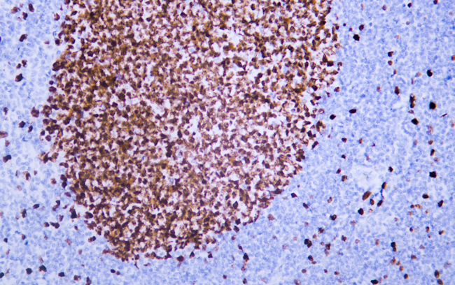
Mouse anti-Human Ki-67 Monoclonal Antibody | anti-Ki-67 antibody
Ki-67 (ABT001) Antibody
Gene Names
MKI67; KIA
Reactivity
Human
Applications
Immunohistochemistry, Western Blot, Immunofluorescence, ELISA
Purity
Protein G
Synonyms
Ki-67, Antibody; Ki-67 (ABT001) Antibody; Ki 67; Antigen identified by monoclonal Ki 67?Antigen identified by monoclonal Ki-67?Antigen KI-67?Antigen KI67?Antigen Ki67?KI67_HUMAN?KIA?Marker of prolifeRation Ki-67?MIB 1?MIB?MKI67?PPP1R105?ProlifeRation marker protein Ki-67?ProlifeRation related Ki 67 antigen?Protein phosphatase 1 regulatory subunit 105?RP11-380J17.2; anti-Ki-67 antibody
Host
Mouse
Reactivity
Human
Clonality
Monoclonal
Isotype
Mouse IgG2b, kappa
Clone Number
ABT001
Specificity
The antibody can specifically recognize human Ki-67 protein.
Purity/Purification
Protein G
Form/Format
PBS, 50% glycerol, 0.05% Proclin 300, 0.05%BSA
Applicable Applications for anti-Ki-67 antibody
IHC (Immunohistochemistry), WB (Western Blot), IF (Immunofluorescence), ELISA
Application Notes
IHC: 1:200-1000
WB: 1:500-2000
IF: 1:100-500
ELISA: 1:1000-5000
WB: 1:500-2000
IF: 1:100-500
ELISA: 1:1000-5000
Preparation and Storage
Store at -20 degree C/1 year
Product Categories/Family for anti-Ki-67 antibody
NCBI and Uniprot Product Information
NCBI GI #
NCBI GeneID
NCBI Accession #
NCBI GenBank Nucleotide #
Molecular Weight
358,694 Da
NCBI Official Full Name
antigen KI-67 isoform 2
NCBI Official Synonym Full Names
antigen identified by monoclonal antibody Ki-67
NCBI Official Symbol
MKI67
NCBI Official Synonym Symbols
KIA
NCBI Protein Information
antigen KI-67; proliferation-related Ki-67 antigen
UniProt Protein Name
Antigen KI-67
UniProt Gene Name
MKI67
UniProt Entry Name
KI67_HUMAN
Customer Reviews
Loading reviews...
Share Your Experience
Similar Products
Product Notes
The Ki-67 mki67 (Catalog #AAA30902) is an Antibody produced from Mouse and is intended for research purposes only. The product is available for immediate purchase. The Ki-67 (ABT001) Antibody reacts with Human and may cross-react with other species as described in the data sheet. AAA Biotech's Ki-67 can be used in a range of immunoassay formats including, but not limited to, IHC (Immunohistochemistry), WB (Western Blot), IF (Immunofluorescence), ELISA. IHC: 1:200-1000 WB: 1:500-2000 IF: 1:100-500 ELISA: 1:1000-5000. Researchers should empirically determine the suitability of the Ki-67 mki67 for an application not listed in the data sheet. Researchers commonly develop new applications and it is an integral, important part of the investigative research process. It is sometimes possible for the material contained within the vial of "Ki-67, Monoclonal Antibody" to become dispersed throughout the inside of the vial, particularly around the seal of said vial, during shipment and storage. We always suggest centrifuging these vials to consolidate all of the liquid away from the lid and to the bottom of the vial prior to opening. Please be advised that certain products may require dry ice for shipping and that, if this is the case, an additional dry ice fee may also be required.Precautions
All products in the AAA Biotech catalog are strictly for research-use only, and are absolutely not suitable for use in any sort of medical, therapeutic, prophylactic, in-vivo, or diagnostic capacity. By purchasing a product from AAA Biotech, you are explicitly certifying that said products will be properly tested and used in line with industry standard. AAA Biotech and its authorized distribution partners reserve the right to refuse to fulfill any order if we have any indication that a purchaser may be intending to use a product outside of our accepted criteria.Disclaimer
Though we do strive to guarantee the information represented in this datasheet, AAA Biotech cannot be held responsible for any oversights or imprecisions. AAA Biotech reserves the right to adjust any aspect of this datasheet at any time and without notice. It is the responsibility of the customer to inform AAA Biotech of any product performance issues observed or experienced within 30 days of receipt of said product. To see additional details on this or any of our other policies, please see our Terms & Conditions page.Item has been added to Shopping Cart
If you are ready to order, navigate to Shopping Cart and get ready to checkout.
