Mouse Ep-CAM /CD326 Monoclonal Antibody | anti-TACSTD1 antibody
Ep-CAM /CD326 (Epithelial Marker) Mouse Monoclonal Antibody
Gene Names
EPCAM; ESA; KSA; M4S1; MK-1; DIAR5; EGP-2; EGP40; KS1/4; MIC18; TROP1; EGP314; HNPCC8; TACSTD1
Reactivity
Human.Does not react with Mouse and Rat
Applications
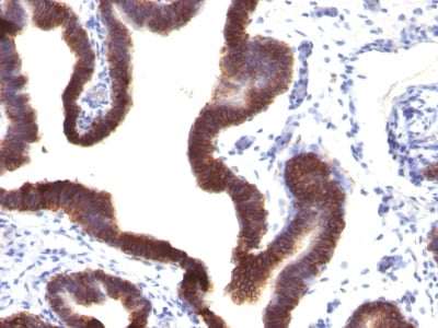
Immunohistochemistry, Western Blot, Immunofluorescence, Flow Cytometry, Functional Assay
Synonyms
Ep-CAM /CD326, Antibody; Ep-CAM /CD326 (Epithelial Marker) Mouse Monoclonal Antibody; Adenocarcinoma-associated Antigen; Cell Surface Glycoprotein Trop-1; EGP2; EGP314; EGP40; Epithelial Cell Adhesion Molecule; Epithelial Glycoprotein 314; ESA; KSA; TACD1; TROP1; Tumor-associated Calcium Signal Transducer 1 (TACSTD1); ECS-1; Epidermal Surface Antigen 1; ESA1; FLOT2; Flotillin-2; Membrane Component, Chromosome 17, Surface Marker-1 (M17S1); REG-1; Reggie-1; Reggie-2; anti-TACSTD1 antibody
Host
Mouse
Reactivity
Human.
Does not react with Mouse and Rat
Does not react with Mouse and Rat
Clonality
Monoclonal
Isotype
IgG1, kappa
Clone Number
EGP40/1120
Specificity
EGP40 is a 40-43kDa transmembrane epithelial glycoprotein, also identified as epithelial specific antigen (ESA), or epithelial cellular adhesion molecule (Ep-CAM). It is expressed on baso-lateral cell surface in most simple epithelia and a vast majority of carcinomas. This antibody has been used to distinguish adenocarcinoma from pleural mesothelioma and hepatocellular carcinoma. This antibody is also useful in distinguishing serous carcinomas of the ovary from mesothelioma.
Form/Format
200ug/ml of Ab purified from Bioreactor Concentrate by Protein A/G. Prepared in 10mM PBS with 0.05% BSA & 0.05% azide. Also available WITHOUT BSA & azide at 1.0mg/ml.
Sequence Length
314
Applicable Applications for anti-TACSTD1 antibody
IHC (Immunohistochemistry), WB (Western Blot), IF (Immunofluorescence), FCM/FACS (Flow Cytometry)
Cellular Localization
Cell Surface & Cytoplasmic
Immunogen
Recombinant full-length human EpCAM protein
Hu-Chromosome Location
2p21
Positive Control
HT29 cells or Ovarian carcinoma
Preparation and Storage
Antibody with azide - store at 2 to 8 degree C. Antibody without azide - store at -20 to -80 degree C. Antibody is stable for 24 months. Non-hazardous. No MSDS required.
References
Litvinov, S.V., et al. 1997. Epithelial cell adhesion molecule (Ep-CAM) modulates cell-cell interactions mediated by classic cadherins. J. Cell Biol. 139: 1337-1348
NCBI and Uniprot Product Information
NCBI GI #
NCBI GeneID
NCBI Accession #
NCBI GenBank Nucleotide #
Molecular Weight
40-43kDa
NCBI Official Full Name
epithelial cell adhesion molecule
NCBI Official Synonym Full Names
epithelial cell adhesion molecule
NCBI Official Symbol
EPCAM
NCBI Official Synonym Symbols
ESA; KSA; M4S1; MK-1; DIAR5; EGP-2; EGP40; KS1/4; MIC18; TROP1; EGP314; HNPCC8; TACSTD1
NCBI Protein Information
epithelial cell adhesion molecule
UniProt Protein Name
Epithelial cell adhesion molecule
UniProt Gene Name
EPCAM
UniProt Synonym Gene Names
GA733-2; M1S2; M4S1; MIC18; TACSTD1; TROP1; Ep-CAM; EGP; EGP314; hEGP314
UniProt Entry Name
EPCAM_HUMAN
Customer Reviews
Loading reviews...
Share Your Experience
Similar Products
Product Notes
The TACSTD1 epcam (Catalog #AAA62749) is an Antibody produced from Mouse and is intended for research purposes only. The product is available for immediate purchase. The Ep-CAM /CD326 (Epithelial Marker) Mouse Monoclonal Antibody reacts with Human. Does not react with Mouse and Rat and may cross-react with other species as described in the data sheet. AAA Biotech's Ep-CAM /CD326 can be used in a range of immunoassay formats including, but not limited to, IHC (Immunohistochemistry), WB (Western Blot), IF (Immunofluorescence), FCM/FACS (Flow Cytometry). Researchers should empirically determine the suitability of the TACSTD1 epcam for an application not listed in the data sheet. Researchers commonly develop new applications and it is an integral, important part of the investigative research process. It is sometimes possible for the material contained within the vial of "Ep-CAM /CD326, Monoclonal Antibody" to become dispersed throughout the inside of the vial, particularly around the seal of said vial, during shipment and storage. We always suggest centrifuging these vials to consolidate all of the liquid away from the lid and to the bottom of the vial prior to opening. Please be advised that certain products may require dry ice for shipping and that, if this is the case, an additional dry ice fee may also be required.Precautions
All products in the AAA Biotech catalog are strictly for research-use only, and are absolutely not suitable for use in any sort of medical, therapeutic, prophylactic, in-vivo, or diagnostic capacity. By purchasing a product from AAA Biotech, you are explicitly certifying that said products will be properly tested and used in line with industry standard. AAA Biotech and its authorized distribution partners reserve the right to refuse to fulfill any order if we have any indication that a purchaser may be intending to use a product outside of our accepted criteria.Disclaimer
Though we do strive to guarantee the information represented in this datasheet, AAA Biotech cannot be held responsible for any oversights or imprecisions. AAA Biotech reserves the right to adjust any aspect of this datasheet at any time and without notice. It is the responsibility of the customer to inform AAA Biotech of any product performance issues observed or experienced within 30 days of receipt of said product. To see additional details on this or any of our other policies, please see our Terms & Conditions page.Item has been added to Shopping Cart
If you are ready to order, navigate to Shopping Cart and get ready to checkout.
