Mouse anti-Rat Interleukin 24 Monoclonal Antibody | anti-IL24 antibody
Interleukin 24 (IL24) Monoclonal Antibody
Gene Names
Il24; Mda7; Mda-7
Reactivity
Rat
Applications
ELISA, Immunohistochemistry, Immunocytochemistry, Western Blot
Purity
Affinity Chromatography
Synonyms
Interleukin 24, Antibody; Interleukin 24 (IL24) Monoclonal Antibody; C49A; FISP; IL10B; MDA7; Mob-5; ST16; Mda-7; Melanoma Differentiation Association Protein 7; Suppression Of Tumorigenicity 16; anti-IL24 antibody
Host
Mouse
Reactivity
Rat
Clonality
Monoclonal
Isotype
IgG2b Kappa
Clone Number
C1
Specificity
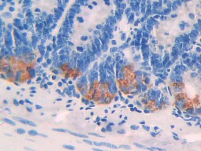
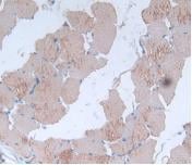
The antibody is a mouse monoclonal antibody raised against IL24. It has been selected for its ability to recognize IL24 in immunohistochemical staining and western blotting.
Purity/Purification
Affinity Chromatography
Form/Format
Supplied as solution form in PBS, pH7.4 containing 0.02% NaN3, 50% glycerol.
Concentration
1mg/ml (varies by lot)
Sequence Length
207
Applicable Applications for anti-IL24 antibody
ELISA, IHC (Immunohistochemistry), ICC (Immunocytochemistry), WB (Western Blot)
Immunoglobulin Type
IgG
Conjugate
No Conjugate
Cross Reactivity
Rat
Organism Species
Rat
Conjugated Antibody
The APC conjugated antibody version of this item is also available as
Preparation and Storage
Store at 4 degree C for frequent use. Stored at -20 degree C to -80 degree C in a manual defrost freezer for one year without detectable loss of activity. Avoid repeated freeze-thaw cycles.
NCBI and Uniprot Product Information
NCBI GI #
NCBI GeneID
NCBI Accession #
NCBI GenBank Nucleotide #
UniProt Accession #
Molecular Weight
21,096 Da
NCBI Official Full Name
interleukin-24
NCBI Official Synonym Full Names
interleukin 24
NCBI Official Symbol
Il24
NCBI Official Synonym Symbols
Mda7; Mda-7
NCBI Protein Information
interleukin-24
UniProt Protein Name
Interleukin-24
UniProt Gene Name
Il24
UniProt Synonym Gene Names
Mob5; IL-24
Customer Reviews
Loading reviews...
Share Your Experience
Similar Products
Product Notes
The IL24 il24 (Catalog #AAA144632) is an Antibody produced from Mouse and is intended for research purposes only. The product is available for immediate purchase. The Interleukin 24 (IL24) Monoclonal Antibody reacts with Rat and may cross-react with other species as described in the data sheet. AAA Biotech's Interleukin 24 can be used in a range of immunoassay formats including, but not limited to, ELISA, IHC (Immunohistochemistry), ICC (Immunocytochemistry), WB (Western Blot). Researchers should empirically determine the suitability of the IL24 il24 for an application not listed in the data sheet. Researchers commonly develop new applications and it is an integral, important part of the investigative research process. It is sometimes possible for the material contained within the vial of "Interleukin 24, Monoclonal Antibody" to become dispersed throughout the inside of the vial, particularly around the seal of said vial, during shipment and storage. We always suggest centrifuging these vials to consolidate all of the liquid away from the lid and to the bottom of the vial prior to opening. Please be advised that certain products may require dry ice for shipping and that, if this is the case, an additional dry ice fee may also be required.Precautions
All products in the AAA Biotech catalog are strictly for research-use only, and are absolutely not suitable for use in any sort of medical, therapeutic, prophylactic, in-vivo, or diagnostic capacity. By purchasing a product from AAA Biotech, you are explicitly certifying that said products will be properly tested and used in line with industry standard. AAA Biotech and its authorized distribution partners reserve the right to refuse to fulfill any order if we have any indication that a purchaser may be intending to use a product outside of our accepted criteria.Disclaimer
Though we do strive to guarantee the information represented in this datasheet, AAA Biotech cannot be held responsible for any oversights or imprecisions. AAA Biotech reserves the right to adjust any aspect of this datasheet at any time and without notice. It is the responsibility of the customer to inform AAA Biotech of any product performance issues observed or experienced within 30 days of receipt of said product. To see additional details on this or any of our other policies, please see our Terms & Conditions page.Item has been added to Shopping Cart
If you are ready to order, navigate to Shopping Cart and get ready to checkout.
