Host
Mouse
Reactivity
Human, Canine, Feline, Rat, Mouse, Rabbit
Clonality
Monoclonal
Isotype
IgG1
Clone Number
G-A-5
Form/Format
GFAP is a mouse monoclonal antibody derived from cell culture supernatant that is concentrated, dialyzed, filter sterilized and diluted in buffer pH 7.5, containing BSA and sodium azide as a preservative.
Control
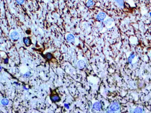
Brain
Localization
Cytoplasmic
Immunogen
Purified GFAP isolated from porcine spinal cord.
Reactivity Note
Paraffin, Frozen
Precautions
1. This product contains sodium azide (NaN3), a toxic chemical which may react with plumbing to form highly explosive build-ups of metal azides. Upon disposal, flush with large volumes of water to prevent sodium azide build-up.
2. Ensure proper handling procedures are used with reagent. Always wear proper laboratory equipment such as laboratory coat and gloves when handling reagents.
3. Unused solution should be disposed of according to local and federal regulations.
4. Do not ingest reagent. If reagent ingested, contact a poison control center immediately.
5. For complete recommendations for handling biological specimens please refer to the CDC document, “Guidelines for Safe Work Practices in Human and Animal Laboratories” (5).
2. Ensure proper handling procedures are used with reagent. Always wear proper laboratory equipment such as laboratory coat and gloves when handling reagents.
3. Unused solution should be disposed of according to local and federal regulations.
4. Do not ingest reagent. If reagent ingested, contact a poison control center immediately.
5. For complete recommendations for handling biological specimens please refer to the CDC document, “Guidelines for Safe Work Practices in Human and Animal Laboratories” (5).
Specimen Preparation
Paraffin sections: The antibody can be used on formalin-fixed paraffin-embedded (FFPE) tissue sections. Ensure tissue undergoes appropriate fixation to ensure best results. Pre-treatment of tissues with heat-induced epitope retrieval (HIER) is recommended using ImmunoDNA Retriever with Citrate , ImmunoDNA Retriever with EDTA or ImmunoDNA Digestor . See reverse side for complete protocol. Tissue should remain hydrated via use of Immuno/DNA Washer solutions. Frozen sections and cell preparations: The antibody can be used for labeling acetone-fixed frozen sections and acetone-fixed cell preparations.
Staining Procedure
1. Cut and mount 3-5 micron formalin-fixed paraffin-embedded tissues on positive charged slides such as Hydrophilic Plus Slides.
2. Air dry for 2 hours at 58° C.
3. Deparaffinize, dehydrate and rehydrate tissues.
4. Subject tissues to heat epitope retrieval using a suitable retrieval solution such as ImmunoDNA Retriever with Citrate or EDTA.
5. Any of three heating methods may be used:
a. TintoRetriever Pressure Cooker or Equivalent
Place tissues/slides in a staining dish or coplin jar containing the ImmunoDNA Retriever with Citrate or EDTA, and place in the pressure cooker. Add 1-2 inches of distilled water to the pressure cooker and turn heat to high. Incubate for 15 minutes. Open and immediately transfer slides to room temperature.
b. TintoRetriever PT Module or Water Bath Method
Place tissues/slides in a pre-warmed staining dish or coplin jar containing the ImmunoDNA Retriever with Citrate or EDTA at 95°-99° C. Incubate for 30-60 minutes.
c. Conventional Steamer Method
Place tissues/slides in a pre-warmed staining dish or coplin jar containing the ImmunoDNA Retriever with Citrate or EDTA in a Steamer, cover and steam for 30-60 minutes.
6. After heat treatment, transfer slides in ImmunoDNA Retriever with Citrate or EDTA to room temperature and let stand for 15-20 minutes.
7. For manual staining, perform antibody incubation at ambient temperature. For automated staining methods, perform antibody incubation according to instrument manufacturer’s instructions.
8. Wash slides with IHC wash buffer or DI water.
9. Continue IHC staining protocol.
2. Air dry for 2 hours at 58° C.
3. Deparaffinize, dehydrate and rehydrate tissues.
4. Subject tissues to heat epitope retrieval using a suitable retrieval solution such as ImmunoDNA Retriever with Citrate or EDTA.
5. Any of three heating methods may be used:
a. TintoRetriever Pressure Cooker or Equivalent
Place tissues/slides in a staining dish or coplin jar containing the ImmunoDNA Retriever with Citrate or EDTA, and place in the pressure cooker. Add 1-2 inches of distilled water to the pressure cooker and turn heat to high. Incubate for 15 minutes. Open and immediately transfer slides to room temperature.
b. TintoRetriever PT Module or Water Bath Method
Place tissues/slides in a pre-warmed staining dish or coplin jar containing the ImmunoDNA Retriever with Citrate or EDTA at 95°-99° C. Incubate for 30-60 minutes.
c. Conventional Steamer Method
Place tissues/slides in a pre-warmed staining dish or coplin jar containing the ImmunoDNA Retriever with Citrate or EDTA in a Steamer, cover and steam for 30-60 minutes.
6. After heat treatment, transfer slides in ImmunoDNA Retriever with Citrate or EDTA to room temperature and let stand for 15-20 minutes.
7. For manual staining, perform antibody incubation at ambient temperature. For automated staining methods, perform antibody incubation according to instrument manufacturer’s instructions.
8. Wash slides with IHC wash buffer or DI water.
9. Continue IHC staining protocol.
Preparation and Storage
Store at 2-8 °C. Do not use after expiration date listed on package label. Temperature fluctuations should be avoided. Store appropriately when not in use, and avoid prolonged exposure to room temperature conditions.
Related Product Information for anti-GFAP antibody
Glial fibrillary acidic protein or GFAP is a Type III protein of the intermediate filaments principally found in astrocytes in the central nervous system, but can also be found in neurons, hepatic stellate cells, kidney mesangial cells, pancreatic stellatecells, and Leydig cells. It has a role in the cytoskeleton of the astrocyte and possibly many other stellate-shaped cells. Antibodies to GFAP are very useful as markers of astrocytic cells. In addition, many types of brain tumors, presumably derived from astrocytic cells, heavily express GFAP. This marker is mainly used to distinguish neoplasms of astrocytic origin from other neoplasms in the central nervous system.
NCBI and Uniprot Product Information
NCBI GI #
NCBI Official Full Name
glial fibrillary acidic protein
Customer Reviews
Loading reviews...
Share Your Experience
Similar Products
Product Notes
The GFAP (Catalog #AAA59219) is an Antibody produced from Mouse and is intended for research purposes only. The product is available for immediate purchase. The GFAP reacts with Human, Canine, Feline, Rat, Mouse, Rabbit and may cross-react with other species as described in the data sheet. It is sometimes possible for the material contained within the vial of "GFAP, Monoclonal Antibody" to become dispersed throughout the inside of the vial, particularly around the seal of said vial, during shipment and storage. We always suggest centrifuging these vials to consolidate all of the liquid away from the lid and to the bottom of the vial prior to opening. Please be advised that certain products may require dry ice for shipping and that, if this is the case, an additional dry ice fee may also be required.Precautions
All products in the AAA Biotech catalog are strictly for research-use only, and are absolutely not suitable for use in any sort of medical, therapeutic, prophylactic, in-vivo, or diagnostic capacity. By purchasing a product from AAA Biotech, you are explicitly certifying that said products will be properly tested and used in line with industry standard. AAA Biotech and its authorized distribution partners reserve the right to refuse to fulfill any order if we have any indication that a purchaser may be intending to use a product outside of our accepted criteria.Disclaimer
Though we do strive to guarantee the information represented in this datasheet, AAA Biotech cannot be held responsible for any oversights or imprecisions. AAA Biotech reserves the right to adjust any aspect of this datasheet at any time and without notice. It is the responsibility of the customer to inform AAA Biotech of any product performance issues observed or experienced within 30 days of receipt of said product. To see additional details on this or any of our other policies, please see our Terms & Conditions page.Item has been added to Shopping Cart
If you are ready to order, navigate to Shopping Cart and get ready to checkout.
