Mouse GFAP Monoclonal Antibody | anti-GFAP antibody
GFAP (Astrocyte & Neural Stem Cell Marker)
Gene Names
GFAP; ALXDRD
Reactivity
Human, Mouse, Rat, Cow, Pig, Rabbit, Chicken. Others not known.
Applications
Immunohistochemistry, Western Blot, Immunofluorescence, Flow Cytometry, Functional Assay
Synonyms
GFAP, Antibody; GFAP (Astrocyte & Neural Stem Cell Marker); Astrocyte or Intermediate Filament Protein; Glial Fibrillary Acidic Protein (GFAP); anti-GFAP antibody
Host
Mouse
Reactivity
Human, Mouse, Rat, Cow, Pig, Rabbit, Chicken. Others not known.
Clonality
Monoclonal
Isotype
IgG1
Clone Number
rASTRO/789
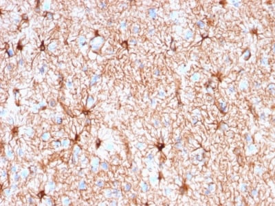
Specificity
This MAb recognizes a protein of ~50kDa which is identified as Glial Fibrillary Acidic Protein (GFAP). It shows no cross-reaction with other intermediate filament proteins. GFAP is specifically found in astroglia. GFAP is a very popular marker for localizing benign astrocyte and neoplastic cells of glial origin in the central nervous system. Antibody to GFAP is useful in differentiating primary gliomas from metastatic lesions in the brain and for documenting astrocytic differentiation in tumors outside the CNS.
Form/Format
200ug/ml of Ab purified from Bioreactor Concentrate by Protein A/G. Prepared in 10mM PBS with 0.05% BSA & 0.05% azide. Also available WITHOUT BSA & azide at 1.0mg/ml.
Sequence Length
431
Applicable Applications for anti-GFAP antibody
IHC (Immunohistochemistry), WB (Western Blot), IF (Immunofluorescence), FCM/FACS (Flow Cytometry)
Immunogen
Recombinant full-length human GFAP protein
Cellular Localization
Cytoplasmic
Hu-chromosome Location
17q21.31
Positive Control
Brain or Astrocytoma
Preparation and Storage
Antibody with azide - store at 2 to 8 degree C.
Antibody without azide - store at -20 to -80 degree C.
Antibody is stable for 24 months. Non-hazardous. No MSDS required.
Antibody without azide - store at -20 to -80 degree C.
Antibody is stable for 24 months. Non-hazardous. No MSDS required.
References
Debus E, et. al. 1983, Differentiation, 25(2):193-203. Van Muijen GN et. al. 1987, Lab Invest, 57:359-369. Herpers MJ et. Al. 1986, Acta Neuropathol, 70:333-339.
NCBI and Uniprot Product Information
NCBI GI #
NCBI GeneID
NCBI Accession #
NCBI GenBank Nucleotide #
UniProt Accession #
Molecular Weight
~50kDa
NCBI Official Full Name
glial fibrillary acidic protein isoform 2
NCBI Official Synonym Full Names
glial fibrillary acidic protein
NCBI Official Symbol
GFAP
NCBI Official Synonym Symbols
ALXDRD
NCBI Protein Information
glial fibrillary acidic protein
UniProt Protein Name
Glial fibrillary acidic protein
UniProt Gene Name
GFAP
UniProt Synonym Gene Names
GFAP
Customer Reviews
Loading reviews...
Share Your Experience
Similar Products
Product Notes
The GFAP gfap (Catalog #AAA62993) is an Antibody produced from Mouse and is intended for research purposes only. The product is available for immediate purchase. The GFAP (Astrocyte & Neural Stem Cell Marker) reacts with Human, Mouse, Rat, Cow, Pig, Rabbit, Chicken. Others not known. and may cross-react with other species as described in the data sheet. AAA Biotech's GFAP can be used in a range of immunoassay formats including, but not limited to, IHC (Immunohistochemistry), WB (Western Blot), IF (Immunofluorescence), FCM/FACS (Flow Cytometry). Researchers should empirically determine the suitability of the GFAP gfap for an application not listed in the data sheet. Researchers commonly develop new applications and it is an integral, important part of the investigative research process. It is sometimes possible for the material contained within the vial of "GFAP, Monoclonal Antibody" to become dispersed throughout the inside of the vial, particularly around the seal of said vial, during shipment and storage. We always suggest centrifuging these vials to consolidate all of the liquid away from the lid and to the bottom of the vial prior to opening. Please be advised that certain products may require dry ice for shipping and that, if this is the case, an additional dry ice fee may also be required.Precautions
All products in the AAA Biotech catalog are strictly for research-use only, and are absolutely not suitable for use in any sort of medical, therapeutic, prophylactic, in-vivo, or diagnostic capacity. By purchasing a product from AAA Biotech, you are explicitly certifying that said products will be properly tested and used in line with industry standard. AAA Biotech and its authorized distribution partners reserve the right to refuse to fulfill any order if we have any indication that a purchaser may be intending to use a product outside of our accepted criteria.Disclaimer
Though we do strive to guarantee the information represented in this datasheet, AAA Biotech cannot be held responsible for any oversights or imprecisions. AAA Biotech reserves the right to adjust any aspect of this datasheet at any time and without notice. It is the responsibility of the customer to inform AAA Biotech of any product performance issues observed or experienced within 30 days of receipt of said product. To see additional details on this or any of our other policies, please see our Terms & Conditions page.Item has been added to Shopping Cart
If you are ready to order, navigate to Shopping Cart and get ready to checkout.
