Mouse anti-Human CD45 Monoclonal Antibody | anti-CD45 antibody
Anti-CD45 (LCA) Antibody [ABT-CD45]
Gene Names
PTPRC; LCA; LY5; B220; CD45; L-CA; T200; CD45R; GP180
Reactivity
Human
Applications
Immunohistochemistry
Purity
Immunogen Affinity Purified
Synonyms
CD45, Antibody; Anti-CD45 (LCA) Antibody [ABT-CD45]; Anti-CD45 (LCA) [ABT-CD45]; Mouse monoclonal [ABT-CD45] antibody to CD45; L-CA; Leukocyte common antigen precursor; Leukocyte common antigen variant 4 precursor; LY-5; Lymphocyte common antigen Ly-5; PTPRC; T200; anti-CD45 antibody
Host
Mouse
Reactivity
Human
Clonality
Monoclonal
Isotype
IgG
Clone Number
ABT-CD45
Purity/Purification
Immunogen Affinity Purified
Form/Format
0.5% Bovine Serum Albumin (BSA), 0.1% Kathon CG/ICP, 10x Tris-Buffered Saline (TBS), Type 3 MilliQ H2O and 50% Glycerol.
Sequence Length
1306
Applicable Applications for anti-CD45 antibody
IHC (Immunohistochemistry)
Immunogen
Synthetic Peptide
Localization
Membranous
IHC Recommended Control
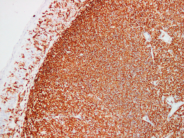
Tonsil, Lymph Node
Cell Marque/Ventana Control
Tonsil
Retrieval Buffer
Citrate buffer of pH 6.0
Antigen Retrieval
Heat-Induced Epitope Retrieval (HIER)
Preparation and Storage
Store at -20 degree C for 1 year.
Product Categories/Family for anti-CD45 antibody
NCBI and Uniprot Product Information
NCBI GI #
NCBI GeneID
NCBI Accession #
NCBI GenBank Nucleotide #
UniProt Accession #
NCBI Official Full Name
receptor-type tyrosine-protein phosphatase C isoform 1
NCBI Official Synonym Full Names
protein tyrosine phosphatase receptor type C
NCBI Official Symbol
PTPRC
NCBI Official Synonym Symbols
LCA; LY5; B220; CD45; L-CA; T200; CD45R; GP180
NCBI Protein Information
receptor-type tyrosine-protein phosphatase C
UniProt Protein Name
Receptor-type tyrosine-protein phosphatase C
UniProt Gene Name
PTPRC
UniProt Synonym Gene Names
CD45; L-CA
UniProt Entry Name
PTPRC_HUMAN
Customer Reviews
Loading reviews...
Share Your Experience
Similar Products
Product Notes
The CD45 ptprc (Catalog #AAA318512) is an Antibody produced from Mouse and is intended for research purposes only. The product is available for immediate purchase. The Anti-CD45 (LCA) Antibody [ABT-CD45] reacts with Human and may cross-react with other species as described in the data sheet. AAA Biotech's CD45 can be used in a range of immunoassay formats including, but not limited to, IHC (Immunohistochemistry). Researchers should empirically determine the suitability of the CD45 ptprc for an application not listed in the data sheet. Researchers commonly develop new applications and it is an integral, important part of the investigative research process. It is sometimes possible for the material contained within the vial of "CD45, Monoclonal Antibody" to become dispersed throughout the inside of the vial, particularly around the seal of said vial, during shipment and storage. We always suggest centrifuging these vials to consolidate all of the liquid away from the lid and to the bottom of the vial prior to opening. Please be advised that certain products may require dry ice for shipping and that, if this is the case, an additional dry ice fee may also be required.Precautions
All products in the AAA Biotech catalog are strictly for research-use only, and are absolutely not suitable for use in any sort of medical, therapeutic, prophylactic, in-vivo, or diagnostic capacity. By purchasing a product from AAA Biotech, you are explicitly certifying that said products will be properly tested and used in line with industry standard. AAA Biotech and its authorized distribution partners reserve the right to refuse to fulfill any order if we have any indication that a purchaser may be intending to use a product outside of our accepted criteria.Disclaimer
Though we do strive to guarantee the information represented in this datasheet, AAA Biotech cannot be held responsible for any oversights or imprecisions. AAA Biotech reserves the right to adjust any aspect of this datasheet at any time and without notice. It is the responsibility of the customer to inform AAA Biotech of any product performance issues observed or experienced within 30 days of receipt of said product. To see additional details on this or any of our other policies, please see our Terms & Conditions page.Item has been added to Shopping Cart
If you are ready to order, navigate to Shopping Cart and get ready to checkout.
