Mouse CHOP Monoclonal Antibody | anti-CHOP antibody
CHOP mouse Monoclonal Antibody (2B1)
Gene Names
DDIT3; CHOP; CEBPZ; CHOP10; CHOP-10; GADD153
Reactivity
Human, Mouse, Rat
Applications
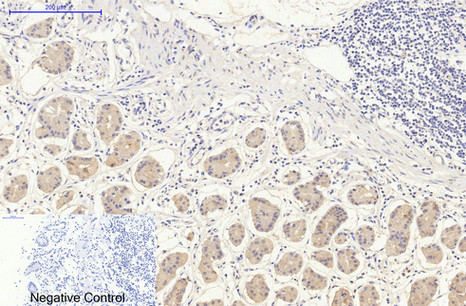
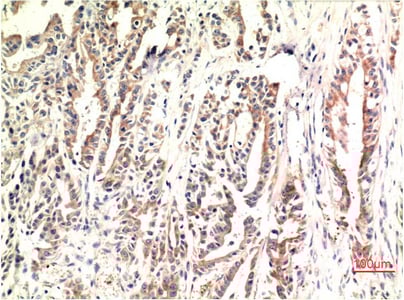
Immunofluorescence, Immunohistochemistry, Western Blot
Synonyms
CHOP, Antibody; CHOP mouse Monoclonal Antibody (2B1); DDIT3; anti-CHOP antibody
Host
Mouse
Reactivity
Human, Mouse, Rat
Clonality
Monoclonal
Clone Number
2B1
Applicable Applications for anti-CHOP antibody
IF (Immunofluorescence), IHC (Immunohistochemistry), WB (Western Blot)
Cellular Location
Cytoplasm. Nucleus Note=Present in the cytoplasm under non-stressed conditions and ER stress leads to its nuclear accumulation
Preparation and Storage
Maintain refrigerated at 2-8 degree C for up to 2 weeks. For long term storage store at -20 degree C in small aliquots to prevent freeze-thaw cycles.
Related Product Information for anti-CHOP antibody
Multifunctional transcription factor in ER stress response. Plays an essential role in the response to a wide variety of cell stresses and induces cell cycle arrest and apoptosis in response to ER stress. Plays a dual role both as an inhibitor of CCAAT/enhancer-binding protein (C/EBP) function and as an activator of other genes. Acts as a dominant-negative regulator of C/EBP-induced transcription: dimerizes with members of the C/EBP family, impairs their association with C/EBP binding sites in the promoter regions, and inhibits the expression of C/EBP regulated genes. Positively regulates the transcription of TRIB3, IL6, IL8, IL23, TNFRSF10B/DR5, PPP1R15A/GADD34, BBC3/PUMA, BCL2L11/BIM and ERO1L. Negatively regulates; expression of BCL2 and MYOD1, ATF4-dependent transcriptional activation of asparagine synthetase (ASNS), CEBPA-dependent transcriptional activation of hepcidin (HAMP) and CEBPB-mediated expression of peroxisome proliferator-activated receptor gamma (PPARG). Inhibits the canonical Wnt signaling pathway by binding to TCF7L2/TCF4, impairing its DNA-binding properties and repressing its transcriptional activity. Plays a regulatory role in the inflammatory response through the induction of caspase-11 (CASP4/CASP11) which induces the activation of caspase-1 (CASP1) and both these caspases increase the activation of pro-IL1B to mature IL1B which is involved in the inflammatory response.
NCBI and Uniprot Product Information
NCBI GI #
NCBI GeneID
NCBI Accession #
NCBI GenBank Nucleotide #
UniProt Accession #
Molecular Weight
19,175 Da
NCBI Official Full Name
DNA damage-inducible transcript 3 protein isoform 2
NCBI Official Synonym Full Names
DNA-damage-inducible transcript 3
NCBI Official Symbol
DDIT3
NCBI Official Synonym Symbols
CHOP; CEBPZ; CHOP10; CHOP-10; GADD153
NCBI Protein Information
DNA damage-inducible transcript 3 protein; DDIT-3; C/EBP zeta; c/EBP-homologous protein 10; CCAAT/enhancer-binding protein homologous protein; growth arrest and DNA damage-inducible protein GADD153
UniProt Protein Name
DNA damage-inducible transcript 3 protein
UniProt Gene Name
DDIT3
UniProt Synonym Gene Names
CHOP; CHOP10; GADD153; DDIT-3; CHOP; CHOP-10
UniProt Entry Name
DDIT3_HUMAN
Customer Reviews
Loading reviews...
Share Your Experience
Similar Products
Product Notes
The CHOP ddit3 (Catalog #AAA293801) is an Antibody produced from Mouse and is intended for research purposes only. The product is available for immediate purchase. The CHOP mouse Monoclonal Antibody (2B1) reacts with Human, Mouse, Rat and may cross-react with other species as described in the data sheet. AAA Biotech's CHOP can be used in a range of immunoassay formats including, but not limited to, IF (Immunofluorescence), IHC (Immunohistochemistry), WB (Western Blot). Researchers should empirically determine the suitability of the CHOP ddit3 for an application not listed in the data sheet. Researchers commonly develop new applications and it is an integral, important part of the investigative research process. It is sometimes possible for the material contained within the vial of "CHOP, Monoclonal Antibody" to become dispersed throughout the inside of the vial, particularly around the seal of said vial, during shipment and storage. We always suggest centrifuging these vials to consolidate all of the liquid away from the lid and to the bottom of the vial prior to opening. Please be advised that certain products may require dry ice for shipping and that, if this is the case, an additional dry ice fee may also be required.Precautions
All products in the AAA Biotech catalog are strictly for research-use only, and are absolutely not suitable for use in any sort of medical, therapeutic, prophylactic, in-vivo, or diagnostic capacity. By purchasing a product from AAA Biotech, you are explicitly certifying that said products will be properly tested and used in line with industry standard. AAA Biotech and its authorized distribution partners reserve the right to refuse to fulfill any order if we have any indication that a purchaser may be intending to use a product outside of our accepted criteria.Disclaimer
Though we do strive to guarantee the information represented in this datasheet, AAA Biotech cannot be held responsible for any oversights or imprecisions. AAA Biotech reserves the right to adjust any aspect of this datasheet at any time and without notice. It is the responsibility of the customer to inform AAA Biotech of any product performance issues observed or experienced within 30 days of receipt of said product. To see additional details on this or any of our other policies, please see our Terms & Conditions page.Item has been added to Shopping Cart
If you are ready to order, navigate to Shopping Cart and get ready to checkout.
