Mouse anti-Mouse ENaC beta Monoclonal Antibody | anti-ENaC beta antibody
ENaC beta Antibody, Clone 7B8: RPE
WB (Western Blot)
(Western Blot analysis of Mouse Whole kidney homogenates showing detection of ~87kDa ENaC beta protein using Mouse Anti-ENaC beta Monoclonal Antibody, Clone 7B8. Lane 1: Molecular Weight Ladder (MW). Lane 2: Low-salt diet. Lane 3: Normal-salt diet. Load: 20 ug. Primary Antibody: Mouse Anti-ENaC beta Monoclonal Antibody at 1:1000. Predicted/Observed Size: ~87kDa.)
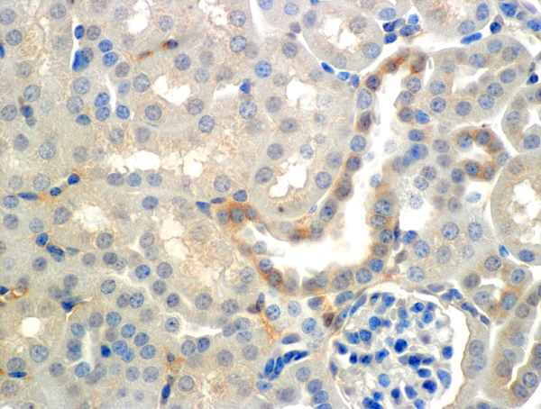
IHC (Immunohistochemistry)
(Immunohistochemistry analysis using Mouse Anti-ENaC beta Monoclonal Antibody, Clone 7B8. Tissue: Kidney (cortex). Species: Mouse. Primary Antibody: Mouse Anti-ENaC beta Monoclonal Antibody at 1:150. Localization: Collecting duct principal cells. Magnification: 60X.)
ENaCs are composed of three structurally related subunits that form a tetrameric channel, alpha, beta, and gamma. The expression of its alpha and beta subunits is enhanced as keratinocytes differentiate (3, 4). The beta and gamma-ENaC subunits are essential for edema fluid to exert its maximal effect on net fluid absorption by distal lung epithelia(5). And it has been concluded that the subunits are differentially expressed in the retina of mice with ocular hypertension, therefore the up-regulation of alpha-ENaC proteins could serve as a protection mechanism against elevated intraocular pressure (6).
NCBI and Uniprot Product Information
Customer Reviews
Loading reviews...
Share Your Experience
Similar Products
Product Notes
The ENaC beta scnn1b (Catalog #AAA103904) is an Antibody produced from Mouse and is intended for research purposes only. The product is available for immediate purchase. The ENaC beta Antibody, Clone 7B8: RPE reacts with Mouse and may cross-react with other species as described in the data sheet. AAA Biotech's ENaC beta can be used in a range of immunoassay formats including, but not limited to, IHC (Immunohistochemistry), WB (Western Blot). Researchers should empirically determine the suitability of the ENaC beta scnn1b for an application not listed in the data sheet. Researchers commonly develop new applications and it is an integral, important part of the investigative research process. It is sometimes possible for the material contained within the vial of "ENaC beta, Monoclonal Antibody" to become dispersed throughout the inside of the vial, particularly around the seal of said vial, during shipment and storage. We always suggest centrifuging these vials to consolidate all of the liquid away from the lid and to the bottom of the vial prior to opening. Please be advised that certain products may require dry ice for shipping and that, if this is the case, an additional dry ice fee may also be required.Precautions
All products in the AAA Biotech catalog are strictly for research-use only, and are absolutely not suitable for use in any sort of medical, therapeutic, prophylactic, in-vivo, or diagnostic capacity. By purchasing a product from AAA Biotech, you are explicitly certifying that said products will be properly tested and used in line with industry standard. AAA Biotech and its authorized distribution partners reserve the right to refuse to fulfill any order if we have any indication that a purchaser may be intending to use a product outside of our accepted criteria.Disclaimer
Though we do strive to guarantee the information represented in this datasheet, AAA Biotech cannot be held responsible for any oversights or imprecisions. AAA Biotech reserves the right to adjust any aspect of this datasheet at any time and without notice. It is the responsibility of the customer to inform AAA Biotech of any product performance issues observed or experienced within 30 days of receipt of said product. To see additional details on this or any of our other policies, please see our Terms & Conditions page.Item has been added to Shopping Cart
If you are ready to order, navigate to Shopping Cart and get ready to checkout.
