Histone H3 Monoclonal Antibody | anti-H3 antibody
Histone H3 Mouse Monoclonal Antibody (8F7)
Reactivity
Human, Rat, Mouse
Applications
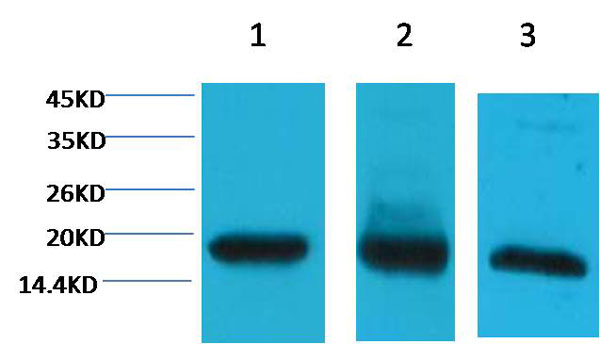
Western Blot
Synonyms
Histone H3, Antibody; Histone H3 Mouse Monoclonal Antibody (8F7); H3 histone antibody; HIST1H3A antibody; Histone cluster 1; H3a antibody; anti-H3 antibody
Reactivity
Human, Rat, Mouse
Clonality
Monoclonal
Isotype
IgG1
Specificity
The Histone H3 antibody can detects endogenous Histone H3 protein.
Form/Format
PBS, pH 7.4, containing 0.02% sodium azide as Preservative and 50% Glycerol.
Sequence Length
136
Applicable Applications for anti-H3 antibody
WB (Western Blot)
Preparation and Storage
Store at-20 degree C. Do not aliquot the antibody.
Related Product Information for anti-H3 antibody
Histone H3 is one of the five main histone proteins involved in the structure of chromatin in eukaryotic cells. Core component of nucleosome. Nucleosomes wrap and compact DNA into chromatin, limiting DNA accessibility to the cellular machineries which require DNA as a template. Histones thereby play a central role in transcription regulation, DNA repair, DNA replication and chromosomal stability.
NCBI and Uniprot Product Information
NCBI GI #
Molecular Weight
15KD
NCBI Official Full Name
histone H3
UniProt Protein Name
Histone H3.3
UniProt Gene Name
H3
Customer Reviews
Loading reviews...
Share Your Experience
Similar Products
Product Notes
The Histone H3 h3 (Catalog #AAA267122) is an Antibody and is intended for research purposes only. The product is available for immediate purchase. The Histone H3 Mouse Monoclonal Antibody (8F7) reacts with Human, Rat, Mouse and may cross-react with other species as described in the data sheet. AAA Biotech's Histone H3 can be used in a range of immunoassay formats including, but not limited to, WB (Western Blot). Researchers should empirically determine the suitability of the Histone H3 h3 for an application not listed in the data sheet. Researchers commonly develop new applications and it is an integral, important part of the investigative research process. It is sometimes possible for the material contained within the vial of "Histone H3, Monoclonal Antibody" to become dispersed throughout the inside of the vial, particularly around the seal of said vial, during shipment and storage. We always suggest centrifuging these vials to consolidate all of the liquid away from the lid and to the bottom of the vial prior to opening. Please be advised that certain products may require dry ice for shipping and that, if this is the case, an additional dry ice fee may also be required.Precautions
All products in the AAA Biotech catalog are strictly for research-use only, and are absolutely not suitable for use in any sort of medical, therapeutic, prophylactic, in-vivo, or diagnostic capacity. By purchasing a product from AAA Biotech, you are explicitly certifying that said products will be properly tested and used in line with industry standard. AAA Biotech and its authorized distribution partners reserve the right to refuse to fulfill any order if we have any indication that a purchaser may be intending to use a product outside of our accepted criteria.Disclaimer
Though we do strive to guarantee the information represented in this datasheet, AAA Biotech cannot be held responsible for any oversights or imprecisions. AAA Biotech reserves the right to adjust any aspect of this datasheet at any time and without notice. It is the responsibility of the customer to inform AAA Biotech of any product performance issues observed or experienced within 30 days of receipt of said product. To see additional details on this or any of our other policies, please see our Terms & Conditions page.Item has been added to Shopping Cart
If you are ready to order, navigate to Shopping Cart and get ready to checkout.
