Mouse anti-Human, Pig Interleukin 1 Receptor Antagonist Monoclonal Antibody | anti-IL1RA antibody
Monoclonal Antibody to Interleukin 1 Receptor Antagonist (IL1RA)
Gene Names
IL1RN; DIRA; IRAP; IL1F3; IL1RA; MVCD4; IL-1RN; IL-1ra; IL-1ra3; ICIL-1RA
Reactivity
Human, Pig
Applications
ELISA, Immunohistochemistry, Immunocytochemistry, Western Blot
Purity
Affinity Chromatography
Synonyms
Interleukin 1 Receptor Antagonist, Antibody; Monoclonal Antibody to Interleukin 1 Receptor Antagonist (IL1RA); anti-IL1RA antibody
Host
Mouse
Reactivity
Human, Pig
Clonality
Monoclonal
Isotype
IgG2a Kappa
Clone Number
C3
Specificity
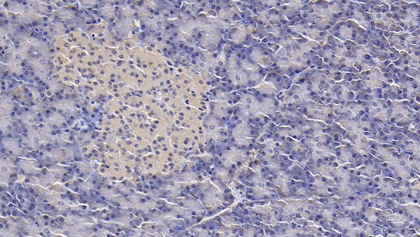
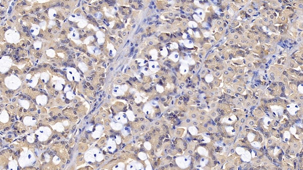
The antibody is a mouse monoclonal antibody raised against IL1RA. It has beenselected for its ability to recognize IL1RA in immunohistochemical staining andwestern blotting.
Purity/Purification
Affinity Chromatography
Concentration
1mg/ml (varies by lot)
Sequence Length
159
Applicable Applications for anti-IL1RA antibody
ELISA, IHC (Immunohistochemistry), ICC (Immunocytochemistry), WB (Western Blot)
Organism Species
Homo sapiens (Human)
Cross Reactivity
Human
Conjugate
No Conjugate
Immunogen
Recombinant IL1RA (Arg26~Glu177) expressed in E Coli.
Preparation and Storage
Store at 4 degree C for frequent use. Stored at -20 degree C to -80 degree C in a manual defrost freezer for one year without detectable loss of activity. Avoid repeated freeze-thaw cycles.
NCBI and Uniprot Product Information
NCBI GI #
NCBI GeneID
Molecular Weight
16,142 Da
NCBI Official Full Name
Interleukin 1 receptor antagonist
NCBI Official Synonym Full Names
interleukin 1 receptor antagonist
NCBI Official Symbol
IL1RN
NCBI Official Synonym Symbols
DIRA; IRAP; IL1F3; IL1RA; MVCD4; IL-1RN; IL-1ra; IL-1ra3; ICIL-1RA
NCBI Protein Information
interleukin-1 receptor antagonist protein
UniProt Protein Name
Interleukin-1 receptor antagonist protein
UniProt Gene Name
IL1RN
UniProt Synonym Gene Names
IL1F3; IL1RA; IL-1RN; IL-1ra; IRAP
UniProt Entry Name
IL1RA_HUMAN
Customer Reviews
Loading reviews...
Share Your Experience
Similar Products
Product Notes
The IL1RA il1rn (Catalog #AAA141282) is an Antibody produced from Mouse and is intended for research purposes only. The product is available for immediate purchase. The Monoclonal Antibody to Interleukin 1 Receptor Antagonist (IL1RA) reacts with Human, Pig and may cross-react with other species as described in the data sheet. AAA Biotech's Interleukin 1 Receptor Antagonist can be used in a range of immunoassay formats including, but not limited to, ELISA, IHC (Immunohistochemistry), ICC (Immunocytochemistry), WB (Western Blot). Researchers should empirically determine the suitability of the IL1RA il1rn for an application not listed in the data sheet. Researchers commonly develop new applications and it is an integral, important part of the investigative research process. It is sometimes possible for the material contained within the vial of "Interleukin 1 Receptor Antagonist, Monoclonal Antibody" to become dispersed throughout the inside of the vial, particularly around the seal of said vial, during shipment and storage. We always suggest centrifuging these vials to consolidate all of the liquid away from the lid and to the bottom of the vial prior to opening. Please be advised that certain products may require dry ice for shipping and that, if this is the case, an additional dry ice fee may also be required.Precautions
All products in the AAA Biotech catalog are strictly for research-use only, and are absolutely not suitable for use in any sort of medical, therapeutic, prophylactic, in-vivo, or diagnostic capacity. By purchasing a product from AAA Biotech, you are explicitly certifying that said products will be properly tested and used in line with industry standard. AAA Biotech and its authorized distribution partners reserve the right to refuse to fulfill any order if we have any indication that a purchaser may be intending to use a product outside of our accepted criteria.Disclaimer
Though we do strive to guarantee the information represented in this datasheet, AAA Biotech cannot be held responsible for any oversights or imprecisions. AAA Biotech reserves the right to adjust any aspect of this datasheet at any time and without notice. It is the responsibility of the customer to inform AAA Biotech of any product performance issues observed or experienced within 30 days of receipt of said product. To see additional details on this or any of our other policies, please see our Terms & Conditions page.Item has been added to Shopping Cart
If you are ready to order, navigate to Shopping Cart and get ready to checkout.
