Mouse anti-Human, Mouse IL25 / IL17E Monoclonal Antibody | anti-IL25 antibody
Mouse Monoclonal [clone 68C1039.2] (IgG1) to Human IL25 / IL17E
Gene Names
IL25; IL17E
Reactivity
Human, Mouse
Applications
Immunohistochemistry, Western Blot
Purity
Protein G Purified
Synonyms
IL25 / IL17E, Antibody; Mouse Monoclonal [clone 68C1039.2] (IgG1) to Human IL25 / IL17E; Anti-IL25 / IL17E Antibody (aa115-132, clone 68C1039.2) IHC-plus; IL25; Interleukin 17E; Interleukin 25; Interleukin-25; IL17E; IL-17E; IL-25; Interleukin-17E; Human IL25; anti-IL25 antibody
Host
Mouse
Reactivity
Human, Mouse
Clonality
Monoclonal
Isotype
IgG1
Clone Number
68C1039.2
Specificity
A synthetic peptide of amino acids 115-132, obtained from the human IL-17E protein sequence, was used as immunogen
Purity/Purification
Protein G Purified
Form/Format
PBS with 0.05% sodium azide.
Concentration
1 mg/ml (varies by lot)
Sequence Length
177
Applicable Applications for anti-IL25 antibody
IHC (Immunohistochemistry), WB (Western Blot)
Application Notes
IHC-P (10 ug/ml), WB (2-4 ug/ml)
Optimal dilution to be determine by the researcher.
Optimal dilution to be determine by the researcher.
Immunogen Species
IL25 / IL17E antibody was raised against Human
Usage
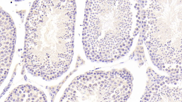
Immunohistochemistry: was validated for use in immunohistochemistry on a panel of 21 formalin-fixed, paraffin-embedded (FFPE) human tissues after heat induced antigen retrieval in pH 6.0 citrate buffer. After incubation with the primary antibody, slides were incubated with biotinylated secondary antibody , followed by alkaline phosphatase-streptavidin and chromogen. The stained slides were evaluated by a pathologist to confirm staining specificity. The optimal working concentration was determined to be 10 ug/ml.
Immunogen Type
Synthetic peptide
Immunogen
IL25 / IL17E antibody was raised against synthetic peptide from human IL25 / IL-25.
Epitope
aa115-132
Disclaimer
Due to the highly specific nature of antibodies and antigens, we cannot predict or be held responsible with respect to how this antibody will behave in your systems. Researchers using this antibody should conduct optimization studies to achieve the most optimal result possible for their intended application.
Recommended Immunohistochemistry Protocol
The following protocol is a recommendation only, and AAA Biotech, Inc. makes no guarantee of the results:
Tissue Preparation:
Formalin fixation and embedding in paraffin wax.
Tissue Sectioning:
Make 4-um sections and place on pre-cleaned and charged microscope slides. Heat in a tissue-dryingoven for 45 minutes at 60°C.
Deparaffinization:
Wash dry slides in 3 changes of xylene - 5 minutes each @ RT
Rehydration:
Wash slides in 3 changes of 100% alcohol - 3 minutes each @ RT
Wash slides in 2 changes of 95% alcohol - 3 minutes each @ RT
Wash slides in 1 change of 80% alcohol - 3 minutes @ RT
Rinse slides in gentle running distilled water - 5 minutes @ RT
Antigen retrieval:
Steam slides in 0.01 M sodium citrate buffer, pH 6.0 at 99-100°C - 20 minutes
Remove from heat and let stand at room temperature in buffer - 20 minutes
Rinse in 1X TBS with Tween (TBST) -1 minute @ RT
Immunostaining:
(Do not allow tissues to dry at any time during the staining procedure)
Apply a universal protein block - 20 minutes @ RT
Drain protein block from slides, apply diluted primary antibody - 45 minutes @ RT
Rinse slides in 1 X TBST - 1 minute @ RT
Apply a biotinylated secondary antibody appropriate for the primary antibody - 30 minutes @ RT
Rinse slides in 1X TBST -1 minute @ RT
Apply alkaline phosphatase streptavidin - 30 minutes @ RT
Rinse slides in 1X TBST -1 minute @ RT
Apply alkaline phosphatase chromogen substrate - 30 minutes @ RT
Wash slides in distilled water - 1 minute @ RT
Dehydrate:
(This method should only be used if the chromogen substrate is alcohol insoluble (e.g. Vector Red, DAB)
Wash slides in 2 changes of 80% alcohol - 1 minute each @ RT
Wash slides in 2 changes of 95% alcohol - 1 minute each @ RT
Wash slides in 3 changes of 100% alcohol - 1 minute each @ RT
Wash slides in 3 changes of xylene - 1 minute each @ RT
Apply coverslip
Tissue Preparation:
Formalin fixation and embedding in paraffin wax.
Tissue Sectioning:
Make 4-um sections and place on pre-cleaned and charged microscope slides. Heat in a tissue-dryingoven for 45 minutes at 60°C.
Deparaffinization:
Wash dry slides in 3 changes of xylene - 5 minutes each @ RT
Rehydration:
Wash slides in 3 changes of 100% alcohol - 3 minutes each @ RT
Wash slides in 2 changes of 95% alcohol - 3 minutes each @ RT
Wash slides in 1 change of 80% alcohol - 3 minutes @ RT
Rinse slides in gentle running distilled water - 5 minutes @ RT
Antigen retrieval:
Steam slides in 0.01 M sodium citrate buffer, pH 6.0 at 99-100°C - 20 minutes
Remove from heat and let stand at room temperature in buffer - 20 minutes
Rinse in 1X TBS with Tween (TBST) -1 minute @ RT
Immunostaining:
(Do not allow tissues to dry at any time during the staining procedure)
Apply a universal protein block - 20 minutes @ RT
Drain protein block from slides, apply diluted primary antibody - 45 minutes @ RT
Rinse slides in 1 X TBST - 1 minute @ RT
Apply a biotinylated secondary antibody appropriate for the primary antibody - 30 minutes @ RT
Rinse slides in 1X TBST -1 minute @ RT
Apply alkaline phosphatase streptavidin - 30 minutes @ RT
Rinse slides in 1X TBST -1 minute @ RT
Apply alkaline phosphatase chromogen substrate - 30 minutes @ RT
Wash slides in distilled water - 1 minute @ RT
Dehydrate:
(This method should only be used if the chromogen substrate is alcohol insoluble (e.g. Vector Red, DAB)
Wash slides in 2 changes of 80% alcohol - 1 minute each @ RT
Wash slides in 2 changes of 95% alcohol - 1 minute each @ RT
Wash slides in 3 changes of 100% alcohol - 1 minute each @ RT
Wash slides in 3 changes of xylene - 1 minute each @ RT
Apply coverslip
Preparation and Storage
Short term: Store at 4°C. Long term: aliquot and store at -20C. Avoid freeze/thaw cycles.
Product Categories/Family for anti-IL25 antibody
NCBI and Uniprot Product Information
NCBI GI #
NCBI GeneID
NCBI Accession #
NCBI GenBank Nucleotide #
NCBI Official Full Name
interleukin-25 isoform 1
NCBI Official Synonym Full Names
interleukin 25
NCBI Official Symbol
IL25
NCBI Official Synonym Symbols
IL17E
NCBI Protein Information
interleukin-25; interleukin-17E
UniProt Protein Name
Interleukin-25
UniProt Gene Name
IL25
UniProt Synonym Gene Names
IL17E; IL-25; IL-17E
UniProt Entry Name
IL25_HUMAN
Customer Reviews
Loading reviews...
Share Your Experience
Similar Products
Product Notes
The IL25 il25 (Catalog #AAA12340) is an Antibody produced from Mouse and is intended for research purposes only. The product is available for immediate purchase. The Mouse Monoclonal [clone 68C1039.2] (IgG1) to Human IL25 / IL17E reacts with Human, Mouse and may cross-react with other species as described in the data sheet. AAA Biotech's IL25 / IL17E can be used in a range of immunoassay formats including, but not limited to, IHC (Immunohistochemistry), WB (Western Blot). IHC-P (10 ug/ml), WB (2-4 ug/ml) Optimal dilution to be determine by the researcher. Researchers should empirically determine the suitability of the IL25 il25 for an application not listed in the data sheet. Researchers commonly develop new applications and it is an integral, important part of the investigative research process. It is sometimes possible for the material contained within the vial of "IL25 / IL17E, Monoclonal Antibody" to become dispersed throughout the inside of the vial, particularly around the seal of said vial, during shipment and storage. We always suggest centrifuging these vials to consolidate all of the liquid away from the lid and to the bottom of the vial prior to opening. Please be advised that certain products may require dry ice for shipping and that, if this is the case, an additional dry ice fee may also be required.Precautions
All products in the AAA Biotech catalog are strictly for research-use only, and are absolutely not suitable for use in any sort of medical, therapeutic, prophylactic, in-vivo, or diagnostic capacity. By purchasing a product from AAA Biotech, you are explicitly certifying that said products will be properly tested and used in line with industry standard. AAA Biotech and its authorized distribution partners reserve the right to refuse to fulfill any order if we have any indication that a purchaser may be intending to use a product outside of our accepted criteria.Disclaimer
Though we do strive to guarantee the information represented in this datasheet, AAA Biotech cannot be held responsible for any oversights or imprecisions. AAA Biotech reserves the right to adjust any aspect of this datasheet at any time and without notice. It is the responsibility of the customer to inform AAA Biotech of any product performance issues observed or experienced within 30 days of receipt of said product. To see additional details on this or any of our other policies, please see our Terms & Conditions page.Item has been added to Shopping Cart
If you are ready to order, navigate to Shopping Cart and get ready to checkout.
