Rat anti-Mouse CD8a Monoclonal Antibody | anti-CD8a antibody
Anti-Mouse CD8a (Ly 2), APC-Cy7 (Clone YTS 169.4)(rat IgG2b)
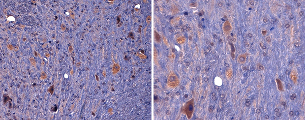
IHC (Immunohiostchemistry)
(CL7778AP (4ug/ml) staining of a rat brain formalin-fixed, paraffin-embedded tissue section; seen at 20x (left) and 40x (right) magnification. Strong staining observed in the cytoplasm of neuronal cells.)
WB (Western Blot)
(CL7778AP (1ug/ml) staining of a rat brain lysate (35ug protein in RIPA buffer). Primary incubation was 1 hour. Detected by chemiluminescence.)
This antibody has been reported to be suitable for use in immunohistochemistry on PFA-fixed paraffin-embedded tissue sections (antigen retrieval is required)(7). This clone has also been reported to work in immunohistochemistry with frozen sections(6).
2. Cobbald S.P. et al. 8th International Conference on Lymphatic Tissues and Germinal Centres. Plenum Press (Ed. Klaus G.) in press (1984) Immunosuppression with monoclonal antibodies -rules for effective serotherapy.
3. Aqel N.M. et al. (1984) J. of Immunol. Methods. 69: 207-214. Immunohistological Screening in the selection of monoclonal antibodies: the use of isotype specific antiglobulins.
4. Ledbetter J.A. and Hertzenberg L.A. (1979) Nature. 277: 131-133. Rat x Rat hybrid myelomas and a monoclonal anti-Fd portion of mouse Ig.
5. Mueller, R. et al. (1997) J. of Immunol. 159: 1599-1603. IL-4 Expression by Grafts from Transgenic Mice Fails to Prevent Allograft Rejection.
6. Stevenson, P.G. et al. (1997) J. of Immunol. 159: 1876-1884. Virus Dissemination Through the Brain Parenchyma Without Immunologic Control.
7. Zhang B, Kracker S, Yasuda T, Casola S, et al. (2012) Immune Surveillance and Therapy of Lymphomas Driven by Epstein-Barr Virus Protein LMP1 ina Mouse Model. Cell.148(4):739-51.
8. Beilke JN, Benjamin J, Lanier LL. (2010) The requirement for NKG2D in NK cell-mediated rejection of parental bone marrow grafts is determined by MHC class I expressed by the graft recipientBlood.116(24):5208-16.
9. Visan I, Tan JB, Yuan JS, Harper JA, Koch U, Guidos CJ. (2006) Regulation of T lymphopoiesis by Notch1 and Lunatic fringe-mediated competition for intrathymic niches. Nat Immunol.7(6):634-43.
Customer Reviews
Loading reviews...
Share Your Experience
Similar Products
Product Notes
The CD8a (Catalog #AAA74289) is an Antibody produced from Rat and is intended for research purposes only. The product is available for immediate purchase. The Anti-Mouse CD8a (Ly 2), APC-Cy7 (Clone YTS 169.4)(rat IgG2b) reacts with Mouse and may cross-react with other species as described in the data sheet. AAA Biotech's CD8a can be used in a range of immunoassay formats including, but not limited to, IHC (Immunohistochemistry), IHC (Immunohistochemistry). Researchers should empirically determine the suitability of the CD8a for an application not listed in the data sheet. Researchers commonly develop new applications and it is an integral, important part of the investigative research process. It is sometimes possible for the material contained within the vial of "CD8a, Monoclonal Antibody" to become dispersed throughout the inside of the vial, particularly around the seal of said vial, during shipment and storage. We always suggest centrifuging these vials to consolidate all of the liquid away from the lid and to the bottom of the vial prior to opening. Please be advised that certain products may require dry ice for shipping and that, if this is the case, an additional dry ice fee may also be required.Precautions
All products in the AAA Biotech catalog are strictly for research-use only, and are absolutely not suitable for use in any sort of medical, therapeutic, prophylactic, in-vivo, or diagnostic capacity. By purchasing a product from AAA Biotech, you are explicitly certifying that said products will be properly tested and used in line with industry standard. AAA Biotech and its authorized distribution partners reserve the right to refuse to fulfill any order if we have any indication that a purchaser may be intending to use a product outside of our accepted criteria.Disclaimer
Though we do strive to guarantee the information represented in this datasheet, AAA Biotech cannot be held responsible for any oversights or imprecisions. AAA Biotech reserves the right to adjust any aspect of this datasheet at any time and without notice. It is the responsibility of the customer to inform AAA Biotech of any product performance issues observed or experienced within 30 days of receipt of said product. To see additional details on this or any of our other policies, please see our Terms & Conditions page.Item has been added to Shopping Cart
If you are ready to order, navigate to Shopping Cart and get ready to checkout.
