Mouse Cytokeratin 15 (KRT15) Monoclonal Antibody | anti-KRT15 antibody
Cytokeratin 15 (KRT15) (Basal Cell Marker)
Gene Names
KRT15; K15; CK15; K1CO
Reactivity
Human, Rat, Cow. Others not known.
Applications
Immunohistochemistry, Western Blot, Immunofluorescence, Flow Cytometry, Functional Assay
Synonyms
Cytokeratin 15 (KRT15), Antibody; Cytokeratin 15 (KRT15) (Basal Cell Marker); CK15; Cytokeratin 15; K1CO; Ka15; Keratin 15 basic; Keratin 15 beta; Keratin complex 1 acidic gene 15; Keratin type I cytoskeletal 15; KRT15; KRTB; KRTL15; Type I cytoskeletal 15; Type I keratin Ka15; anti-KRT15 antibody
Host
Mouse
Reactivity
Human, Rat, Cow. Others not known.
Clonality
Monoclonal
Isotype
IgG2a, kappa
Clone Number
LHK15
Specificity
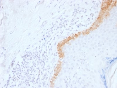
Keratins are a family of intermediate filament proteins that assemble into filaments through forming heterodimers of one type I keratin (keratins 9 to 23) and one type II keratin (keratins 1 to 8). Keratins demonstrate tissue and differentiation specific expression profiles. Keratin 15 is a type I keratin which is expressed only in basal keratinocytes in stratified epithelia and does not appear to have a natural type II expression partner. Keratin 15 is down regulated in activated keratinocytes. Cytokeratin 15 is a specific marker of stem cells of the hair-follicle bulge and may be a useful marker between basal cell carcinoma (BCC) and trichoepithelioma. Trichoblastoma are benign neoplasms of follicular differentiation frequently found in nevus sebaceous. Many morphologic features are shared with nodular basal cell carcinoma, sometimes rendering difficult. Trichoblastoma and BCC show variable expression of Cytokeratin 15 and Cytokeratin 19, and absence of hair keratins.
Form/Format
200ug/ml of Ab purified from Bioreactor Concentrate by Protein A/G. Prepared in 10mM PBS with 0.05% BSA & 0.05% azide. Also available WITHOUT BSA & azide at 1.0mg/ml.
Sequence Length
456
Applicable Applications for anti-KRT15 antibody
IHC (Immunohistochemistry), WB (Western Blot), IF (Immunofluorescence), FCM/FACS (Flow Cytometry)
Immunogen
A 17 amino acids synthetic peptide from the C- terminal of Human Cytokeratin 15
Cellular Localization
Cytoplasmic
Hu-chromosome Location
17q21.2
Positive Control
A431 cells. Skin or Colon
Preparation and Storage
Antibody with azide - store at 2 to 8 degree C.
Antibody without azide - store at -20 to -80 degree C.
Antibody is stable for 24 months. Non-hazardous. No MSDS required.
Antibody without azide - store at -20 to -80 degree C.
Antibody is stable for 24 months. Non-hazardous. No MSDS required.
References
Inoue et al. 2009. Lab Invest. 89(8):844-56. Porter et al. 2000. Lab Invest. 80(11):1701-10. Waseem et al. 1999. J Invest Dermatol. 112(3):362-9.
NCBI and Uniprot Product Information
NCBI GI #
NCBI GeneID
NCBI Accession #
NCBI GenBank Nucleotide #
Molecular Weight
52kDa
NCBI Official Full Name
keratin, type I cytoskeletal 15
NCBI Official Synonym Full Names
keratin 15
NCBI Official Symbol
KRT15
NCBI Official Synonym Symbols
K15; CK15; K1CO
NCBI Protein Information
keratin, type I cytoskeletal 15
UniProt Protein Name
Keratin, type I cytoskeletal 15
UniProt Gene Name
KRT15
UniProt Synonym Gene Names
KRTB; CK-15; K15
Customer Reviews
Loading reviews...
Share Your Experience
Similar Products
Product Notes
The KRT15 krt15 (Catalog #AAA214423) is an Antibody produced from Mouse and is intended for research purposes only. The product is available for immediate purchase. The Cytokeratin 15 (KRT15) (Basal Cell Marker) reacts with Human, Rat, Cow. Others not known. and may cross-react with other species as described in the data sheet. AAA Biotech's Cytokeratin 15 (KRT15) can be used in a range of immunoassay formats including, but not limited to, IHC (Immunohistochemistry), WB (Western Blot), IF (Immunofluorescence), FCM/FACS (Flow Cytometry). Researchers should empirically determine the suitability of the KRT15 krt15 for an application not listed in the data sheet. Researchers commonly develop new applications and it is an integral, important part of the investigative research process. It is sometimes possible for the material contained within the vial of "Cytokeratin 15 (KRT15), Monoclonal Antibody" to become dispersed throughout the inside of the vial, particularly around the seal of said vial, during shipment and storage. We always suggest centrifuging these vials to consolidate all of the liquid away from the lid and to the bottom of the vial prior to opening. Please be advised that certain products may require dry ice for shipping and that, if this is the case, an additional dry ice fee may also be required.Precautions
All products in the AAA Biotech catalog are strictly for research-use only, and are absolutely not suitable for use in any sort of medical, therapeutic, prophylactic, in-vivo, or diagnostic capacity. By purchasing a product from AAA Biotech, you are explicitly certifying that said products will be properly tested and used in line with industry standard. AAA Biotech and its authorized distribution partners reserve the right to refuse to fulfill any order if we have any indication that a purchaser may be intending to use a product outside of our accepted criteria.Disclaimer
Though we do strive to guarantee the information represented in this datasheet, AAA Biotech cannot be held responsible for any oversights or imprecisions. AAA Biotech reserves the right to adjust any aspect of this datasheet at any time and without notice. It is the responsibility of the customer to inform AAA Biotech of any product performance issues observed or experienced within 30 days of receipt of said product. To see additional details on this or any of our other policies, please see our Terms & Conditions page.Item has been added to Shopping Cart
If you are ready to order, navigate to Shopping Cart and get ready to checkout.
