Mouse FKBP52 Monoclonal Antibody | anti-FKBP4 antibody
FKBP52 Antibody: PerCP
WB (Western Blot)
(Western Blot analysis of Human Cell lysates showing detection of FKBP52 protein using Mouse Anti-FKBP52 Monoclonal Antibody, Clone Hi52C. Load: 15 ug. Block: 1.5% BSA for 30 minutes at RT. Primary Antibody: Mouse Anti-FKBP52 Monoclonal Antibody at 1.5 ug/mL for 2 hours at RT. Secondary Antibody: Sheep Anti-Mouse IgG: HRP for 1 hour at RT.)
ICC (Immunocytochemistry)
(Immunocytochemistry/Immunofluorescence analysis using Mouse Anti-FKBP52 Monoclonal Antibody, Clone Hi52C. Tissue: MCF-7 cells (metastatic mammary gland/breast cell line). Species: Human. Primary Antibody: Mouse Anti-FKBP52 Monoclonal Antibody at 1:1000. Secondary Antibody: APC Goat Anti-Mouse (red). Courtesy of: Tom Ratajczak, Univ. of W. Australia.)
WB (Western Blot)
(Western Blot analysis of Rat Brain, Heart, Kidney, Liver, Pancreas, Skeletal muscle, Spleen, Testes, Thymus cell lysates showing detection of FKBP52 protein using Mouse Anti-FKBP52 Monoclonal Antibody, Clone Hi52C. Load: 15 ug. Block: 1.5% BSA for 30 minutes at RT. Primary Antibody: Mouse Anti-FKBP52 Monoclonal Antibody at 1.5 ug/mL for 2 hours at RT. Secondary Antibody: Sheep Anti-Mouse IgG: HRP for 1 hour at RT.)
IHC (Immunohiostchemistry)
(Immunohistochemistry analysis using Mouse Anti-FKBP52 Monoclonal Antibody, Clone Hi52C. Tissue: backskin. Species: Mouse. Fixation: Bouin's Fixative and paraffin-embedded. Primary Antibody: Mouse Anti-FKBP52 Monoclonal Antibody at 1:100 for 1 hour at RT. Secondary Antibody: FITC Goat Anti-Mouse (green) at 1:50 for 1 hour at RT. Localization: Epidermis.)
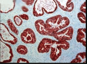
IHC (Immunohistochemistry)
(Immunohistochemistry analysis using Mouse Anti-FKBP52 Monoclonal Antibody, Clone Hi52C. Tissue: prostate tissue (ductal epithelial cells). Species: Human. Primary Antibody: Mouse Anti-FKBP52 Monoclonal Antibody at 1:1000. Courtesy of: David F. Smith, Mayo Clinic, USA.)
Scientific Background: Hsp90 is crucial to cellular signaling by its regulation of the folding, activity, and stability of a wide range of client proteins. These client protein complexes may also contain one or more cochaperones (1). One class of Hsp90-binding cochaperone is composed of proteins with a characteristic tetratricopeptide repeat (TPR) domain that forms an Hsp90 binding site. Among the TPR cochaperones of Hsp90 are Hop/Sti1, protein phosphatase PP5, and members of both the FK506- and cyclosporin A-binding families of immunophilins (2). FK506-binding protein 51 (FKBP51) and FKBP52 are large molecular weight immunophilins that are part of the mature glucocorticoid receptor (GR) heterocomplex (3). The N terminal domain of each protein binds FK506 and has peptidyl-prolyl isomerase (PPIase) activity that converts prolyl peptide bonds within target proteins from cis- to trans- proline. The C-terminal domains contain the TPR repeats involved in protein-protein interactions with the Hsp90 (4). Although FKBP52 and FKBP51 share ~75% sequence similarity, they affect hormone binding by glucocorticoid receptor in opposing manners and have different Hsp90-binding characteristics (3). FK506 binding protein 51 kDa (FKBP51 or otherwise referred to as FKBP54) has been identified as a progestininducible gene. This protein is predominantly expressed in murine T cells but in humans, it is abundantly expressed in numerous tissues at levels many times higher than FKBP12. The FKBP51 gene is known to be induced by glucocorticoids (5).
NCBI and Uniprot Product Information
Customer Reviews
Loading reviews...
Share Your Experience
Similar Products
Product Notes
The FKBP4 fkbp4 (Catalog #AAA103128) is an Antibody produced from Mouse and is intended for research purposes only. The product is available for immediate purchase. The FKBP52 Antibody: PerCP reacts with Canine, Hamster, Human, Mouse, Rat and may cross-react with other species as described in the data sheet. AAA Biotech's FKBP52 can be used in a range of immunoassay formats including, but not limited to, IHC (Immunohistochemistry), IP (Immunoprecipitation), WB (Western Blot). Researchers should empirically determine the suitability of the FKBP4 fkbp4 for an application not listed in the data sheet. Researchers commonly develop new applications and it is an integral, important part of the investigative research process. It is sometimes possible for the material contained within the vial of "FKBP52, Monoclonal Antibody" to become dispersed throughout the inside of the vial, particularly around the seal of said vial, during shipment and storage. We always suggest centrifuging these vials to consolidate all of the liquid away from the lid and to the bottom of the vial prior to opening. Please be advised that certain products may require dry ice for shipping and that, if this is the case, an additional dry ice fee may also be required.Precautions
All products in the AAA Biotech catalog are strictly for research-use only, and are absolutely not suitable for use in any sort of medical, therapeutic, prophylactic, in-vivo, or diagnostic capacity. By purchasing a product from AAA Biotech, you are explicitly certifying that said products will be properly tested and used in line with industry standard. AAA Biotech and its authorized distribution partners reserve the right to refuse to fulfill any order if we have any indication that a purchaser may be intending to use a product outside of our accepted criteria.Disclaimer
Though we do strive to guarantee the information represented in this datasheet, AAA Biotech cannot be held responsible for any oversights or imprecisions. AAA Biotech reserves the right to adjust any aspect of this datasheet at any time and without notice. It is the responsibility of the customer to inform AAA Biotech of any product performance issues observed or experienced within 30 days of receipt of said product. To see additional details on this or any of our other policies, please see our Terms & Conditions page.Item has been added to Shopping Cart
If you are ready to order, navigate to Shopping Cart and get ready to checkout.
