Mouse CD57 / B3GAT1 Monoclonal Antibody | anti-CD57 antibody
CD57 / B3GAT1 (Natural Killer Cell Marker) Mouse Monoclonal Antibody
Gene Names
B3GAT1; NK1; CD57; HNK1; LEU7; NK-1; GLCATP; GLCUATP
Reactivity
Human.Does not react with rat. Others not known.
Applications
Immunohistochemistry, Immunofluorescence
Synonyms
CD57 / B3GAT1, Antibody; CD57 / B3GAT1 (Natural Killer Cell Marker) Mouse Monoclonal Antibody; 3-Glucuronyltransferase 1; B3GAT1; Galactosylgalactosylxylosylprotein 3-beta-Glucuronosyltransferase 1; GLCATP; GlcUAT-P; Glucuronosyltransferase P; UDP GlcUA Glycoprotein beta 1, 3 Glucuronyltransferase; anti-CD57 antibody
Host
Mouse
Reactivity
Human.
Does not react with rat. Others not known.
Does not react with rat. Others not known.
Clonality
Monoclonal
Isotype
Mouse / IgM, kappa (HNK-1) + Mouse / IgM, kappa (NK-1)
Clone Number
HNK-1 + NK-1
Specificity
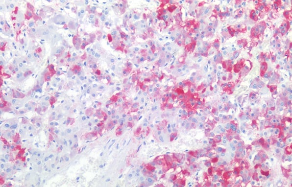
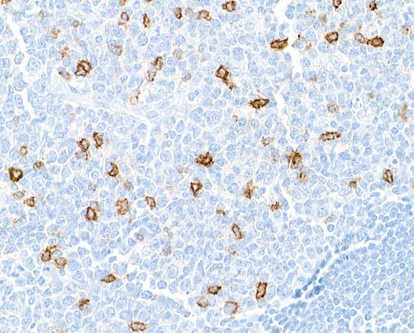
Anti-CD57 marks a subset of lymphocytes known as natural killer (NK) cells. Follicular center cell lymphomas often contain many NK cells within the neoplastic follicles. Anti-CD57 also stains neuroendocrine cells and their derived tumors, including carcinoid tumor and medulloblastoma. Anti-CD57 can also be useful in separating type B3 thymoma from thymic carcinoma when combined with a panel that includes antibodies against GLUT1, CD5, and CEA.
Form/Format
200ug/ml of Ab purified from Bioreactor Concentrate. Prepared in 10mM PBS with 0.05% BSA & 0.05% azide.
Also available WITHOUT BSA & azide at 1.0mg/ml.
Also available WITHOUT BSA & azide at 1.0mg/ml.
Applicable Applications for anti-CD57 antibody
IHC (Immunohistochemistry), IF (Immunofluorescence)
Cellular Localization
Cell Surface
Immunogen
Human peripheral blood mononuclear cells (HNK-1 & NK-1)
Hu-Chromosome Location
11q25
Positive Control
Lymph node or Tonsil
Preparation and Storage
Antibody with azide - store at 2 to 8 degree C.
Antibody without azide - store at -20 to -80 degree C.
Antibody is stable for 24 months. Non-hazardous. No MSDS required.
Antibody without azide - store at -20 to -80 degree C.
Antibody is stable for 24 months. Non-hazardous. No MSDS required.
References
Abo T et. al. J Immunol, 1982, 129(4):1758-61. Abo T et al. J Immunology, 1982, 129:1752-7
NCBI and Uniprot Product Information
NCBI GI #
NCBI GeneID
NCBI Accession #
NCBI GenBank Nucleotide #
Molecular Weight
~110kDa
NCBI Official Full Name
galactosylgalactosylxylosylprotein 3-beta-glucuronosyltransferase 1
NCBI Official Synonym Full Names
beta-1,3-glucuronyltransferase 1
NCBI Official Symbol
B3GAT1
NCBI Official Synonym Symbols
NK1; CD57; HNK1; LEU7; NK-1; GLCATP; GLCUATP
NCBI Protein Information
galactosylgalactosylxylosylprotein 3-beta-glucuronosyltransferase 1
UniProt Protein Name
Galactosylgalactosylxylosylprotein 3-beta-glucuronosyltransferase 1
UniProt Gene Name
B3GAT1
UniProt Synonym Gene Names
GLCATP; GlcAT-P; GlcUAT-P
UniProt Entry Name
B3GA1_HUMAN
Customer Reviews
Loading reviews...
Share Your Experience
Similar Products
Product Notes
The CD57 b3gat1 (Catalog #AAA62673) is an Antibody produced from Mouse and is intended for research purposes only. The product is available for immediate purchase. The CD57 / B3GAT1 (Natural Killer Cell Marker) Mouse Monoclonal Antibody reacts with Human. Does not react with rat. Others not known. and may cross-react with other species as described in the data sheet. AAA Biotech's CD57 / B3GAT1 can be used in a range of immunoassay formats including, but not limited to, IHC (Immunohistochemistry), IF (Immunofluorescence). Researchers should empirically determine the suitability of the CD57 b3gat1 for an application not listed in the data sheet. Researchers commonly develop new applications and it is an integral, important part of the investigative research process. It is sometimes possible for the material contained within the vial of "CD57 / B3GAT1, Monoclonal Antibody" to become dispersed throughout the inside of the vial, particularly around the seal of said vial, during shipment and storage. We always suggest centrifuging these vials to consolidate all of the liquid away from the lid and to the bottom of the vial prior to opening. Please be advised that certain products may require dry ice for shipping and that, if this is the case, an additional dry ice fee may also be required.Precautions
All products in the AAA Biotech catalog are strictly for research-use only, and are absolutely not suitable for use in any sort of medical, therapeutic, prophylactic, in-vivo, or diagnostic capacity. By purchasing a product from AAA Biotech, you are explicitly certifying that said products will be properly tested and used in line with industry standard. AAA Biotech and its authorized distribution partners reserve the right to refuse to fulfill any order if we have any indication that a purchaser may be intending to use a product outside of our accepted criteria.Disclaimer
Though we do strive to guarantee the information represented in this datasheet, AAA Biotech cannot be held responsible for any oversights or imprecisions. AAA Biotech reserves the right to adjust any aspect of this datasheet at any time and without notice. It is the responsibility of the customer to inform AAA Biotech of any product performance issues observed or experienced within 30 days of receipt of said product. To see additional details on this or any of our other policies, please see our Terms & Conditions page.Item has been added to Shopping Cart
If you are ready to order, navigate to Shopping Cart and get ready to checkout.
