Rabbit EXOC2 Monoclonal Antibody | anti-EXOC2 antibody
Anti-EXOC2 Rabbit Monoclonal Antibody
Gene Names
EXOC2; SEC5; Sec5p; SEC5L1
Reactivity
Human, Mouse, Rat
Applications
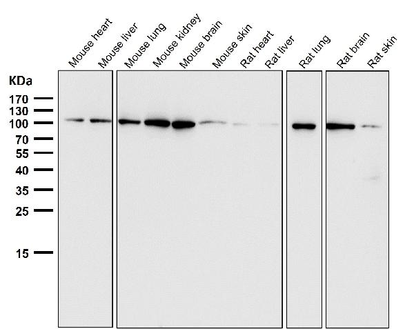
Western Blot
Purity
Affinity-chromatography
Synonyms
EXOC2, Antibody; Anti-EXOC2 Rabbit Monoclonal Antibody; anti-EXOC2 antibody
Host
Rabbit
Reactivity
Human, Mouse, Rat
Clonality
Monoclonal
Isotype
IgG
Clone Number
31E49
Purity/Purification
Affinity-chromatography
Form/Format
Liquid. Rabbit IgG in phosphate buffered saline, pH 7.4, 150mM NaCl, 0.02% sodium azide and 50% glycerol, 0.4-0.5mg/ml BSA.
Applicable Applications for anti-EXOC2 antibody
WB (Western Blot)
Immunogen
A synthesized peptide derived from human EXOC2
Preparation and Storage
Store at -20 degree C for one year. For short term storage and frequent use, store at 4 degree C for up to one month. Avoid repeated freeze-thaw cycles.
Product Categories/Family for anti-EXOC2 antibody
NCBI and Uniprot Product Information
NCBI GI #
NCBI GeneID
NCBI Accession #
NCBI GenBank Nucleotide #
Molecular Weight
104,066 Da
NCBI Official Full Name
exocyst complex component 2
NCBI Official Synonym Full Names
exocyst complex component 2
NCBI Official Symbol
EXOC2
NCBI Official Synonym Symbols
SEC5; Sec5p; SEC5L1
NCBI Protein Information
exocyst complex component 2; SEC5-like 1; exocyst complex component Sec5
UniProt Protein Name
Exocyst complex component 2
UniProt Gene Name
EXOC2
UniProt Synonym Gene Names
SEC5; SEC5L1
UniProt Entry Name
EXOC2_HUMAN
Customer Reviews
Loading reviews...
Share Your Experience
Similar Products
Product Notes
The EXOC2 exoc2 (Catalog #AAA128169) is an Antibody produced from Rabbit and is intended for research purposes only. The product is available for immediate purchase. The Anti-EXOC2 Rabbit Monoclonal Antibody reacts with Human, Mouse, Rat and may cross-react with other species as described in the data sheet. AAA Biotech's EXOC2 can be used in a range of immunoassay formats including, but not limited to, WB (Western Blot). Researchers should empirically determine the suitability of the EXOC2 exoc2 for an application not listed in the data sheet. Researchers commonly develop new applications and it is an integral, important part of the investigative research process. It is sometimes possible for the material contained within the vial of "EXOC2, Monoclonal Antibody" to become dispersed throughout the inside of the vial, particularly around the seal of said vial, during shipment and storage. We always suggest centrifuging these vials to consolidate all of the liquid away from the lid and to the bottom of the vial prior to opening. Please be advised that certain products may require dry ice for shipping and that, if this is the case, an additional dry ice fee may also be required.Precautions
All products in the AAA Biotech catalog are strictly for research-use only, and are absolutely not suitable for use in any sort of medical, therapeutic, prophylactic, in-vivo, or diagnostic capacity. By purchasing a product from AAA Biotech, you are explicitly certifying that said products will be properly tested and used in line with industry standard. AAA Biotech and its authorized distribution partners reserve the right to refuse to fulfill any order if we have any indication that a purchaser may be intending to use a product outside of our accepted criteria.Disclaimer
Though we do strive to guarantee the information represented in this datasheet, AAA Biotech cannot be held responsible for any oversights or imprecisions. AAA Biotech reserves the right to adjust any aspect of this datasheet at any time and without notice. It is the responsibility of the customer to inform AAA Biotech of any product performance issues observed or experienced within 30 days of receipt of said product. To see additional details on this or any of our other policies, please see our Terms & Conditions page.Item has been added to Shopping Cart
If you are ready to order, navigate to Shopping Cart and get ready to checkout.
