Mouse anti-Mouse, Rat CK-19 Monoclonal Antibody | anti-CK-19 antibody
CK-19 Monoclonal Antibody
Gene Names
Krt19; K19; CK-19; EndoC; Krt1-19; AI663979; Krt-1.19
Reactivity
Mouse, Rat
Applications
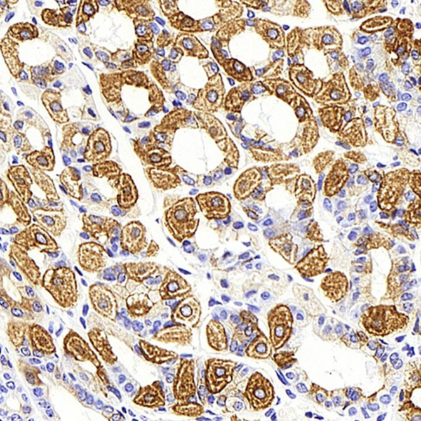
Immunohistochemistry
Purity
Affinity Purification
Synonyms
CK-19, Antibody; CK-19 Monoclonal Antibody; 40 kDa keratin intermediate filament; CK 19; CK-19; CK19; Cytokeratin 19; Cytokeratin-19; K19; K1C19; K1CS; Keratin 19; Keratin type I 40 kD; Keratin type I 40kD; Keratin type I cytoskeletal 19; Keratin; type I cytoskeletal 19; type I; 40 kd; Keratin-19; KRT19; MGC15366; anti-CK-19 antibody
Host
Mouse
Reactivity
Mouse, Rat
Clonality
Monoclonal
Isotype
IgG
Clone Number
6D6G12
Purity/Purification
Affinity Purification
Form/Format
PBS with 0.02% sodium azide, 100 mug/ml BSA and 50% glycerol.
Concentration
1.1 mg/mL (varies by lot)
Sequence Length
403
Applicable Applications for anti-CK-19 antibody
IHC (Immunohistochemistry)
Immunogen
KLH conjugated synthetic peptide corresponding to Mouse Cytokeratin 19
Conjugation
Unconjugated
Preparation and Storage
Store at -20 degree C. Avoid freeze/thaw cycles.
Related Product Information for anti-CK-19 antibody
The keratins are intermediate filament proteins responsible for the structural integrity of epithelial cells. KRT19, one of type I keratins, is specifically expressed in the periderm, the transiently superficial layer that envelopes the developing epidermis. Due to its high sensitivity, KRT19 is the most used marker for detection of tumor cells disseminated in lymph nodes, peripheral blood, and bone marrow of breast cancer patients. This antibody, generated against full length KRT19 protein, also recognizes KRT17, another type I keratin homologous to KRT19. KRT17 is used as a marker for trauma.
Product Categories/Family for anti-CK-19 antibody
NCBI and Uniprot Product Information
NCBI GI #
NCBI GeneID
NCBI Accession #
NCBI GenBank Nucleotide #
Molecular Weight
44,542 Da
NCBI Official Full Name
keratin, type I cytoskeletal 19 isoform 1
NCBI Official Synonym Full Names
keratin 19
NCBI Official Symbol
Krt19
NCBI Official Synonym Symbols
K19; CK-19; EndoC; Krt1-19; AI663979; Krt-1.19
NCBI Protein Information
keratin, type I cytoskeletal 19
UniProt Protein Name
Keratin, type I cytoskeletal 19
UniProt Gene Name
Krt19
UniProt Synonym Gene Names
Krt1-19; CK-19; K19
Customer Reviews
Loading reviews...
Share Your Experience
Similar Products
Product Notes
The CK-19 krt19 (Catalog #AAA174492) is an Antibody produced from Mouse and is intended for research purposes only. The product is available for immediate purchase. The CK-19 Monoclonal Antibody reacts with Mouse, Rat and may cross-react with other species as described in the data sheet. AAA Biotech's CK-19 can be used in a range of immunoassay formats including, but not limited to, IHC (Immunohistochemistry). Researchers should empirically determine the suitability of the CK-19 krt19 for an application not listed in the data sheet. Researchers commonly develop new applications and it is an integral, important part of the investigative research process. It is sometimes possible for the material contained within the vial of "CK-19, Monoclonal Antibody" to become dispersed throughout the inside of the vial, particularly around the seal of said vial, during shipment and storage. We always suggest centrifuging these vials to consolidate all of the liquid away from the lid and to the bottom of the vial prior to opening. Please be advised that certain products may require dry ice for shipping and that, if this is the case, an additional dry ice fee may also be required.Precautions
All products in the AAA Biotech catalog are strictly for research-use only, and are absolutely not suitable for use in any sort of medical, therapeutic, prophylactic, in-vivo, or diagnostic capacity. By purchasing a product from AAA Biotech, you are explicitly certifying that said products will be properly tested and used in line with industry standard. AAA Biotech and its authorized distribution partners reserve the right to refuse to fulfill any order if we have any indication that a purchaser may be intending to use a product outside of our accepted criteria.Disclaimer
Though we do strive to guarantee the information represented in this datasheet, AAA Biotech cannot be held responsible for any oversights or imprecisions. AAA Biotech reserves the right to adjust any aspect of this datasheet at any time and without notice. It is the responsibility of the customer to inform AAA Biotech of any product performance issues observed or experienced within 30 days of receipt of said product. To see additional details on this or any of our other policies, please see our Terms & Conditions page.Item has been added to Shopping Cart
If you are ready to order, navigate to Shopping Cart and get ready to checkout.
