Mouse anti-Human IL8 Monoclonal Antibody | anti-IL8 antibody
IL8 Monoclonal Antibody
Gene Names
CXCL8; IL8; NAF; GCP1; LECT; LUCT; NAP1; GCP-1; LYNAP; MDNCF; MONAP; NAP-1
Reactivity
Human
Applications
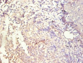
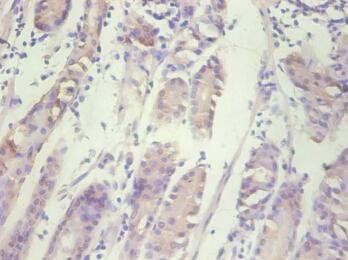
Immunohistochemistry
Purity
Protein G Purifed
Synonyms
IL8, Antibody; IL8 Monoclonal Antibody; CXCL8; IL8 IL-8 C-X-C motif chemokine 8 Emoctakin Granulocyte chemotactic protein 1 GCP-1 Monocyte-derived neutrophil chemotactic factor MDNCF Monocyte-derived neutrophil-activating peptide MONAP Neutrophil-activating protein 1 NAP-1 Protein 3-10C T-cell chemotactic factor; anti-IL8 antibody
Host
Mouse
Reactivity
Human
Clonality
Monoclonal
Specificity
Specific for IL8 native and denatured forms
Purity/Purification
Protein G Purifed
Form/Format
Preservative: 0.03% Proclin 300 Constituents: 50% Glycerol, 0.01M PBS, PH 7.4
Concentration
1.0 mg/ml (varies by lot)
Sequence Length
99
Applicable Applications for anti-IL8 antibody
IHC (Immunohistochemistry)
Immunogen
Recombinant Human Interleukin-8 protein
Immunogen Type
Protein
Preparation and Storage
Store at -20 degree C
Related Product Information for anti-IL8 antibody
IL-8 is a chemotactic factor that attracts neutrophils, basophils, and T-cells, but not monocytes. It is also involved in neutrophil activation. It is released from several cell types in response to an inflammatory stimulus. IL-8(6-77) has a 5-10-fold higher activity on neutrophil activation, IL-8(5-77) has increased activity on neutrophil activation and IL-8(7-77) has a higher affinity to receptors CXCR1 and CXCR2 as compared to IL-8(1-77), respectively.
Product Categories/Family for anti-IL8 antibody
NCBI and Uniprot Product Information
NCBI GI #
NCBI GeneID
NCBI Accession #
NCBI GenBank Nucleotide #
Molecular Weight
11,098 Da
NCBI Official Full Name
interleukin-8
NCBI Official Synonym Full Names
C-X-C motif chemokine ligand 8
NCBI Official Symbol
CXCL8
NCBI Official Synonym Symbols
IL8; NAF; GCP1; LECT; LUCT; NAP1; GCP-1; LYNAP; MDNCF; MONAP; NAP-1
NCBI Protein Information
interleukin-8
UniProt Protein Name
Interleukin-8
UniProt Gene Name
CXCL8
UniProt Synonym Gene Names
IL8; IL-8; GCP-1; MDNCF; MONAP; NAP-1; LYNAP; NAF
UniProt Entry Name
IL8_HUMAN
Customer Reviews
Loading reviews...
Share Your Experience
Similar Products
Product Notes
The IL8 cxcl8 (Catalog #AAA308410) is an Antibody produced from Mouse and is intended for research purposes only. The product is available for immediate purchase. The IL8 Monoclonal Antibody reacts with Human and may cross-react with other species as described in the data sheet. AAA Biotech's IL8 can be used in a range of immunoassay formats including, but not limited to, IHC (Immunohistochemistry). Researchers should empirically determine the suitability of the IL8 cxcl8 for an application not listed in the data sheet. Researchers commonly develop new applications and it is an integral, important part of the investigative research process. It is sometimes possible for the material contained within the vial of "IL8, Monoclonal Antibody" to become dispersed throughout the inside of the vial, particularly around the seal of said vial, during shipment and storage. We always suggest centrifuging these vials to consolidate all of the liquid away from the lid and to the bottom of the vial prior to opening. Please be advised that certain products may require dry ice for shipping and that, if this is the case, an additional dry ice fee may also be required.Precautions
All products in the AAA Biotech catalog are strictly for research-use only, and are absolutely not suitable for use in any sort of medical, therapeutic, prophylactic, in-vivo, or diagnostic capacity. By purchasing a product from AAA Biotech, you are explicitly certifying that said products will be properly tested and used in line with industry standard. AAA Biotech and its authorized distribution partners reserve the right to refuse to fulfill any order if we have any indication that a purchaser may be intending to use a product outside of our accepted criteria.Disclaimer
Though we do strive to guarantee the information represented in this datasheet, AAA Biotech cannot be held responsible for any oversights or imprecisions. AAA Biotech reserves the right to adjust any aspect of this datasheet at any time and without notice. It is the responsibility of the customer to inform AAA Biotech of any product performance issues observed or experienced within 30 days of receipt of said product. To see additional details on this or any of our other policies, please see our Terms & Conditions page.Item has been added to Shopping Cart
If you are ready to order, navigate to Shopping Cart and get ready to checkout.
