Mouse anti-Human CD41 Monoclonal Antibody | anti-CD41 antibody
CD41 Monoclonal Antibody (Q90)
Gene Names
ITGA2B; GT; GTA; CD41; GP2B; HPA3; CD41B; GPIIb; BDPLT2; BDPLT16
Reactivity
Human
Applications
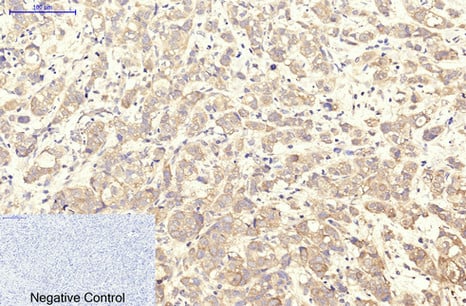
Immunohistochemistry
Synonyms
CD41, Antibody; CD41 Monoclonal Antibody (Q90); ITGA2B; GP2B; ITGAB; Integrin alpha-IIb; GPalpha IIb; GPIIb; Platelet membrane glycoprotein IIb; CD41; anti-CD41 antibody
Host
Mouse
Reactivity
Human
Clonality
Monoclonal
Clone Number
Q90
Applicable Applications for anti-CD41 antibody
IHC (Immunohistochemistry)
Preparation and Storage
Maintain refrigerated at 2-8 degree C for up to 2 weeks. For long term storage store at -20 degree C in small aliquots to prevent freeze-thaw cycles.
Related Product Information for anti-CD41 antibody
Integrin alpha-IIb/beta-3 is a receptor for fibronectin, fibrinogen, plasminogen, prothrombin, thrombospondin and vitronectin. It recognizes the sequence R-G-D in a wide array of ligands. It recognizes the sequence H-H-L-G-G-G-A-K-Q-A-G-D-V in fibrinogen gamma chain. Following activation integrin alpha- IIb/beta-3 brings about platelet/platelet interaction through binding of soluble fibrinogen. This step leads to rapid platelet aggregation which physically plugs ruptured endothelial cell surface.
NCBI and Uniprot Product Information
NCBI GI #
NCBI GeneID
NCBI Accession #
NCBI GenBank Nucleotide #
Molecular Weight
1039
NCBI Official Full Name
integrin alpha-IIb preproprotein
NCBI Official Synonym Full Names
integrin, alpha 2b (platelet glycoprotein IIb of IIb/IIIa complex, antigen CD41)
NCBI Official Symbol
ITGA2B
NCBI Official Synonym Symbols
GT; GTA; CD41; GP2B; HPA3; CD41B; GPIIb; BDPLT2; BDPLT16
NCBI Protein Information
integrin alpha-IIb; GPalpha IIb; platelet-specific antigen BAK; platelet membrane glycoprotein IIb; platelet fibrinogen receptor, alpha subunit
UniProt Protein Name
Integrin alpha-IIb
UniProt Gene Name
ITGA2B
UniProt Synonym Gene Names
GP2B; ITGAB; GPIIb
UniProt Entry Name
ITA2B_HUMAN
Customer Reviews
Loading reviews...
Share Your Experience
Similar Products
Product Notes
The CD41 itga2b (Catalog #AAA293541) is an Antibody produced from Mouse and is intended for research purposes only. The product is available for immediate purchase. The CD41 Monoclonal Antibody (Q90) reacts with Human and may cross-react with other species as described in the data sheet. AAA Biotech's CD41 can be used in a range of immunoassay formats including, but not limited to, IHC (Immunohistochemistry). Researchers should empirically determine the suitability of the CD41 itga2b for an application not listed in the data sheet. Researchers commonly develop new applications and it is an integral, important part of the investigative research process. It is sometimes possible for the material contained within the vial of "CD41, Monoclonal Antibody" to become dispersed throughout the inside of the vial, particularly around the seal of said vial, during shipment and storage. We always suggest centrifuging these vials to consolidate all of the liquid away from the lid and to the bottom of the vial prior to opening. Please be advised that certain products may require dry ice for shipping and that, if this is the case, an additional dry ice fee may also be required.Precautions
All products in the AAA Biotech catalog are strictly for research-use only, and are absolutely not suitable for use in any sort of medical, therapeutic, prophylactic, in-vivo, or diagnostic capacity. By purchasing a product from AAA Biotech, you are explicitly certifying that said products will be properly tested and used in line with industry standard. AAA Biotech and its authorized distribution partners reserve the right to refuse to fulfill any order if we have any indication that a purchaser may be intending to use a product outside of our accepted criteria.Disclaimer
Though we do strive to guarantee the information represented in this datasheet, AAA Biotech cannot be held responsible for any oversights or imprecisions. AAA Biotech reserves the right to adjust any aspect of this datasheet at any time and without notice. It is the responsibility of the customer to inform AAA Biotech of any product performance issues observed or experienced within 30 days of receipt of said product. To see additional details on this or any of our other policies, please see our Terms & Conditions page.Item has been added to Shopping Cart
If you are ready to order, navigate to Shopping Cart and get ready to checkout.
