Mouse anti-Human Interferon Alpha 5 (IFNa5) Monoclonal Antibody | anti-IFNa5 antibody
Monoclonal Antibody to Interferon Alpha 5 (IFNa5)
Gene Names
IFNA5; INA5; INFA5; leIF G; IFN-alphaG; IFN-alpha-5
Reactivity
Human
Applications
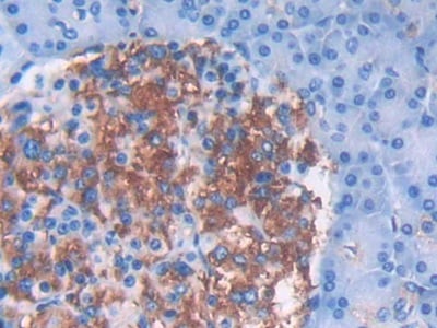
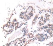
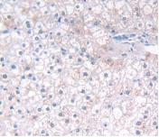
Immunoprecipitation, Immunocytochemistry, Immunohistochemistry, Western Blot
Purity
Protein A + Protein G affinity chromatography
Synonyms
Interferon Alpha 5 (IFNa5), Antibody; Monoclonal Antibody to Interferon Alpha 5 (IFNa5); INFA5; LeIF G; Interferon alpha-G; Interferon alpha-61; anti-IFNa5 antibody
Host
Mouse
Reactivity
Human
Clonality
Monoclonal
Isotype
IgG2b Kappa
Clone Number
C2
Specificity
The antibody is a mouse monoclonal antibody raised against IFNa5. It has been selected for its ability to recognize IFNa5 in immunohistochemical staining and western blotting.
Purity/Purification
Protein A + Protein G affinity chromatography
Form/Format
Liquid
Concentration
1mg/mL (varies by lot)
Applicable Applications for anti-IFNa5 antibody
IP (Immunoprecipitation), ICC (Immunocytochemistry), IHC (Immunohistochemistry), WB (Western Blot)
Immunogen
Recombinant Interferon Alpha 5 (IFNa5) (Leu22~Glu189)
Cross Reactivity
Human
Buffer Formulation
PBS, pH7.4, containing 0.02% NaN3, 50% glycerol.
Label
None
Conjugated Antibody
The Cy3 conjugated antibody version of this item is also available as
Preparation and Storage
Store at 4 degree C for frequent use. Stored at -20 degree C in a manual defrost freezer for one year without detectable loss of activity. Avoid repeated freeze-thaw cycles.
The thermal stability is described by the loss rate. The loss rate was determined by accelerated thermal degradation test, that is, incubate the protein at 37 degree C for 48h, and no obvious degradation and precipitation were observed. The loss rate is less than 5% within the expiration date under appropriate storage condition.
The thermal stability is described by the loss rate. The loss rate was determined by accelerated thermal degradation test, that is, incubate the protein at 37 degree C for 48h, and no obvious degradation and precipitation were observed. The loss rate is less than 5% within the expiration date under appropriate storage condition.
NCBI and Uniprot Product Information
NCBI GI #
NCBI GeneID
NCBI Accession #
NCBI GenBank Nucleotide #
Molecular Weight
21,942 Da
NCBI Official Full Name
interferon alpha-5
NCBI Official Synonym Full Names
interferon alpha 5
NCBI Official Symbol
IFNA5
NCBI Official Synonym Symbols
INA5; INFA5; leIF G; IFN-alphaG; IFN-alpha-5
NCBI Protein Information
interferon alpha-5
UniProt Protein Name
Interferon alpha-5
UniProt Gene Name
IFNA5
UniProt Synonym Gene Names
IFN-alpha-5; LeIF G
Customer Reviews
Loading reviews...
Share Your Experience
Similar Products
Product Notes
The IFNa5 ifna5 (Catalog #AAA146573) is an Antibody produced from Mouse and is intended for research purposes only. The product is available for immediate purchase. The Monoclonal Antibody to Interferon Alpha 5 (IFNa5) reacts with Human and may cross-react with other species as described in the data sheet. AAA Biotech's Interferon Alpha 5 (IFNa5) can be used in a range of immunoassay formats including, but not limited to, IP (Immunoprecipitation), ICC (Immunocytochemistry), IHC (Immunohistochemistry), WB (Western Blot). Researchers should empirically determine the suitability of the IFNa5 ifna5 for an application not listed in the data sheet. Researchers commonly develop new applications and it is an integral, important part of the investigative research process. It is sometimes possible for the material contained within the vial of "Interferon Alpha 5 (IFNa5), Monoclonal Antibody" to become dispersed throughout the inside of the vial, particularly around the seal of said vial, during shipment and storage. We always suggest centrifuging these vials to consolidate all of the liquid away from the lid and to the bottom of the vial prior to opening. Please be advised that certain products may require dry ice for shipping and that, if this is the case, an additional dry ice fee may also be required.Precautions
All products in the AAA Biotech catalog are strictly for research-use only, and are absolutely not suitable for use in any sort of medical, therapeutic, prophylactic, in-vivo, or diagnostic capacity. By purchasing a product from AAA Biotech, you are explicitly certifying that said products will be properly tested and used in line with industry standard. AAA Biotech and its authorized distribution partners reserve the right to refuse to fulfill any order if we have any indication that a purchaser may be intending to use a product outside of our accepted criteria.Disclaimer
Though we do strive to guarantee the information represented in this datasheet, AAA Biotech cannot be held responsible for any oversights or imprecisions. AAA Biotech reserves the right to adjust any aspect of this datasheet at any time and without notice. It is the responsibility of the customer to inform AAA Biotech of any product performance issues observed or experienced within 30 days of receipt of said product. To see additional details on this or any of our other policies, please see our Terms & Conditions page.Item has been added to Shopping Cart
If you are ready to order, navigate to Shopping Cart and get ready to checkout.
