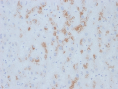
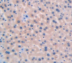
Mouse Cytochrome p450 Monoclonal Antibody | anti-CYP2E1 antibody
Cytochrome p450
Gene Names
CYP2E1; CPE1; CYP2E; P450-J; P450C2E
Reactivity
Human. Others not known.
Applications
Immunohistochemistry
Synonyms
Cytochrome p450, Antibody; Cytochrome p450; 4-nitrophenol 2-hydroxylase; CPE1; CYP2Ecytochrome P450 2E1; CYPIIE1; cytochrome P450, family 2, subfamily E, polypeptide 1; cytochrome P450, subfamily IIE (ethanol-inducible), polypeptide 1; Cytochrome P450-J; EC 1.14.13; EC 1.14.13.n7; EC 1.14.14.1; flavoprotein-linked monooxygenase; microsomal monooxygenase; P450C2E; P450-J; xenobiotic monooxygenase; anti-CYP2E1 antibody
Host
Mouse
Reactivity
Human. Others not known.
Clonality
Monoclonal
Isotype
IgG1 kappa
Clone Number
M12P4H2
Specificity
This gene encodes a member of the cytochrome P450 superfamily of enzymes. The cytochrome P450 proteins are mono-oxygenases, which catalyze many reactions involved in drug metabolism and synthesis of cholesterol, steroids and other lipids. This protein localizes to the endoplasmic reticulum and is induced by ethanol, the diabetic state, and starvation. The enzyme metabolizes both endogenous substrates, such as ethanol, acetone, and acetal, as well as exogenous substrates including benzene, carbon tetrachloride, ethylene glycol, and nitrosamines, which are pre-mutagens found in cigarette smoke. Due to its many substrates, this enzyme may be involved in such varied processes as gluconeogenesis, hepatic cirrhosis, diabetes, and cancer.
Form/Format
1mg/ml of Ab purified from Bioreactor Concentrate by Protein A/G.
Sequence Length
493
Applicable Applications for anti-CYP2E1 antibody
IHC (Immunohistochemistry)
Immunogen
Ovalbumin-conjugated synthetic peptide HIGFGCIPPR (C-terminal sequence)
Cellular Localization
Endoplasmic reticulum membrane, Microsome membrane, Mitochondrion inner membrane
Hu-chromosome Location
10q26.3
Positive Control
HepG2 cells. Liver.
Preparation and Storage
Antibody without azide - store at -20°C to -80°C.
Non-hazardous. No MSDS required.
Non-hazardous. No MSDS required.
References
Itoga, S., Nomura, F., Harada, S., Tsutsumi, M., Takase, S. and Nakai, T. 1999. Mutations in the exons and exon-intron junction regions of human cytochrome P-4502E1 gene and alcoholism. Alcohol. Clin. Exp. Res. 23: 13S-16S.
NCBI and Uniprot Product Information
NCBI GI #
NCBI GeneID
NCBI Accession #
NCBI GenBank Nucleotide #
Molecular Weight
50-55kDa
NCBI Official Full Name
cytochrome P450 2E1
NCBI Official Synonym Full Names
cytochrome P450 family 2 subfamily E member 1
NCBI Official Symbol
CYP2E1
NCBI Official Synonym Symbols
CPE1; CYP2E; P450-J; P450C2E
NCBI Protein Information
cytochrome P450 2E1
UniProt Protein Name
Cytochrome P450 2E1
UniProt Gene Name
CYP2E1
UniProt Synonym Gene Names
CYP2E
Customer Reviews
Loading reviews...
Share Your Experience
Similar Products
Product Notes
The CYP2E1 cyp2e1 (Catalog #AAA62951) is an Antibody produced from Mouse and is intended for research purposes only. The product is available for immediate purchase. The Cytochrome p450 reacts with Human. Others not known. and may cross-react with other species as described in the data sheet. AAA Biotech's Cytochrome p450 can be used in a range of immunoassay formats including, but not limited to, IHC (Immunohistochemistry). Researchers should empirically determine the suitability of the CYP2E1 cyp2e1 for an application not listed in the data sheet. Researchers commonly develop new applications and it is an integral, important part of the investigative research process. It is sometimes possible for the material contained within the vial of "Cytochrome p450, Monoclonal Antibody" to become dispersed throughout the inside of the vial, particularly around the seal of said vial, during shipment and storage. We always suggest centrifuging these vials to consolidate all of the liquid away from the lid and to the bottom of the vial prior to opening. Please be advised that certain products may require dry ice for shipping and that, if this is the case, an additional dry ice fee may also be required.Precautions
All products in the AAA Biotech catalog are strictly for research-use only, and are absolutely not suitable for use in any sort of medical, therapeutic, prophylactic, in-vivo, or diagnostic capacity. By purchasing a product from AAA Biotech, you are explicitly certifying that said products will be properly tested and used in line with industry standard. AAA Biotech and its authorized distribution partners reserve the right to refuse to fulfill any order if we have any indication that a purchaser may be intending to use a product outside of our accepted criteria.Disclaimer
Though we do strive to guarantee the information represented in this datasheet, AAA Biotech cannot be held responsible for any oversights or imprecisions. AAA Biotech reserves the right to adjust any aspect of this datasheet at any time and without notice. It is the responsibility of the customer to inform AAA Biotech of any product performance issues observed or experienced within 30 days of receipt of said product. To see additional details on this or any of our other policies, please see our Terms & Conditions page.Item has been added to Shopping Cart
If you are ready to order, navigate to Shopping Cart and get ready to checkout.
