Mouse CDX2 Monoclonal Antibody | anti-CDX2 antibody
CDX2 Mouse Monoclonal Antibody
Gene Names
CDX2; CDX3; CDX-3; CDX2/AS
Reactivity
Human, Mouse, Rat
Applications
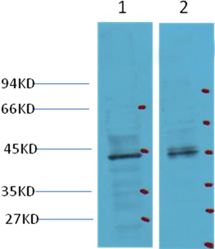
Immunohistochemistry, Western Blot
Purity
Affinity purification using immunogen.
Synonyms
CDX2, Antibody; CDX2 Mouse Monoclonal Antibody; caudal type homeo box transcription factor 2; caudal type homeobox 2; caudal type homeobox transcription factor 2; anti-CDX2 antibody
Host
Mouse
Reactivity
Human, Mouse, Rat
Clonality
Monoclonal
Clone Number
14H6
Specificity
The CDX2 Mouse Monoclonal antibody detects endogenous CDX2 proteins.
Purity/Purification
Affinity purification using immunogen.
Form/Format
Mouse IgG1 in phosphate buffered saline (without Mg2+ and Ca2+), pH 7.4, 150mM NaCl, 0.02% sodium azide and 50% glycerol.
Concentration
1.0 mg/ml (varies by lot)
Sequence Length
313
Applicable Applications for anti-CDX2 antibody
IHC (Immunohistochemistry), WB (Western Blot)
Target Name
CDX2
Preparation and Storage
Store at -20 degree C
Related Product Information for anti-CDX2 antibody
CDX2 is a caudal type homeobox gene that encodes an intestine-specific transcription factor that is expressed early in intestinal development and may be involved in the regulation of proliferation and differentiation of intestinal epithelial cells. It is expressed in the nuclei of epithelial cells throughout the intestine, from duodenum to rectum. The CDX2 protein is expressed in primary and metastatic colorectal carcinomas and has also been demonstrated in the intestinal metaplasia of the stomach and intestinal-type gastric cancer, while it is not expressed in the normal gastric mucosa. Studies have shown that CDX2 is superior marker compared to CK20.
Product Categories/Family for anti-CDX2 antibody
NCBI and Uniprot Product Information
NCBI GI #
NCBI GeneID
NCBI Accession #
NCBI GenBank Nucleotide #
Molecular Weight
33,520 Da
NCBI Official Full Name
homeobox protein CDX-2
NCBI Official Synonym Full Names
caudal type homeobox 2
NCBI Official Symbol
CDX2
NCBI Official Synonym Symbols
CDX3; CDX-3; CDX2/AS
NCBI Protein Information
homeobox protein CDX-2
UniProt Protein Name
Homeobox protein CDX-2
UniProt Gene Name
CDX2
UniProt Synonym Gene Names
CDX3
UniProt Entry Name
CDX2_HUMAN
Customer Reviews
Loading reviews...
Share Your Experience
Similar Products
Product Notes
The CDX2 cdx2 (Catalog #AAA300735) is an Antibody produced from Mouse and is intended for research purposes only. The product is available for immediate purchase. The CDX2 Mouse Monoclonal Antibody reacts with Human, Mouse, Rat and may cross-react with other species as described in the data sheet. AAA Biotech's CDX2 can be used in a range of immunoassay formats including, but not limited to, IHC (Immunohistochemistry), WB (Western Blot). Researchers should empirically determine the suitability of the CDX2 cdx2 for an application not listed in the data sheet. Researchers commonly develop new applications and it is an integral, important part of the investigative research process. It is sometimes possible for the material contained within the vial of "CDX2, Monoclonal Antibody" to become dispersed throughout the inside of the vial, particularly around the seal of said vial, during shipment and storage. We always suggest centrifuging these vials to consolidate all of the liquid away from the lid and to the bottom of the vial prior to opening. Please be advised that certain products may require dry ice for shipping and that, if this is the case, an additional dry ice fee may also be required.Precautions
All products in the AAA Biotech catalog are strictly for research-use only, and are absolutely not suitable for use in any sort of medical, therapeutic, prophylactic, in-vivo, or diagnostic capacity. By purchasing a product from AAA Biotech, you are explicitly certifying that said products will be properly tested and used in line with industry standard. AAA Biotech and its authorized distribution partners reserve the right to refuse to fulfill any order if we have any indication that a purchaser may be intending to use a product outside of our accepted criteria.Disclaimer
Though we do strive to guarantee the information represented in this datasheet, AAA Biotech cannot be held responsible for any oversights or imprecisions. AAA Biotech reserves the right to adjust any aspect of this datasheet at any time and without notice. It is the responsibility of the customer to inform AAA Biotech of any product performance issues observed or experienced within 30 days of receipt of said product. To see additional details on this or any of our other policies, please see our Terms & Conditions page.Item has been added to Shopping Cart
If you are ready to order, navigate to Shopping Cart and get ready to checkout.
