Mouse anti-Human Ectonucleotide Pyrophosphatase/Phosphodiesterase 2 Monoclonal Antibody | anti-ENPP2 antibody
Ectonucleotide Pyrophosphatase/Phosphodiesterase 2 (ENPP2) Monoclonal Antibody
Gene Names
ENPP2; ATX; NPP2; ATX-X; PDNP2; LysoPLD; AUTOTAXIN; PD-IALPHA
Reactivity
Human
Applications
ELISA, Immunohistochemistry, Immunocytochemistry, Western Blot
Purity
Affinity Chromatography
Synonyms
Ectonucleotide Pyrophosphatase/Phosphodiesterase 2, Antibody; Ectonucleotide Pyrophosphatase/Phosphodiesterase 2 (ENPP2) Monoclonal Antibody; ATX; ATX-X; LysoPLD; NPP2; PD-IALPHA; PDNP2; Autotaxin; Extracellular lysophospholipase D; anti-ENPP2 antibody
Host
Mouse
Reactivity
Human
Clonality
Monoclonal
Isotype
IgG1 Kappa
Clone Number
A4
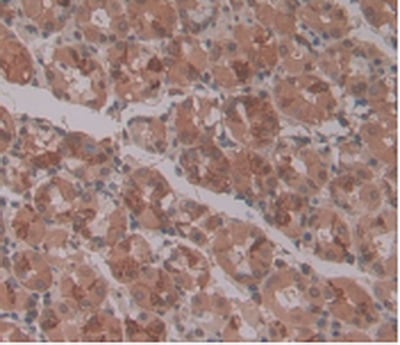
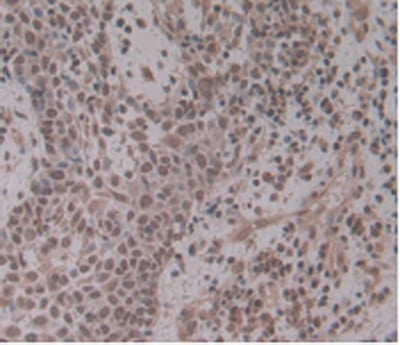
Specificity
The antibody is a mouse monoclonal antibody raised against ENPP2. It has been selected for its ability to recognize ENPP2 in immunohistochemical staining and western blotting.
Purity/Purification
Affinity Chromatography
Form/Format
Supplied as solution form in PBS, pH7.4 containing 0.02% NaN3, 50% glycerol.
Concentration
1mg/mL (varies by lot)
Sequence Length
863
Applicable Applications for anti-ENPP2 antibody
ELISA, IHC (Immunohistochemistry), ICC (Immunocytochemistry), WB (Western Blot)
Immunoglobulin Type
IgG
Conjugate
No Conjugate
Cross Reactivity
Human
Organism Species
Human
Conjugated Antibody
The APC conjugated antibody version of this item is also available as
Preparation and Storage
Store at 4 degree C for frequent use. Stored at -20 degree C to -80 degree C in a manual defrost freezer for one year without detectable loss of activity. Avoid repeated freeze-thaw cycles.
NCBI and Uniprot Product Information
NCBI GI #
NCBI GeneID
NCBI Accession #
NCBI GenBank Nucleotide #
UniProt Accession #
Molecular Weight
101,968 Da
NCBI Official Full Name
ectonucleotide pyrophosphatase/phosphodiesterase family member 2 isoform 2 preproprotein
NCBI Official Synonym Full Names
ectonucleotide pyrophosphatase/phosphodiesterase 2
NCBI Official Symbol
ENPP2
NCBI Official Synonym Symbols
ATX; NPP2; ATX-X; PDNP2; LysoPLD; AUTOTAXIN; PD-IALPHA
NCBI Protein Information
ectonucleotide pyrophosphatase/phosphodiesterase family member 2
UniProt Protein Name
Ectonucleotide pyrophosphatase/phosphodiesterase family member 2
UniProt Gene Name
ENPP2
UniProt Synonym Gene Names
ATX; PDNP2; E-NPP 2; LysoPLD
Customer Reviews
Loading reviews...
Share Your Experience
Similar Products
Product Notes
The ENPP2 enpp2 (Catalog #AAA144646) is an Antibody produced from Mouse and is intended for research purposes only. The product is available for immediate purchase. The Ectonucleotide Pyrophosphatase/Phosphodiesterase 2 (ENPP2) Monoclonal Antibody reacts with Human and may cross-react with other species as described in the data sheet. AAA Biotech's Ectonucleotide Pyrophosphatase/Phosphodiesterase 2 can be used in a range of immunoassay formats including, but not limited to, ELISA, IHC (Immunohistochemistry), ICC (Immunocytochemistry), WB (Western Blot). Researchers should empirically determine the suitability of the ENPP2 enpp2 for an application not listed in the data sheet. Researchers commonly develop new applications and it is an integral, important part of the investigative research process. It is sometimes possible for the material contained within the vial of "Ectonucleotide Pyrophosphatase/Phosphodiesterase 2, Monoclonal Antibody" to become dispersed throughout the inside of the vial, particularly around the seal of said vial, during shipment and storage. We always suggest centrifuging these vials to consolidate all of the liquid away from the lid and to the bottom of the vial prior to opening. Please be advised that certain products may require dry ice for shipping and that, if this is the case, an additional dry ice fee may also be required.Precautions
All products in the AAA Biotech catalog are strictly for research-use only, and are absolutely not suitable for use in any sort of medical, therapeutic, prophylactic, in-vivo, or diagnostic capacity. By purchasing a product from AAA Biotech, you are explicitly certifying that said products will be properly tested and used in line with industry standard. AAA Biotech and its authorized distribution partners reserve the right to refuse to fulfill any order if we have any indication that a purchaser may be intending to use a product outside of our accepted criteria.Disclaimer
Though we do strive to guarantee the information represented in this datasheet, AAA Biotech cannot be held responsible for any oversights or imprecisions. AAA Biotech reserves the right to adjust any aspect of this datasheet at any time and without notice. It is the responsibility of the customer to inform AAA Biotech of any product performance issues observed or experienced within 30 days of receipt of said product. To see additional details on this or any of our other policies, please see our Terms & Conditions page.Item has been added to Shopping Cart
If you are ready to order, navigate to Shopping Cart and get ready to checkout.
