DAP Kinase 1 Recombinant Antibody | DAP recombinant antibody
DAP Kinase 1 Rabbit mAb
Gene Names
DAPK1; DAPK
Reactivity
Human, Mouse, Rat
Applications
Immunofluorescence, Immunocytochemistry, Immunohistochemistry, Western Blot
Purity
Affinity-chromatography
Synonyms
DAP Kinase 1, Recombinant Antibody; DAP Kinase 1 Rabbit mAb; DAK1; DAP K1; DAP kinase 1; DAPK 1; DAPK; DAPK1; DAPK1_HUMAN; Death Associated Protein Kinase 1; Death-associated protein kinase 1; DAP recombinant antibody
Host
Rabbit
Reactivity
Human, Mouse, Rat
Clonality
Monoclonal
Isotype
Rabbit IgG
Specificity
DAP Kinase 1 Antibody detects endogenous levels of total DAP Kinase 1
Purity/Purification
Affinity-chromatography
Form/Format
Rabbit IgG in phosphate buffered saline, pH7.4, 150mM NaCl, 0.02% sodium azide and 50% glycerol.
Applicable Applications for DAP recombinant antibody
IF (Immunofluorescence), ICC (Immunocytochemistry), IHC (Immunohistochemistry), WB (Western Blot)
Immunogen
A synthesized peptide derived from human DAP Kinase 1
Preparation and Storage
Store at +4 degree C short term. Store at -20 degree C long term. Avoid freeze/thaw cycle.
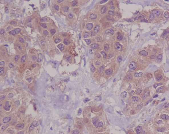
IHC (Immunohiostchemistry)
(Immunohistochemical analysis of paraffin-embedded human breast cancer, using DAP Kinase 1 Antibody.)
Product Categories/Family for DAP recombinant antibody
NCBI and Uniprot Product Information
NCBI GI #
NCBI GeneID
NCBI Accession #
NCBI GenBank Nucleotide #
Molecular Weight
1430
NCBI Official Full Name
death-associated protein kinase 1
NCBI Official Synonym Full Names
death-associated protein kinase 1
NCBI Official Symbol
DAPK1
NCBI Official Synonym Symbols
DAPK
NCBI Protein Information
death-associated protein kinase 1; DAP kinase 1
UniProt Protein Name
Death-associated protein kinase 1
UniProt Gene Name
DAPK1
UniProt Synonym Gene Names
DAPK; DAP kinase 1
UniProt Entry Name
DAPK1_HUMAN
Similar Products
Product Notes
The DAP dapk1 (Catalog #AAA314907) is a Recombinant Antibody produced from Rabbit and is intended for research purposes only. The product is available for immediate purchase. The DAP Kinase 1 Rabbit mAb reacts with Human, Mouse, Rat and may cross-react with other species as described in the data sheet. AAA Biotech's DAP Kinase 1 can be used in a range of immunoassay formats including, but not limited to, IF (Immunofluorescence), ICC (Immunocytochemistry), IHC (Immunohistochemistry), WB (Western Blot). Researchers should empirically determine the suitability of the DAP dapk1 for an application not listed in the data sheet. Researchers commonly develop new applications and it is an integral, important part of the investigative research process. It is sometimes possible for the material contained within the vial of "DAP Kinase 1, Monoclonal Recombinant Antibody" to become dispersed throughout the inside of the vial, particularly around the seal of said vial, during shipment and storage. We always suggest centrifuging these vials to consolidate all of the liquid away from the lid and to the bottom of the vial prior to opening. Please be advised that certain products may require dry ice for shipping and that, if this is the case, an additional dry ice fee may also be required.Precautions
All products in the AAA Biotech catalog are strictly for research-use only, and are absolutely not suitable for use in any sort of medical, therapeutic, prophylactic, in-vivo, or diagnostic capacity. By purchasing a product from AAA Biotech, you are explicitly certifying that said products will be properly tested and used in line with industry standard. AAA Biotech and its authorized distribution partners reserve the right to refuse to fulfill any order if we have any indication that a purchaser may be intending to use a product outside of our accepted criteria.Disclaimer
Though we do strive to guarantee the information represented in this datasheet, AAA Biotech cannot be held responsible for any oversights or imprecisions. AAA Biotech reserves the right to adjust any aspect of this datasheet at any time and without notice. It is the responsibility of the customer to inform AAA Biotech of any product performance issues observed or experienced within 30 days of receipt of said product. To see additional details on this or any of our other policies, please see our Terms & Conditions page.Item has been added to Shopping Cart
If you are ready to order, navigate to Shopping Cart and get ready to checkout.
