Mouse CD79a Monoclonal Antibody | anti-CD79a antibody
CD79a
Gene Names
CD79A; IGA; MB-1
Reactivity
Human, Monkey, Pig, Cow, Mouse, Rat. Others not known.
Applications
Immunohistochemistry, Immunofluorescence, Flow Cytometry, Functional Assay
Synonyms
CD79a, Antibody; CD79a; B lymphocyte-specific MB1 protein; B-cell antigen receptor complex-associated protein alpha chain; CD79a molecule immunoglobulin associated alpha; Ig-alpha; IGA; IgM-alpha; Immunoglobulin-associated alpha; Ly54; MB-1 membrane glycoprotein; Membrane-bound immunoglobulin-associated protein; Surface IgM-associated protein; anti-CD79a antibody
Host
Mouse
Reactivity
Human, Monkey, Pig, Cow, Mouse, Rat. Others not known.
Clonality
Monoclonal
Isotype
IgG1, kappa
Clone Number
HM57
Specificity
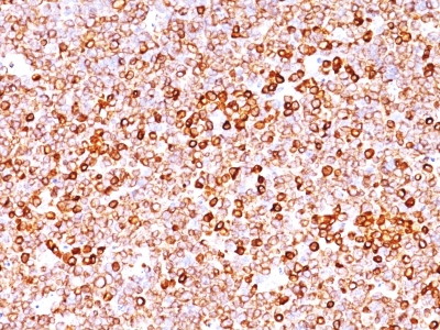
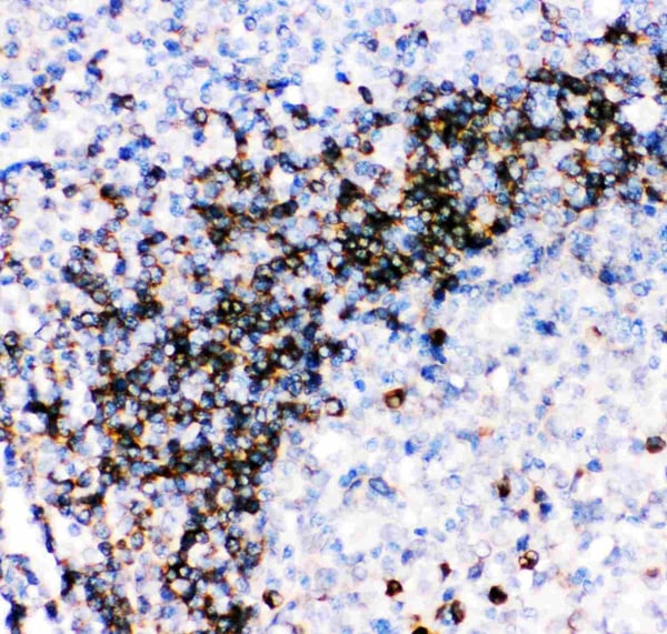
A disulphide-linked heterodimer, consisting of mb-1 (or CD79a) and B29 (or CD79b) polypeptides, is non-covalently associated with membrane-bound immunoglobulins on B cells. This complex of mb-1 and B29 polypeptides and immunoglobulin constitute the B cell Ag receptor. CD79a first appears at pre B cell stage, early in maturation, and persists until the plasma cell stage where it is found as an intracellular component. CD79a is found in the majority of acute leukemias of precursor B cell type, in B cell lines, B cell lymphomas, and in some myelomas. It is not present in myeloid or T cell lines. Anti-CD79a is generally used to complement anti-CD20 especially for mature B-cell lymphomas after treatment with Rituximab (anti-CD20). This antibody will stain many of the same lymphomas as anti-CD20, but also is more likely to stain B-lymphoblastic lymphoma/leukemia than is anti-CD20. Anti-CD79a also stains more cases of plasma cell myeloma and occasionally some types of endothelial cells as well.
Form/Format
200ug/ml of Ab purified from Bioreactor Concentrate by Protein A/G. Prepared in 10mM PBS with 0.05% BSA & 0.05% azide. Also available WITHOUT BSA & azide at 1.0mg/ml.
Sequence Length
226
Applicable Applications for anti-CD79a antibody
IHC (Immunohistochemistry), IF (Immunofluorescence), FCM/FACS (Flow Cytometry)
Immunogen
A synthetic peptide corresponding to aa 202-216 (GTYQDVGSLNIADVQ) of human CD79a protein.
Cellular Localization
Cell Surface
Hu-chromosome Location
19q13.2
Positive Control
Daudi or Ramos cells. Germinal center B-cells in a lymph node or tonsil.
Preparation and Storage
Antibody with azide - store at 2 to 8 degree C.
Antibody without azide - store at -20 to -80 degree C.
Antibody is stable for 24 months. Non-hazardous. No MSDS required.
Antibody without azide - store at -20 to -80 degree C.
Antibody is stable for 24 months. Non-hazardous. No MSDS required.
References
Mason, DY, et al. 1995. Blood 86: 1453-1459.
NCBI and Uniprot Product Information
NCBI GI #
NCBI GeneID
NCBI Accession #
NCBI GenBank Nucleotide #
Molecular Weight
44kDa
NCBI Official Full Name
B-cell antigen receptor complex-associated protein alpha chain isoform 1
NCBI Official Synonym Full Names
CD79a molecule
NCBI Official Symbol
CD79A
NCBI Official Synonym Symbols
IGA; MB-1
NCBI Protein Information
B-cell antigen receptor complex-associated protein alpha chain
UniProt Protein Name
B-cell antigen receptor complex-associated protein alpha chain
UniProt Gene Name
CD79A
UniProt Synonym Gene Names
IGA; MB1
Customer Reviews
Loading reviews...
Share Your Experience
Similar Products
Product Notes
The CD79a cd79a (Catalog #AAA214614) is an Antibody produced from Mouse and is intended for research purposes only. The product is available for immediate purchase. The CD79a reacts with Human, Monkey, Pig, Cow, Mouse, Rat. Others not known. and may cross-react with other species as described in the data sheet. AAA Biotech's CD79a can be used in a range of immunoassay formats including, but not limited to, IHC (Immunohistochemistry), IF (Immunofluorescence), FCM/FACS (Flow Cytometry). Researchers should empirically determine the suitability of the CD79a cd79a for an application not listed in the data sheet. Researchers commonly develop new applications and it is an integral, important part of the investigative research process. It is sometimes possible for the material contained within the vial of "CD79a, Monoclonal Antibody" to become dispersed throughout the inside of the vial, particularly around the seal of said vial, during shipment and storage. We always suggest centrifuging these vials to consolidate all of the liquid away from the lid and to the bottom of the vial prior to opening. Please be advised that certain products may require dry ice for shipping and that, if this is the case, an additional dry ice fee may also be required.Precautions
All products in the AAA Biotech catalog are strictly for research-use only, and are absolutely not suitable for use in any sort of medical, therapeutic, prophylactic, in-vivo, or diagnostic capacity. By purchasing a product from AAA Biotech, you are explicitly certifying that said products will be properly tested and used in line with industry standard. AAA Biotech and its authorized distribution partners reserve the right to refuse to fulfill any order if we have any indication that a purchaser may be intending to use a product outside of our accepted criteria.Disclaimer
Though we do strive to guarantee the information represented in this datasheet, AAA Biotech cannot be held responsible for any oversights or imprecisions. AAA Biotech reserves the right to adjust any aspect of this datasheet at any time and without notice. It is the responsibility of the customer to inform AAA Biotech of any product performance issues observed or experienced within 30 days of receipt of said product. To see additional details on this or any of our other policies, please see our Terms & Conditions page.Item has been added to Shopping Cart
If you are ready to order, navigate to Shopping Cart and get ready to checkout.
