Host
Mouse
Clonality
Monoclonal
Isotype
IgG1
Specificity
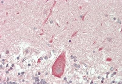
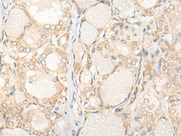
This antibody recognizes human DUX4. It does not cross-react with DUX4c.
Sequence Length
82
Applicable Applications for anti-DUX4 antibody
IF (Immunofluorescence), IHC (Immunohistochemistry)
Antigen
C-terminal 76 amino acids of DUX4 with glutathione-s-transferase (gst) tag.
Dilution Instructions
Dilute in PBS or medium which is identical to that used in the assay system.
Preparation and Storage
This antibody is stable for at least one (1) year at -20 degree C.
Related Product Information for anti-DUX4 antibody
Facioscapulohumeral muscular dystrophy (FSHD) is caused by the deletion of a subset of D4Z4 macro-satellite repeats on chromosome 4. Each repeat contains a retrogene encoding the double-homeobox factor DUX4. DUX4 expression is epi-genetically suppressed in differentiated tissues, and the residual DUX4 transcripts are spliced to remove the carboxyterminal domain that has been associated with cell toxicity. In FSHD individuals, the expression of the full-length DUX4 transcript is not completely suppressed in skeletal muscle and possibly other differentiated tissues.
Product Categories/Family for anti-DUX4 antibody
NCBI and Uniprot Product Information
NCBI GI #
Molecular Weight
9,565 Da
NCBI Official Full Name
DUX4, partial
UniProt Protein Name
DUX4
UniProt Gene Name
DUX4
UniProt Entry Name
E0YLM6_HUMAN
Customer Reviews
Loading reviews...
Share Your Experience
Similar Products
Product Notes
The DUX4 dux4 (Catalog #AAA47767) is an Antibody produced from Mouse and is intended for research purposes only. The product is available for immediate purchase. AAA Biotech's DUX4 can be used in a range of immunoassay formats including, but not limited to, IF (Immunofluorescence), IHC (Immunohistochemistry). Researchers should empirically determine the suitability of the DUX4 dux4 for an application not listed in the data sheet. Researchers commonly develop new applications and it is an integral, important part of the investigative research process. It is sometimes possible for the material contained within the vial of "DUX4, Monoclonal Antibody" to become dispersed throughout the inside of the vial, particularly around the seal of said vial, during shipment and storage. We always suggest centrifuging these vials to consolidate all of the liquid away from the lid and to the bottom of the vial prior to opening. Please be advised that certain products may require dry ice for shipping and that, if this is the case, an additional dry ice fee may also be required.Precautions
All products in the AAA Biotech catalog are strictly for research-use only, and are absolutely not suitable for use in any sort of medical, therapeutic, prophylactic, in-vivo, or diagnostic capacity. By purchasing a product from AAA Biotech, you are explicitly certifying that said products will be properly tested and used in line with industry standard. AAA Biotech and its authorized distribution partners reserve the right to refuse to fulfill any order if we have any indication that a purchaser may be intending to use a product outside of our accepted criteria.Disclaimer
Though we do strive to guarantee the information represented in this datasheet, AAA Biotech cannot be held responsible for any oversights or imprecisions. AAA Biotech reserves the right to adjust any aspect of this datasheet at any time and without notice. It is the responsibility of the customer to inform AAA Biotech of any product performance issues observed or experienced within 30 days of receipt of said product. To see additional details on this or any of our other policies, please see our Terms & Conditions page.Item has been added to Shopping Cart
If you are ready to order, navigate to Shopping Cart and get ready to checkout.
