Mouse GAB1/GRB2-associated-binding protein 1 Monoclonal Antibody | anti-GAB1/GRB2 antibody
GAB1/GRB2-associated-binding protein 1 (BSB-155)
Reactivity
Human, Mouse, Rat
Synonyms
GAB1/GRB2-associated-binding protein 1, Antibody; GAB1/GRB2-associated-binding protein 1 (BSB-155); gab1; anti-gab1; grb2; anti-grb2; hrb2-associated-binding protein 1; GRB2 associated binding protein 1; anti-Gab 1; anti Gab 1; anti-GRB2 Associated Binding Protein 1; anti GRB2 Associated Binding Protein 1; Growth Factor Receptor Bound Protein 2-Associated Protein 1; GRB2-Associated-Binding Protein 1; Deafness Autosomal Recessive 26; GRB2-Associated Binder 1; anti GAB1; anti-Growth Factor Receptor Bound Protein 2-Associated Protein 1; anti Growth Factor Receptor Bound Protein 2-Associated Protein 1; anti-GRB2-Associated-Binding Protein 1; anti GRB2-Associated-Binding Protein 1; anti-Deafness Autosomal Recessive 26; anti Deafness Autosomal Recessive 26; anti-GRB2-Associated Binder 1; anti GRB2-Associated Binder 1; GRB2 associated binder 1; Growth factor receptor bound protein 2 associated protein 1; anti-GAB1/GRB2 antibody
Host
Mouse
Reactivity
Human, Mouse, Rat
Clonality
Monoclonal
Isotype
IgG2a
Clone Number
BSB-155
Form/Format
Paraffin, Frozen
GAB1 is a rabbit monoclonal antibody derived from cell culture supernatant that is concentrated, dialyzed, filter sterilized and diluted in buffer pH7.5, containing BSA and sodium azide as a preservative.
GAB1 is a rabbit monoclonal antibody derived from cell culture supernatant that is concentrated, dialyzed, filter sterilized and diluted in buffer pH7.5, containing BSA and sodium azide as a preservative.
Immunogen
Synthetic peptide corresponding to the N-terminus of the human GAB1 protein.
Control
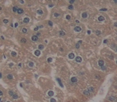
Breast, Prostate, Testis, Tonsil, Stomach, Transitional Cell Carcinoma
Localization
Cytoplasmic, Membranous, Nuclear
Preparation and Storage
Store at 2-8 degree C (Control Slides: Store at 20-25 degree C)
Related Product Information for anti-GAB1/GRB2 antibody
GRB2-associated-binding protein 1 (GAB1) is encoded by the GAB1 gene. GAB1 is a member of the IRS1-like multisubstrate docking protein family that transduces signals from various tyrosine kinases, such as Met, FGFR1, and EGFR. GAB1 plays a central role in cellular growth response, transformation, and apoptosis, as well as inflammatory responses. GAB1 is involved in the amplification of IL-6- induced MAPK pathway and promotes inflammation.
Somatic mutations of the GAB1 gene have been detected in Breast and Colorectal Cancers and studies have shown that elevated expressions of GAB1 antibody have been associated with Breast Cancer metastasis by dissociating the polarity-associated partitioning defective (PAR) complex and promoting epithelial-to-mesenchymal transition. Upregulation of GAB1 is an indication of unfavorable prognosis for Hepatocellular Carcinoma and Epithelial Ovarian Cancer. GAB1 overexpression has also been seen in Adult Acute Lymphoblastic Leukemia and Medulloblastomas. GAB1 antibody can be used with a panel of immunohistochemical markers in the classification of Medulloblastomas into SHH (sonic hedgehog), WNT (wingless-type murine mammary tumor), or non-SHH/WNT subgroups.
Somatic mutations of the GAB1 gene have been detected in Breast and Colorectal Cancers and studies have shown that elevated expressions of GAB1 antibody have been associated with Breast Cancer metastasis by dissociating the polarity-associated partitioning defective (PAR) complex and promoting epithelial-to-mesenchymal transition. Upregulation of GAB1 is an indication of unfavorable prognosis for Hepatocellular Carcinoma and Epithelial Ovarian Cancer. GAB1 overexpression has also been seen in Adult Acute Lymphoblastic Leukemia and Medulloblastomas. GAB1 antibody can be used with a panel of immunohistochemical markers in the classification of Medulloblastomas into SHH (sonic hedgehog), WNT (wingless-type murine mammary tumor), or non-SHH/WNT subgroups.
Customer Reviews
Loading reviews...
Share Your Experience
Similar Products
Product Notes
The GAB1/GRB2 (Catalog #AAA59371) is an Antibody produced from Mouse and is intended for research purposes only. The product is available for immediate purchase. The GAB1/GRB2-associated-binding protein 1 (BSB-155) reacts with Human, Mouse, Rat and may cross-react with other species as described in the data sheet. It is sometimes possible for the material contained within the vial of "GAB1/GRB2-associated-binding protein 1, Monoclonal Antibody" to become dispersed throughout the inside of the vial, particularly around the seal of said vial, during shipment and storage. We always suggest centrifuging these vials to consolidate all of the liquid away from the lid and to the bottom of the vial prior to opening. Please be advised that certain products may require dry ice for shipping and that, if this is the case, an additional dry ice fee may also be required.Precautions
All products in the AAA Biotech catalog are strictly for research-use only, and are absolutely not suitable for use in any sort of medical, therapeutic, prophylactic, in-vivo, or diagnostic capacity. By purchasing a product from AAA Biotech, you are explicitly certifying that said products will be properly tested and used in line with industry standard. AAA Biotech and its authorized distribution partners reserve the right to refuse to fulfill any order if we have any indication that a purchaser may be intending to use a product outside of our accepted criteria.Disclaimer
Though we do strive to guarantee the information represented in this datasheet, AAA Biotech cannot be held responsible for any oversights or imprecisions. AAA Biotech reserves the right to adjust any aspect of this datasheet at any time and without notice. It is the responsibility of the customer to inform AAA Biotech of any product performance issues observed or experienced within 30 days of receipt of said product. To see additional details on this or any of our other policies, please see our Terms & Conditions page.Item has been added to Shopping Cart
If you are ready to order, navigate to Shopping Cart and get ready to checkout.
