoform of CD34 is 40.9kDa, though a second isoform at 35.2kDa is also present, with a 56 amino acid truncation at the C-terminus of the protein (Uniprot ID: Q64314). CD34 is also glycosylated at several positions. successfully detected both isoforms of human CD34.)
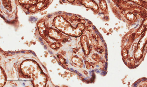
IHC (Immunohiostchemistry)
( Immunohistochemical staining of human placenta tissue using anti-CD34 antibody My10 Anti-CD34 staining of paraffin embedded human placenta tissue using the rabbit-chimeric version of My10 for 20 mins followed by DAB (3,3'-diaminobenzidine), and counter-staining with haemotoxylin. Strong endothelial staining of within villi may be observed. Recommended concentration, 2-4 ug/ml.)
FCM/FACS (Flow Cytometry)
( Flow-cytometry using anti-CD34 antibody My10 Human leukocytes were stained with an isotype control or the rabbit-chimeric version of My10 at a concentration of 1 ug/ml for 30 mins at RT. After washing, bound antibody was detected using a AF488 conjugated donkey anti-rabbit antibody and cells analysed on a FACSCanto flow-cytometer.)
NCBI and Uniprot Product Information
Customer Reviews
Loading reviews...
Share Your Experience
Similar Products
Product Notes
The CD34 cd34 (Catalog #AAA71961) is a Recombinant Antibody and is intended for research purposes only. The product is available for immediate purchase. The Anti-CD34 [My10] reacts with Human and may cross-react with other species as described in the data sheet. AAA Biotech's CD34 can be used in a range of immunoassay formats including, but not limited to, IHC (Immunohistochemistry), IP (Immunoprecipitation), FCM/FACS (Flow Cytometry). Researchers should empirically determine the suitability of the CD34 cd34 for an application not listed in the data sheet. Researchers commonly develop new applications and it is an integral, important part of the investigative research process. It is sometimes possible for the material contained within the vial of "CD34, Monoclonal Recombinant Antibody" to become dispersed throughout the inside of the vial, particularly around the seal of said vial, during shipment and storage. We always suggest centrifuging these vials to consolidate all of the liquid away from the lid and to the bottom of the vial prior to opening. Please be advised that certain products may require dry ice for shipping and that, if this is the case, an additional dry ice fee may also be required.Precautions
All products in the AAA Biotech catalog are strictly for research-use only, and are absolutely not suitable for use in any sort of medical, therapeutic, prophylactic, in-vivo, or diagnostic capacity. By purchasing a product from AAA Biotech, you are explicitly certifying that said products will be properly tested and used in line with industry standard. AAA Biotech and its authorized distribution partners reserve the right to refuse to fulfill any order if we have any indication that a purchaser may be intending to use a product outside of our accepted criteria.Disclaimer
Though we do strive to guarantee the information represented in this datasheet, AAA Biotech cannot be held responsible for any oversights or imprecisions. AAA Biotech reserves the right to adjust any aspect of this datasheet at any time and without notice. It is the responsibility of the customer to inform AAA Biotech of any product performance issues observed or experienced within 30 days of receipt of said product. To see additional details on this or any of our other policies, please see our Terms & Conditions page.Item has been added to Shopping Cart
If you are ready to order, navigate to Shopping Cart and get ready to checkout.
