Rabbit CD44v9 Monoclonal Antibody | anti-CD44v9 antibody
CD44v9 (Marker of Tumor Metastasis)
Gene Names
CD44; IN; LHR; MC56; MDU2; MDU3; MIC4; Pgp1; CDW44; CSPG8; HCELL; HUTCH-I; ECMR-III
Reactivity
Human. Others not tested.
Applications
Immunohistochemistry
Synonyms
CD44v9, Antibody; CD44v9 (Marker of Tumor Metastasis); LHR; BA-1; chondroitin sulfate proteoglycan 8 (CSPG8); Epican; Extracellular Matrix Receptor III (ECM III); GP90 Lymphocyte Homing Adhesion Receptor; HCAM; HCELL; hematopoietic cell E- and L-selectin ligand; Heparan Sulfate Proteoglycan; Hermes Antigen; HAS; HUTCH I; Hyaluronate Receptor; Indian blood group; Inlu Related p80 Glycoprotein; Ly 24; MDU2; MDU3; MIC4; MUTCH I; Phagocytic Glycoprotein 1 (PGP-1); anti-CD44v9 antibody
Host
Rabbit
Reactivity
Human. Others not tested.
Clonality
Monoclonal
Isotype
IgG
Clone Number
CD44v9/2344R
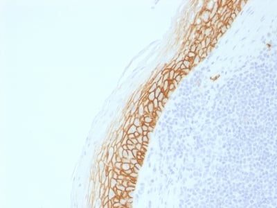
Specificity
This antibody recognizes an epitope encoded by exon v4 on the variant portion of human CD44. The CD44 molecule belongs to a family of cellular adhesion molecules found on a wide range of normal and malignant cells in epithelial, mesothelial and hemopoiesis tissues. CD44 is a single gene with 20 exons, of which 10 are normally expressed to encode the basic CD44 (H-CAM) molecule. The additional 10 exons (v1 to v10) are only expressed by alternative splicing of the nuclear RNA. The expression of specific cell adhesion molecule CD44 splice variants has been reported to be associated with metastasis in certain human malignancies.
Form/Format
200ug/ml of Ab purified by Protein A. Prepared in 10mM PBS with 0.05% BSA & 0.05% azide. Also available WITHOUT BSA & azide at 1.0mg/ml.
Sequence Length
742
Applicable Applications for anti-CD44v9 antibody
IHC (Immunohistochemistry)
Immunogen
Recombinant fragment corresponding to the v9 domain of human CD44
Cellular Localization
Cell Surface
Hu-chromosome Location
11p13
Positive Control
Cervix or Tongue Squamous Cell Carcinoma
Preparation and Storage
Antibody with azide - store at 2 to 8 degree C.
Antibody without azide - store at -20 to -80 degree C.
Antibody is stable for 24 months. Non-hazardous. No MSDS required.
Antibody without azide - store at -20 to -80 degree C.
Antibody is stable for 24 months. Non-hazardous. No MSDS required.
References
H. Imam, B. Eriksson & K. Oberg. Expression of CD44 variant isoforms and association to the benign form of endocrine pancreatic tumours. Annals of Oncology 11: 295-300, 2000. Thanakit V, Sampatanukul P, Ruangvejvorachai P, Keelawat S. The association of co-expression of CD44v4/MMP-9 with different nodal status in high-grade breast carcinoma patients. J Med Assoc Thai.2005 Sep; 88 Suppl 4:S30-5.
NCBI and Uniprot Product Information
NCBI GI #
NCBI GeneID
NCBI Accession #
NCBI GenBank Nucleotide #
UniProt Accession #
Molecular Weight
80-95kDa
NCBI Official Full Name
CD44 antigen isoform 1
NCBI Official Synonym Full Names
CD44 molecule (Indian blood group)
NCBI Official Symbol
CD44
NCBI Official Synonym Symbols
IN; LHR; MC56; MDU2; MDU3; MIC4; Pgp1; CDW44; CSPG8; HCELL; HUTCH-I; ECMR-III
NCBI Protein Information
CD44 antigen
UniProt Protein Name
CD44 antigen
UniProt Gene Name
CD44
UniProt Synonym Gene Names
LHR; MDU2; MDU3; MIC4; ECMR-III; PGP-1; PGP-I
Customer Reviews
Loading reviews...
Share Your Experience
Similar Products
Product Notes
The CD44v9 cd44 (Catalog #AAA214610) is an Antibody produced from Rabbit and is intended for research purposes only. The product is available for immediate purchase. The CD44v9 (Marker of Tumor Metastasis) reacts with Human. Others not tested. and may cross-react with other species as described in the data sheet. AAA Biotech's CD44v9 can be used in a range of immunoassay formats including, but not limited to, IHC (Immunohistochemistry). Researchers should empirically determine the suitability of the CD44v9 cd44 for an application not listed in the data sheet. Researchers commonly develop new applications and it is an integral, important part of the investigative research process. It is sometimes possible for the material contained within the vial of "CD44v9, Monoclonal Antibody" to become dispersed throughout the inside of the vial, particularly around the seal of said vial, during shipment and storage. We always suggest centrifuging these vials to consolidate all of the liquid away from the lid and to the bottom of the vial prior to opening. Please be advised that certain products may require dry ice for shipping and that, if this is the case, an additional dry ice fee may also be required.Precautions
All products in the AAA Biotech catalog are strictly for research-use only, and are absolutely not suitable for use in any sort of medical, therapeutic, prophylactic, in-vivo, or diagnostic capacity. By purchasing a product from AAA Biotech, you are explicitly certifying that said products will be properly tested and used in line with industry standard. AAA Biotech and its authorized distribution partners reserve the right to refuse to fulfill any order if we have any indication that a purchaser may be intending to use a product outside of our accepted criteria.Disclaimer
Though we do strive to guarantee the information represented in this datasheet, AAA Biotech cannot be held responsible for any oversights or imprecisions. AAA Biotech reserves the right to adjust any aspect of this datasheet at any time and without notice. It is the responsibility of the customer to inform AAA Biotech of any product performance issues observed or experienced within 30 days of receipt of said product. To see additional details on this or any of our other policies, please see our Terms & Conditions page.Item has been added to Shopping Cart
If you are ready to order, navigate to Shopping Cart and get ready to checkout.
