Mouse anti-Human FGF23 (Fibroblast Growth Factor 23) Monoclonal Antibody | anti-FGF23 antibody
FGF23 (Fibroblast Growth Factor 23) Mouse Monoclonal Antibody [Clone FGF23/4171]
Non-hazardous. No MSDS required.
Application Data
(Analysis of Protein Array containing more than 19,000 full-length human proteins using FGF23-Monospecific Mouse Monoclonal Antibody (FGF23/4171). Z- and S- Score: The Z-score represents the strength of a signal that a monoclonal antibody (MAb) (in combination with a fluorescently-tagged anti-IgG secondary antibody) produces when binding to a particular protein on the HuProtTM array. Z-scores are described in units of standard deviations (SD's) above the mean value of all signals generated on that array. If targets on HuProtTM are arranged in descending order of the Z-score, the S-score is the difference (also in units of SD's) between the Z-score. S-score therefore represents the relative target specificity of a MAb to its intended target. A MAb is considered to specific to its intended target, if the MAb has an S-score of at least 2.5. For example, if a MAb binds to protein X with a Z-score of 43 and to protein Y with a Z-score of 14, then the S-score for the binding of that MAb to protein X is equal to 29.)
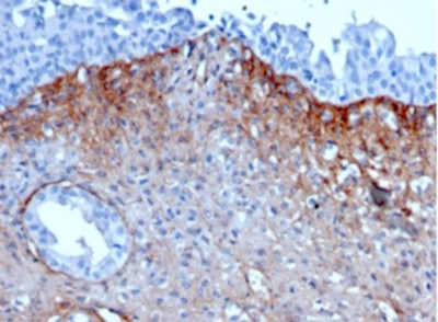
IHC (Immunohiostchemistry)
(IHC analysis of formalin-fixed, paraffin-embedded human kidney stained withFGF23/4171 2ug/ml in PBS for 30min RT. HIER: Tris/EDTA, pH9.0, 45min. 2 °: HRP-polymer, 30min. DAB, 5min.)
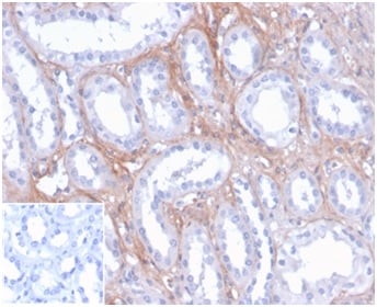
IHC (Immunohistochemistry)
(Formalin-fixed, paraffin-embedded human kidney stained with FGF23 Mouse Monoclonal Antibody (FGF23/4171) at 2ug/ml. Inset: PBS instead of primary antibody; secondary only negative control.)
NCBI and Uniprot Product Information
Customer Reviews
Loading reviews...
Share Your Experience
Similar Products
Product Notes
The FGF23 fgf23 (Catalog #AAA215997) is an Antibody produced from Mouse and is intended for research purposes only. The product is available for immediate purchase. The FGF23 (Fibroblast Growth Factor 23) Mouse Monoclonal Antibody [Clone FGF23/4171] reacts with Human and may cross-react with other species as described in the data sheet. AAA Biotech's FGF23 (Fibroblast Growth Factor 23) can be used in a range of immunoassay formats including, but not limited to, IHC (Immunohistochemistry). Researchers should empirically determine the suitability of the FGF23 fgf23 for an application not listed in the data sheet. Researchers commonly develop new applications and it is an integral, important part of the investigative research process. It is sometimes possible for the material contained within the vial of "FGF23 (Fibroblast Growth Factor 23), Monoclonal Antibody" to become dispersed throughout the inside of the vial, particularly around the seal of said vial, during shipment and storage. We always suggest centrifuging these vials to consolidate all of the liquid away from the lid and to the bottom of the vial prior to opening. Please be advised that certain products may require dry ice for shipping and that, if this is the case, an additional dry ice fee may also be required.Precautions
All products in the AAA Biotech catalog are strictly for research-use only, and are absolutely not suitable for use in any sort of medical, therapeutic, prophylactic, in-vivo, or diagnostic capacity. By purchasing a product from AAA Biotech, you are explicitly certifying that said products will be properly tested and used in line with industry standard. AAA Biotech and its authorized distribution partners reserve the right to refuse to fulfill any order if we have any indication that a purchaser may be intending to use a product outside of our accepted criteria.Disclaimer
Though we do strive to guarantee the information represented in this datasheet, AAA Biotech cannot be held responsible for any oversights or imprecisions. AAA Biotech reserves the right to adjust any aspect of this datasheet at any time and without notice. It is the responsibility of the customer to inform AAA Biotech of any product performance issues observed or experienced within 30 days of receipt of said product. To see additional details on this or any of our other policies, please see our Terms & Conditions page.Item has been added to Shopping Cart
If you are ready to order, navigate to Shopping Cart and get ready to checkout.
