Mouse Integrin alpha-3 Monoclonal Antibody | anti-ITGA3 antibody
Integrin alpha-3 Mouse Monoclonal
Gene Names
ITGA3; VL3A; CD49C; FRP-2; GAPB3; ILNEB; MSK18; VCA-2; VLA3a; GAP-B3
Reactivity
Human, Mouse; other species are not tested.
Applications
Western Blot, ELISA
Purity
>=95% as determined by SDS-PAGEProtein A+G purification
Synonyms
Integrin alpha-3, Antibody; Integrin alpha-3 Mouse Monoclonal; CD49C, FRP 2, Galactoprotein B3, GAP B3, GAPB3, Integrin alpha 3, ITGA3, MSK18, VCA 2, VL3A, VLA 3 subunit alpha, VLA3a; anti-ITGA3 antibody
Host
Mouse
Reactivity
Human, Mouse; other species are not tested.
Clonality
Monoclonal
Isotype
IgG2a
Specificity
Please decide the specificity by homology
Purity/Purification
>=95% as determined by SDS-PAGE
Protein A+G purification
Protein A+G purification
Form/Format
Liquid; PBS with 0.02% sodium azide and 50% glycerol pH 7.3.
Sequence Length
1051
Applicable Applications for anti-ITGA3 antibody
WB (Western Blot), ELISA
Immunogen
integrin, alpha 3
Calculated MW
120 kDa
Preparation and Storage
Store at -20°C for 24 months (Avoid repeated freeze / thaw cycles.)
Related Product Information for anti-ITGA3 antibody
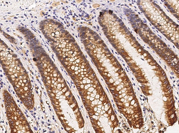
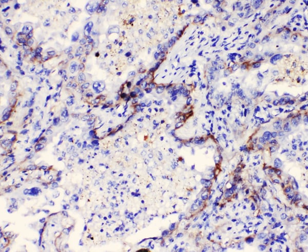
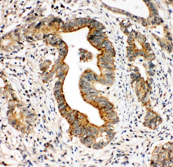
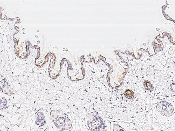
ITGA3, also named as MSK18, CD49c, GAPB3 and FRP-2, belongs to the integrin alpha chain family. It can be cleaved into heavy chain(840aa) and light chain(176aa). This antibody can recognize the heavy chain.
NCBI and Uniprot Product Information
NCBI GI #
NCBI GeneID
NCBI Accession #
NCBI GenBank Nucleotide #
NCBI Official Full Name
integrin alpha-3 preproprotein
NCBI Official Synonym Full Names
integrin subunit alpha 3
NCBI Official Symbol
ITGA3
NCBI Official Synonym Symbols
VL3A; CD49C; FRP-2; GAPB3; ILNEB; MSK18; VCA-2; VLA3a; GAP-B3
NCBI Protein Information
integrin alpha-3
UniProt Protein Name
Integrin alpha-3
UniProt Gene Name
ITGA3
UniProt Synonym Gene Names
MSK18; GAPB3
UniProt Entry Name
ITA3_HUMAN
Customer Reviews
Loading reviews...
Share Your Experience
Similar Products
Product Notes
The ITGA3 itga3 (Catalog #AAA247967) is an Antibody produced from Mouse and is intended for research purposes only. The product is available for immediate purchase. The Integrin alpha-3 Mouse Monoclonal reacts with Human, Mouse; other species are not tested. and may cross-react with other species as described in the data sheet. AAA Biotech's Integrin alpha-3 can be used in a range of immunoassay formats including, but not limited to, WB (Western Blot), ELISA. Researchers should empirically determine the suitability of the ITGA3 itga3 for an application not listed in the data sheet. Researchers commonly develop new applications and it is an integral, important part of the investigative research process. It is sometimes possible for the material contained within the vial of "Integrin alpha-3, Monoclonal Antibody" to become dispersed throughout the inside of the vial, particularly around the seal of said vial, during shipment and storage. We always suggest centrifuging these vials to consolidate all of the liquid away from the lid and to the bottom of the vial prior to opening. Please be advised that certain products may require dry ice for shipping and that, if this is the case, an additional dry ice fee may also be required.Precautions
All products in the AAA Biotech catalog are strictly for research-use only, and are absolutely not suitable for use in any sort of medical, therapeutic, prophylactic, in-vivo, or diagnostic capacity. By purchasing a product from AAA Biotech, you are explicitly certifying that said products will be properly tested and used in line with industry standard. AAA Biotech and its authorized distribution partners reserve the right to refuse to fulfill any order if we have any indication that a purchaser may be intending to use a product outside of our accepted criteria.Disclaimer
Though we do strive to guarantee the information represented in this datasheet, AAA Biotech cannot be held responsible for any oversights or imprecisions. AAA Biotech reserves the right to adjust any aspect of this datasheet at any time and without notice. It is the responsibility of the customer to inform AAA Biotech of any product performance issues observed or experienced within 30 days of receipt of said product. To see additional details on this or any of our other policies, please see our Terms & Conditions page.Item has been added to Shopping Cart
If you are ready to order, navigate to Shopping Cart and get ready to checkout.
