Rabbit CD8A Monoclonal Antibody | anti-CD8A antibody
CD8A (Cytotoxic- & Suppressor T-Cell Marker)
Gene Names
CD8A; CD8; p32; Leu2
Reactivity
Human. Others not known.
Applications
Immunohistochemistry, Immunofluorescence, Flow Cytometry, Functional Assay
Synonyms
CD8A, Antibody; CD8A (Cytotoxic- & Suppressor T-Cell Marker); CD8 antigen; alpha polypeptide (p32); T8/Leu-2 T-lymphocyte differentiation antigen; Ly3; LYT3; MAL; T-cell surface glycoprotein CD8 alpha chain; anti-CD8A antibody
Host
Rabbit
Reactivity
Human. Others not known.
Clonality
Monoclonal
Isotype
IgG
Clone Number
C8/1779R
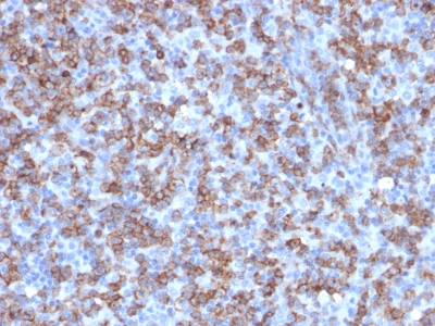
Specificity
CD8 is a cell surface receptor expressed either as a heterodimer with the CD8 beta chain (CD8 alpha/beta) or as a homodimer (CD8 alpha/alpha). A majority of thymocytes and a subpopulation of mature T cells and NK cells express CD8a. CD8 binds to MHC class 1 and through its association with protein tyrosine kinase p56lck plays a role in T cell development and activation of mature T cells. For mature T-cells, CD4 and CD8 are mutually exclusive, so anti-CD8, generally used in conjunction with anti-CD4. It is a useful marker for distinguishing helper/inducer T-lymphocytes, and most peripheral T-cell lymphomas are CD4+/CD8-. Anaplastic large cell lymphoma is usually CD4+ and CD8-, and in T-lymphoblastic lymphoma/leukemia, CD4 and CD8 are often co-expressed. CD8 is also found in littoral cell angioma of the spleen.
Form/Format
200ug/ml of recombinant MAb purified by Protein A. Prepared in 10mM PBS with 0.05% BSA & 0.05% azide. Also available WITHOUT BSA & azide at 1.0mg/ml.
Sequence Length
235
Applicable Applications for anti-CD8A antibody
IHC (Immunohistochemistry), IF (Immunofluorescence), FCM/FACS (Flow Cytometry)
Immunogen
Recombinant full-length human CD8a protein
Cellular Localization
Cell Surface
Hu-chromosome Location
2p11.2
Positive Control
HuT78 or hPBL. Tonsil
Preparation and Storage
Antibody with azide - store at 2 to 8 degree C.
Antibody without azide - store at -20 to -80 degree C.
Antibody is stable for 24 months. Non-hazardous. No MSDS required.
Antibody without azide - store at -20 to -80 degree C.
Antibody is stable for 24 months. Non-hazardous. No MSDS required.
References
Mason DY, et. al. Journal of Clinical Pathology, 1992, 45(12):1084-8.
NCBI and Uniprot Product Information
NCBI GI #
NCBI GeneID
NCBI Accession #
NCBI GenBank Nucleotide #
Molecular Weight
32kDa
NCBI Official Full Name
T-cell surface glycoprotein CD8 alpha chain isoform 1
NCBI Official Synonym Full Names
CD8a molecule
NCBI Official Symbol
CD8A
NCBI Official Synonym Symbols
CD8; p32; Leu2
NCBI Protein Information
T-cell surface glycoprotein CD8 alpha chain
UniProt Protein Name
T-cell surface glycoprotein CD8 alpha chain
UniProt Gene Name
CD8A
UniProt Synonym Gene Names
MAL
Customer Reviews
Loading reviews...
Share Your Experience
Similar Products
Product Notes
The CD8A cd8a (Catalog #AAA214576) is an Antibody produced from Rabbit and is intended for research purposes only. The product is available for immediate purchase. The CD8A (Cytotoxic- & Suppressor T-Cell Marker) reacts with Human. Others not known. and may cross-react with other species as described in the data sheet. AAA Biotech's CD8A can be used in a range of immunoassay formats including, but not limited to, IHC (Immunohistochemistry), IF (Immunofluorescence), FCM/FACS (Flow Cytometry). Researchers should empirically determine the suitability of the CD8A cd8a for an application not listed in the data sheet. Researchers commonly develop new applications and it is an integral, important part of the investigative research process. It is sometimes possible for the material contained within the vial of "CD8A, Monoclonal Antibody" to become dispersed throughout the inside of the vial, particularly around the seal of said vial, during shipment and storage. We always suggest centrifuging these vials to consolidate all of the liquid away from the lid and to the bottom of the vial prior to opening. Please be advised that certain products may require dry ice for shipping and that, if this is the case, an additional dry ice fee may also be required.Precautions
All products in the AAA Biotech catalog are strictly for research-use only, and are absolutely not suitable for use in any sort of medical, therapeutic, prophylactic, in-vivo, or diagnostic capacity. By purchasing a product from AAA Biotech, you are explicitly certifying that said products will be properly tested and used in line with industry standard. AAA Biotech and its authorized distribution partners reserve the right to refuse to fulfill any order if we have any indication that a purchaser may be intending to use a product outside of our accepted criteria.Disclaimer
Though we do strive to guarantee the information represented in this datasheet, AAA Biotech cannot be held responsible for any oversights or imprecisions. AAA Biotech reserves the right to adjust any aspect of this datasheet at any time and without notice. It is the responsibility of the customer to inform AAA Biotech of any product performance issues observed or experienced within 30 days of receipt of said product. To see additional details on this or any of our other policies, please see our Terms & Conditions page.Item has been added to Shopping Cart
If you are ready to order, navigate to Shopping Cart and get ready to checkout.
