Mouse Histone H1 Monoclonal Antibody | anti-H1 antibody
Histone H1 (Nuclear Marker) Mouse Monoclonal Antibody
Gene Names
H1; leH1
Reactivity
Human, Mouse, Rat
Applications
Immunohistochemistry, Immunofluorescence, Flow Cytometry, Functional Assay
Synonyms
Histone H1, Antibody; Histone H1 (Nuclear Marker) Mouse Monoclonal Antibody; H1(0); H1.1; H1.2; H1.3; H1.4; H1.5; H10; H1A; H1F0; H1F1; H1F2; H1F3; H1F4; H1F5; H1FNT; H1FOO; H1FT; H1FV; H1FX; H1t; H1T2; H1X; HANP1; His1; HisC; HIST1; HIST1H1A; HIST1H1B; HIST1H1C; HIST1H1D; HIST1H1E; HIST1H1T; Oocyte-specific histone H1; Testicular H1 histone; anti-H1 antibody
Host
Mouse
Reactivity
Human, Mouse, Rat
Clonality
Monoclonal
Isotype
IgG2a, kappa
Clone Number
1415-1
Specificity
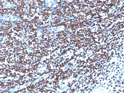
Eukaryotic histones are basic and water-soluble nuclear proteins that form hetero-octameric nucleosome particles by wrapping 146 base pairs of DNA in a left-handed super-helical turn sequentially to form chromosomal fiber. Two molecules of each of the four core histones (H2A, H2B, H3, and H4) form the octamer; formed of two H2A-H2B dimers and two H3-H4 dimers, forming two nearly symmetrical halves by tertiary structure. Over 80% of nucleosomes contain the linker Histone H1, derived from an intronless gene that interacts with linker DNA between nucleosomes and mediates compaction into higher order chromatin. Histones are subject to posttranslational modification by enzymes primarily on their N-terminal tails, but also in their globular domains. Such modifications include methylation, citrullination, acetylation, phosphorylation, sumoylation, ubiquitination and ADP-ribosylation.
Form/Format
200ug/ml of Ab purified from Bioreactor Concentrate by Protein A/G. Prepared in 1mM PBS with 0.05% BSA & 0.05% azide. Also available WITHOUT BSA & azide at 1.0mg/ml.
Sequence Length
271
Applicable Applications for anti-H1 antibody
IHC (Immunohistochemistry), IF (Immunofluorescence), FCM/FACS (Flow Cytometry)
Cellular Localization
Nuclear
Immunogen
Nuclei of human leukemia biopsy cells
Hu-Chromosome Location
3q21-q22; 6q21-q22; 22q13.1
Positive Control
HeLa, A-431, LNCap or Jurkat cells. Breast carcinoma.
Preparation and Storage
Antibody with azide - store at 2 to 8 degree C. Antibody without azide - store at -20 to -80 degree C. Antibody is stable for 24 months. Non-hazardous. No MSDS required.
NCBI and Uniprot Product Information
NCBI GI #
NCBI GeneID
NCBI Accession #
NCBI GenBank Nucleotide #
Molecular Weight
~30kDa
NCBI Official Full Name
histone H1
NCBI Official Symbol
H1
NCBI Official Synonym Symbols
leH1
NCBI Protein Information
histone H1
Customer Reviews
Loading reviews...
Share Your Experience
Similar Products
Product Notes
The H1 (Catalog #AAA62809) is an Antibody produced from Mouse and is intended for research purposes only. The product is available for immediate purchase. The Histone H1 (Nuclear Marker) Mouse Monoclonal Antibody reacts with Human, Mouse, Rat and may cross-react with other species as described in the data sheet. AAA Biotech's Histone H1 can be used in a range of immunoassay formats including, but not limited to, IHC (Immunohistochemistry), IF (Immunofluorescence), FCM/FACS (Flow Cytometry). Researchers should empirically determine the suitability of the H1 for an application not listed in the data sheet. Researchers commonly develop new applications and it is an integral, important part of the investigative research process. It is sometimes possible for the material contained within the vial of "Histone H1, Monoclonal Antibody" to become dispersed throughout the inside of the vial, particularly around the seal of said vial, during shipment and storage. We always suggest centrifuging these vials to consolidate all of the liquid away from the lid and to the bottom of the vial prior to opening. Please be advised that certain products may require dry ice for shipping and that, if this is the case, an additional dry ice fee may also be required.Precautions
All products in the AAA Biotech catalog are strictly for research-use only, and are absolutely not suitable for use in any sort of medical, therapeutic, prophylactic, in-vivo, or diagnostic capacity. By purchasing a product from AAA Biotech, you are explicitly certifying that said products will be properly tested and used in line with industry standard. AAA Biotech and its authorized distribution partners reserve the right to refuse to fulfill any order if we have any indication that a purchaser may be intending to use a product outside of our accepted criteria.Disclaimer
Though we do strive to guarantee the information represented in this datasheet, AAA Biotech cannot be held responsible for any oversights or imprecisions. AAA Biotech reserves the right to adjust any aspect of this datasheet at any time and without notice. It is the responsibility of the customer to inform AAA Biotech of any product performance issues observed or experienced within 30 days of receipt of said product. To see additional details on this or any of our other policies, please see our Terms & Conditions page.Item has been added to Shopping Cart
If you are ready to order, navigate to Shopping Cart and get ready to checkout.
