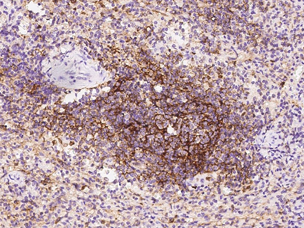
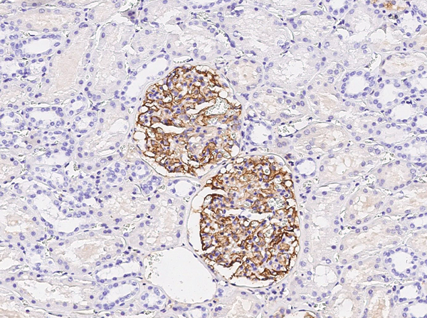
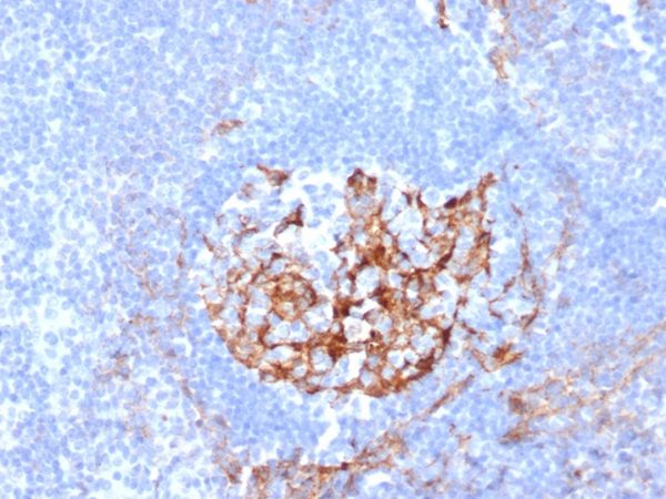
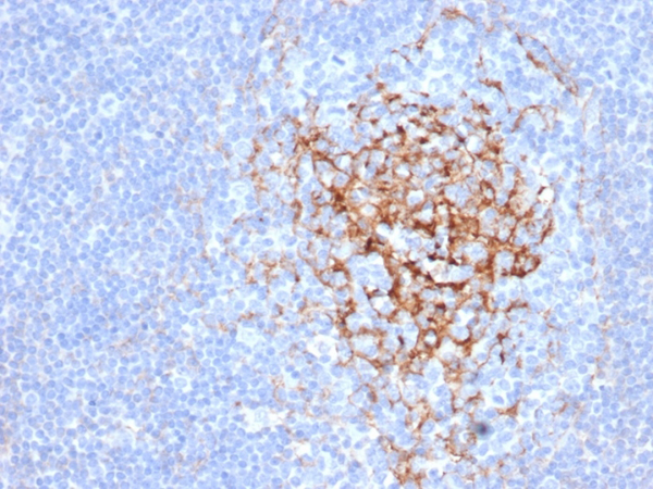
Mouse anti-Human CD35 Monoclonal Antibody | anti-CD35 antibody
CD35 (ABT-CD35) Antibody
Gene Names
CR1; KN; C3BR; C4BR; CD35
Reactivity
Human
Applications
ELISA, Immunofluorescence, Western Blot, Immunohistochemistry
Purity
Protein G
Synonyms
CD35, Antibody; CD35 (ABT-CD35) Antibody; Complement receptor type 1 (C3b/C4b receptor)(CD antigen CD35); C3 binding protein?C3b/C4b receptor?C3BR?C4BR?CD 35?CD35?CD35 antigen?complement component (3b/4b) receptor 1 (Knops blood group)?complement component (3b/4b) receptor 1 including Knops blood group system?Complement component receptor 1?Complement receptor 1?Complement receptor type 1?CR 1?CR1?CR1_HUMAN?KN?Knops blood group antigen; anti-CD35 antibody
Host
Mouse
Reactivity
Human
Clonality
Monoclonal
Isotype
Mouse IgG1, kappa
Clone Number
ABT-CD35
Specificity
The antibody can specifically recognize human CD35 protein.
Purity/Purification
Protein G
Form/Format
PBS, 50% glycerol, 0.05% Proclin 300, 0.05%BSA
Applicable Applications for anti-CD35 antibody
ELISA, IF (Immunofluorescence), WB (Western Blot), IHC (Immunohistochemistry)
Preparation and Storage
Store at -20 degree C/1 year
Product Categories/Family for anti-CD35 antibody
NCBI and Uniprot Product Information
NCBI GI #
NCBI GeneID
NCBI Accession #
NCBI GenBank Nucleotide #
Molecular Weight
223,663 Da
NCBI Official Full Name
complement receptor type 1 isoform S
NCBI Official Synonym Full Names
complement component (3b/4b) receptor 1 (Knops blood group)
NCBI Official Symbol
CR1
NCBI Official Synonym Symbols
KN; C3BR; C4BR; CD35
NCBI Protein Information
complement receptor type 1; CD35 antigen; C3b/C4b receptor; C3-binding protein; Knops blood group antigen
UniProt Protein Name
Complement receptor type 1
UniProt Gene Name
CR1
UniProt Synonym Gene Names
C3BR
UniProt Entry Name
CR1_HUMAN
Customer Reviews
Loading reviews...
Share Your Experience
Similar Products
Product Notes
The CD35 cr1 (Catalog #AAA320604) is an Antibody produced from Mouse and is intended for research purposes only. The product is available for immediate purchase. The CD35 (ABT-CD35) Antibody reacts with Human and may cross-react with other species as described in the data sheet. AAA Biotech's CD35 can be used in a range of immunoassay formats including, but not limited to, ELISA, IF (Immunofluorescence), WB (Western Blot), IHC (Immunohistochemistry). Researchers should empirically determine the suitability of the CD35 cr1 for an application not listed in the data sheet. Researchers commonly develop new applications and it is an integral, important part of the investigative research process. It is sometimes possible for the material contained within the vial of "CD35, Monoclonal Antibody" to become dispersed throughout the inside of the vial, particularly around the seal of said vial, during shipment and storage. We always suggest centrifuging these vials to consolidate all of the liquid away from the lid and to the bottom of the vial prior to opening. Please be advised that certain products may require dry ice for shipping and that, if this is the case, an additional dry ice fee may also be required.Precautions
All products in the AAA Biotech catalog are strictly for research-use only, and are absolutely not suitable for use in any sort of medical, therapeutic, prophylactic, in-vivo, or diagnostic capacity. By purchasing a product from AAA Biotech, you are explicitly certifying that said products will be properly tested and used in line with industry standard. AAA Biotech and its authorized distribution partners reserve the right to refuse to fulfill any order if we have any indication that a purchaser may be intending to use a product outside of our accepted criteria.Disclaimer
Though we do strive to guarantee the information represented in this datasheet, AAA Biotech cannot be held responsible for any oversights or imprecisions. AAA Biotech reserves the right to adjust any aspect of this datasheet at any time and without notice. It is the responsibility of the customer to inform AAA Biotech of any product performance issues observed or experienced within 30 days of receipt of said product. To see additional details on this or any of our other policies, please see our Terms & Conditions page.Item has been added to Shopping Cart
If you are ready to order, navigate to Shopping Cart and get ready to checkout.
