Rabbit CXCR5 Monoclonal Antibody | anti-CXCR5 antibody
CXCR5
Store at -20 degree C long term.
It is recommended to aliquot into single-use upon delivery
IHC (Immunohistochemisry)
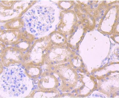
(Immunohistochemical analysis of paraffin-embedded rat kidney tissue using anti-CXCR5 antibody. The section was pretreated using heat mediated antigen retrieval with Tris-EDTA buffer (pH 8.0-8.4) for 20 minutes.The tissues were blocked in 5% BSA for 30 minutes at room temperature, washed with ddH2O and PBS, and then probed with the primary antibody for 30 minutes at room temperature. The detection was performed using an HRP conjugated compact polymer system. DAB was used as the chromogen. Tissues were counterstained with hematoxylin and mounted with DPX.)
ICC (Immunocytochemistry)
(Immunocytochemistry analysis of Daudi ce ls labeling CXCR5 with Rabbit anti-CXCR5 antibody at 1/250 dilution.Cells were fixed in 4% paraformaldehyde for 20 minutes at room temperature, permeabilized with 0.1% Triton X-100 in PBS for 5 minutes at room temperature, then blocked with 1% BSA in 10% negative goat serum for 1 hour at room temperature.Ce ls were then incubated with Rabbit anti-CXCR5 antibody at 1/250 dilution in 1% BSA in PBST overnight at 4 degree C.Goat Anti Rabbit IgG H&L was used as the secondary antibody at 1/1,000 dilution.PBS instead of the primary antibody was used as the secondary antibody only control.Nuclear DNA was labeled in blue with DAPI.Beta tubulin (red) was stained at 1/100 dilution overnight at +4 degree C.Goat Anti-Mouse IgG H&L was used as the secondary antibody at 1/1,000 dilution.)
WB (Western Blot)
(Western blot analysis of CXCR5 on different lysates with Rabbit anti-CXCR5 antibody at 1/2,000 dilution.Lane 1: Daudi cell lysate.Lane 2: EL4 cell lysate.Lane 3: Neuro-2a cell lysate.Lane 4: C6 cell lysate.Lane 5: Mouse spleen tissue lysate.Lane 6: Rat spleen tissue lysate.Lysates/proteins at 20 ug/Lane.Predicted band size: 42 kDa. Observed band size: 42 kDa.Exposure time: 1 minute 34 secondsECL:K1801;4-20% SDS-PAGE gel. Proteins were transferred to a PVDF membrane and blocked with 5% NFDM/TBST for 1 hour at room temperature.The primary antibody at 1/2,000 dilution was used in 5% NFDM/TBST at 4 degree overnight.Goat Anti-Rabbit IgG-HRP Secondary Antibody at 1: 50,000 dilution was used for 1 hour at room temperature.)
NCBI and Uniprot Product Information
Customer Reviews
Loading reviews...
Share Your Experience
Similar Products
Product Notes
The CXCR5 cxcr5 (Catalog #AAA268781) is an Antibody produced from Rabbit and is intended for research purposes only. The product is available for immediate purchase. The CXCR5 reacts with Human, Mouse, Rat and may cross-react with other species as described in the data sheet. AAA Biotech's CXCR5 can be used in a range of immunoassay formats including, but not limited to, IF (Immunofluorescence), FCM/FACS (Flow Cytometry), IHC (Immunohistochemistry), WB (Western Blot). Researchers should empirically determine the suitability of the CXCR5 cxcr5 for an application not listed in the data sheet. Researchers commonly develop new applications and it is an integral, important part of the investigative research process. It is sometimes possible for the material contained within the vial of "CXCR5, Monoclonal Antibody" to become dispersed throughout the inside of the vial, particularly around the seal of said vial, during shipment and storage. We always suggest centrifuging these vials to consolidate all of the liquid away from the lid and to the bottom of the vial prior to opening. Please be advised that certain products may require dry ice for shipping and that, if this is the case, an additional dry ice fee may also be required.Precautions
All products in the AAA Biotech catalog are strictly for research-use only, and are absolutely not suitable for use in any sort of medical, therapeutic, prophylactic, in-vivo, or diagnostic capacity. By purchasing a product from AAA Biotech, you are explicitly certifying that said products will be properly tested and used in line with industry standard. AAA Biotech and its authorized distribution partners reserve the right to refuse to fulfill any order if we have any indication that a purchaser may be intending to use a product outside of our accepted criteria.Disclaimer
Though we do strive to guarantee the information represented in this datasheet, AAA Biotech cannot be held responsible for any oversights or imprecisions. AAA Biotech reserves the right to adjust any aspect of this datasheet at any time and without notice. It is the responsibility of the customer to inform AAA Biotech of any product performance issues observed or experienced within 30 days of receipt of said product. To see additional details on this or any of our other policies, please see our Terms & Conditions page.Item has been added to Shopping Cart
If you are ready to order, navigate to Shopping Cart and get ready to checkout.
