Mouse anti-Human Insulin/IRDN Monoclonal Antibody | anti-INS antibody
Insulin/IRDN (beta-Cell & Insulinoma Marker)
Gene Names
INS; IDDM; ILPR; IRDN; IDDM1; IDDM2; MODY10
Reactivity
Human
Applications
Immunohistochemistry, Immunofluorescence, Flow Cytometry, Functional Assay
Purity
Purified Ab with BSA and Azide at 200ug/ml
Synonyms
Insulin/IRDN, Antibody; Insulin/IRDN (beta-Cell & Insulinoma Marker); IDDM2; ILPR; IRDN; MODY10; Proinsulin; anti-INS antibody
Host
Mouse
Reactivity
Human
Clonality
Monoclonal
Isotype
IgG1, kappa
Clone Number
K36aC10
Specificity
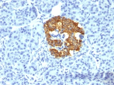
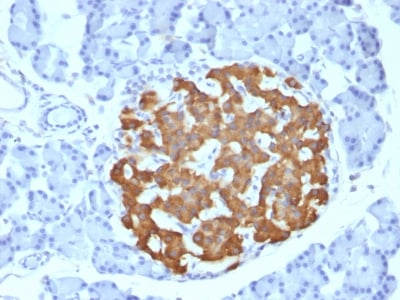
Recognizes a polypeptide which is identified as insulin, a 51-amino acid polypeptide composed of A and B chains connected through the C-peptide. Proinsulin, which has very little biological activity, is cleaved by proteases within its cell of origin into the insulin molecule and the C-terminal basic residue. Insulin enhances membrane transport of glucose, amino acids, and certain ions. It also promotes glycogen storage, formation of triglycerides, and synthesis of proteins and nucleic acids. Deficiency of insulin results in diabetes mellitus. The main storage site for insulin is the pancreatic islets. Antibodies to insulin are important as beta-cell and insulinoma marker.
Purity/Purification
Purified Ab with BSA and Azide at 200ug/ml
Form/Format
200ug/ml of Ab Purified from Bioreactor Concentrate by Protein A/G. Prepared in 10mM PBS with 0.05% BSA & 0.05% azide.
Sequence Length
110
Applicable Applications for anti-INS antibody
IHC (Immunohistochemistry), IF (Immunofluorescence), FCM/FACS (Flow Cytometry)
Positive Control
MIA PaCa-2 cells. Pancreas.
Immunogen
Purified human insulin
Cellular Localization
Cytoplasmic
Hu-chromosome Location
11p15.5
Preparation and Storage
Antibody with azide: store at 2 to 8 degree C.
Antibody without azide: store at -20 to -80 degree C.
Antibody is stable for 24 months. Non-hazardous. No MSDS required.
Antibody without azide: store at -20 to -80 degree C.
Antibody is stable for 24 months. Non-hazardous. No MSDS required.
References
1. Morisset, J., et al. 2003. J. Histochem. Cytochem. 51: 1501-1513. 2. de la Tour, D., et al. 2001. Mol. Endoc. 15: 476-483. 3. Rajagopal, J., et al. 2003. Science 299: 363.
NCBI and Uniprot Product Information
NCBI GI #
NCBI GeneID
UniProt Accession #
Molecular Weight
6kDa
NCBI Official Full Name
insulin
NCBI Official Synonym Full Names
insulin
NCBI Official Symbol
INS
NCBI Official Synonym Symbols
IDDM; ILPR; IRDN; IDDM1; IDDM2; MODY10
NCBI Protein Information
insulin
UniProt Protein Name
Insulin
UniProt Gene Name
INS
UniProt Entry Name
INS_HUMAN
Customer Reviews
Loading reviews...
Share Your Experience
Similar Products
Product Notes
The INS ins (Catalog #AAA215038) is an Antibody produced from Mouse and is intended for research purposes only. The product is available for immediate purchase. The Insulin/IRDN (beta-Cell & Insulinoma Marker) reacts with Human and may cross-react with other species as described in the data sheet. AAA Biotech's Insulin/IRDN can be used in a range of immunoassay formats including, but not limited to, IHC (Immunohistochemistry), IF (Immunofluorescence), FCM/FACS (Flow Cytometry). Researchers should empirically determine the suitability of the INS ins for an application not listed in the data sheet. Researchers commonly develop new applications and it is an integral, important part of the investigative research process. It is sometimes possible for the material contained within the vial of "Insulin/IRDN, Monoclonal Antibody" to become dispersed throughout the inside of the vial, particularly around the seal of said vial, during shipment and storage. We always suggest centrifuging these vials to consolidate all of the liquid away from the lid and to the bottom of the vial prior to opening. Please be advised that certain products may require dry ice for shipping and that, if this is the case, an additional dry ice fee may also be required.Precautions
All products in the AAA Biotech catalog are strictly for research-use only, and are absolutely not suitable for use in any sort of medical, therapeutic, prophylactic, in-vivo, or diagnostic capacity. By purchasing a product from AAA Biotech, you are explicitly certifying that said products will be properly tested and used in line with industry standard. AAA Biotech and its authorized distribution partners reserve the right to refuse to fulfill any order if we have any indication that a purchaser may be intending to use a product outside of our accepted criteria.Disclaimer
Though we do strive to guarantee the information represented in this datasheet, AAA Biotech cannot be held responsible for any oversights or imprecisions. AAA Biotech reserves the right to adjust any aspect of this datasheet at any time and without notice. It is the responsibility of the customer to inform AAA Biotech of any product performance issues observed or experienced within 30 days of receipt of said product. To see additional details on this or any of our other policies, please see our Terms & Conditions page.Item has been added to Shopping Cart
If you are ready to order, navigate to Shopping Cart and get ready to checkout.
