IgG3 Recombinant Antibody | IGHG3 recombinant antibody
Rabbit Anti-Mouse IgG3 Secondary Antibody, Rabbit MAb
This antibody is shipped as liquid solution at ambient temperature. Upon receipt, store it immediately at the temperature recommended below.
WB (Western Blot)
(Anti-ENO3 mouse monoclonal antibody at 1:1000 dilutionLane A: HepG2 Whole Cell LysateLane B: HeLa Whole Cell LysateLysates/proteins at 30ug per lane.SecondaryRabbit Anti-Mouse IgG3/HRP(#AAA259475-H)at 1/10000 dilution.Developed using the ECL technique. Performed under reducing conditions.Predicted band size:47 kDaObserved band size:47 kDa(Validation Experiment))
IHC (Immunohistochemisry)
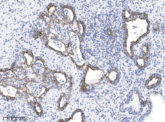
(Immunohistochemical analysis of PFA-fixed paraffin-embedded human prostate tissue sections, with KRT7 primary antibody (1/200) for 1 hours at 37 degree C. An HRP-conjugated Rabbit Anti-Mouse IgG3 Secondary Antibody (AAA259475-H)(1/3200) was used as the secondary antibody. (Validation Experiment))
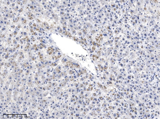
IHC (Immunohiostchemistry)
(Immunohistochemical analysis of PFA-fixed paraffin-embedded human liver tissue sections, with VEGF primary antibody (1/500) for 1 hours at 37 degree C. An HRP-conjugated Rabbit Anti-Mouse IgG3 Secondary Antibody (AAA259475-H)(1/6400) was used as the secondary antibody. (Validation Experiment))
ELISA
(ELISA of mouse immunoglobulins shows Rabbit Anti-Mouse IgG3 Secondary Antibody (#AAA259475) reacts only to mouse IgG3. No cross reactivity with mouse IgG1, IgG2a, IgG2b, IgM. The plate was coated with 0.1ug/mL of different mouse immunoglobulins. 0.1ug/mL of Rabbit Anti-Mouse IgG3 Secondary Antibody (#AAA259475) was used as the primary antibody. An HRP conjugated anti-Rabbit IgG as the secondary antibody.)
Customer Reviews
Loading reviews...
Share Your Experience
Similar Products
Product Notes
The IGHG3 (Catalog #AAA259475) is a Recombinant Antibody produced from Rabbit and is intended for research purposes only. The product is available for immediate purchase. The Rabbit Anti-Mouse IgG3 Secondary Antibody, Rabbit MAb reacts with Mouse and may cross-react with other species as described in the data sheet. AAA Biotech's IgG3 can be used in a range of immunoassay formats including, but not limited to, ELISA. Researchers should empirically determine the suitability of the IGHG3 for an application not listed in the data sheet. Researchers commonly develop new applications and it is an integral, important part of the investigative research process. It is sometimes possible for the material contained within the vial of "IgG3, Monoclonal Recombinant Antibody" to become dispersed throughout the inside of the vial, particularly around the seal of said vial, during shipment and storage. We always suggest centrifuging these vials to consolidate all of the liquid away from the lid and to the bottom of the vial prior to opening. Please be advised that certain products may require dry ice for shipping and that, if this is the case, an additional dry ice fee may also be required.Precautions
All products in the AAA Biotech catalog are strictly for research-use only, and are absolutely not suitable for use in any sort of medical, therapeutic, prophylactic, in-vivo, or diagnostic capacity. By purchasing a product from AAA Biotech, you are explicitly certifying that said products will be properly tested and used in line with industry standard. AAA Biotech and its authorized distribution partners reserve the right to refuse to fulfill any order if we have any indication that a purchaser may be intending to use a product outside of our accepted criteria.Disclaimer
Though we do strive to guarantee the information represented in this datasheet, AAA Biotech cannot be held responsible for any oversights or imprecisions. AAA Biotech reserves the right to adjust any aspect of this datasheet at any time and without notice. It is the responsibility of the customer to inform AAA Biotech of any product performance issues observed or experienced within 30 days of receipt of said product. To see additional details on this or any of our other policies, please see our Terms & Conditions page.Item has been added to Shopping Cart
If you are ready to order, navigate to Shopping Cart and get ready to checkout.
