Mouse anti-Human CEACAM1 Monoclonal Antibody | anti-CEACAM1 antibody
anti-human CEACAM1 monoclonal antibody
Long term: -20 degree C
Avoid repeated freezing and thawing
Application Data
(Fig3: Members of the CEA family were expressed on BOSC cells after transient transfection with expression vectors containing either the cDNA of CEACAM1,5,6,7,8,19,20 or 21. Recognition of CEACAM3 and 4 was tested on stably transfected HeLa (CEACAM3) and CHO cells (CEACAM4). Expression of the constructs was confirmed with monoclonal antibodies known to recognise the corresponding proteins (CEACAM1,3,4: D14HD11; CEACAM5: 26/3/13; CEACAM6: 9A6; CEACAM7: BAC2; CEACAM8: GM-2H6; CEACAM19-21: anti-myc; green curves). An irrelevant monoclonal antibody served as a negative control (black curves). For specificity testing, protein G-purified GM-8G5 was tested on all CEACAM transfectants. A positive signal was only obtained with CEACAM1-expressing cells (red curves).)
Application Data
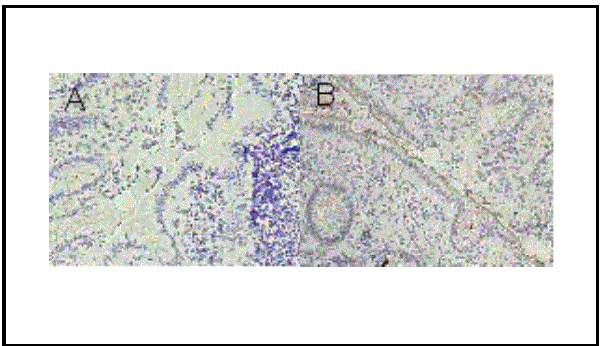
(Fig.2: Immunohistochemical staining on cryosections of colon tissue using AAA71485. PBS containing 2.5% horse serum served as negative control (A). Detection of GM-8G5 occurred with a biotinylated anti-mouse-IgG secondary antibody and a streptavidin-peroxidase conjugate (B). Diaminobenzidine was used as substrate. Nuclei were stained with hematoxilin.)
Application Data
(Fig.1: FACS analysis of BOSC23 cells using AAA71485. BOSC23 cells were transiently transfected with an expression vector encoding either CEACAM1 (red curve) or an irrelevant protein (control transfectant: black curve). Binding of GM-8G5 was detected with a PE-conjugated secondary antibody. A positive signal was obtained only with CEACAM1 transfected cells.)
Hammarström S (1999). The carcinoembryonic antigen (CEA) family: structures, suggested functions and expression in normal and malignant tissues. Semin. Cancer Biol. 9, 67-81.
Luo W, Tapolsky M, Early K, Wood CG, Wilson DR, Logothetis CJ, Lin SH (1999). Tumorsuppressive activity of CD66a in prostate cancer. Cancer Gene Ther. 6(4): 313-21.
Tilki D, Irmak S, Oliveira-Ferrer L, Hauschild J, Miethe K, Atakaya H, Hammerer P, Friedrich MG, Schuch G, Galalae R, Stief CG, Kilic E, Huland H, Ergun S (2006). CEA-related cell adhesion molecule-1 is involved in angiogenic switch in prostate cancer. Oncogene 25(36):4965- 74
NCBI and Uniprot Product Information
Customer Reviews
Loading reviews...
Share Your Experience
Similar Products
Product Notes
The CEACAM1 ceacam1 (Catalog #AAA71485) is an Antibody produced from Mouse and is intended for research purposes only. The product is available for immediate purchase. The anti-human CEACAM1 monoclonal antibody reacts with Human and may cross-react with other species as described in the data sheet. AAA Biotech's CEACAM1 can be used in a range of immunoassay formats including, but not limited to, IHC (Immunohistochemistry), ELISA (Competitive ELISA), FCM/FACS (Flow Cytometry). Researchers should empirically determine the suitability of the CEACAM1 ceacam1 for an application not listed in the data sheet. Researchers commonly develop new applications and it is an integral, important part of the investigative research process. It is sometimes possible for the material contained within the vial of "CEACAM1, Monoclonal Antibody" to become dispersed throughout the inside of the vial, particularly around the seal of said vial, during shipment and storage. We always suggest centrifuging these vials to consolidate all of the liquid away from the lid and to the bottom of the vial prior to opening. Please be advised that certain products may require dry ice for shipping and that, if this is the case, an additional dry ice fee may also be required.Precautions
All products in the AAA Biotech catalog are strictly for research-use only, and are absolutely not suitable for use in any sort of medical, therapeutic, prophylactic, in-vivo, or diagnostic capacity. By purchasing a product from AAA Biotech, you are explicitly certifying that said products will be properly tested and used in line with industry standard. AAA Biotech and its authorized distribution partners reserve the right to refuse to fulfill any order if we have any indication that a purchaser may be intending to use a product outside of our accepted criteria.Disclaimer
Though we do strive to guarantee the information represented in this datasheet, AAA Biotech cannot be held responsible for any oversights or imprecisions. AAA Biotech reserves the right to adjust any aspect of this datasheet at any time and without notice. It is the responsibility of the customer to inform AAA Biotech of any product performance issues observed or experienced within 30 days of receipt of said product. To see additional details on this or any of our other policies, please see our Terms & Conditions page.Item has been added to Shopping Cart
If you are ready to order, navigate to Shopping Cart and get ready to checkout.
