Host
Mouse
Reactivity
Human
Clonality
Monoclonal
Isotype
Mouse IgG
Form/Format
Affinity Purified antibody
Liquid with PBS buffer, pH7.4 with 0.02% Sodium Azide
Liquid with PBS buffer, pH7.4 with 0.02% Sodium Azide
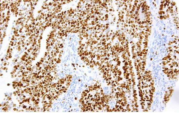
Applicable Applications for anti-Ki67 antibody
IHC (Immunohistochemistry), WB (Western Blot)
Immunogen
Recombinant Human Ki67
Preparation and Storage
The product can be stored undiluted for several weeks at 4 degree C. Dilute only immediately before use. Aliquot and store at -20 degree C for long term. Avoid freeze thaw-cycles.
Related Product Information for anti-Ki67 antibody
Ki67 Antibody can be used to detect the presence, absence, or level of expression of Ki67. As a nuclear, non-histone protein that is expressed only during active phases of the cell cycle (G1, S, G2 and M), but not in the resting phases (G0 and G1 early phase); Ki67 is linked to cell proliferation. It is used as a marker to grade tumor proliferation rates.
NCBI and Uniprot Product Information
NCBI GI #
NCBI GeneID
NCBI Accession #
NCBI GenBank Nucleotide #
Molecular Weight
358,694 Da
NCBI Official Full Name
antigen KI-67 isoform 2
NCBI Official Synonym Full Names
antigen identified by monoclonal antibody Ki-67
NCBI Official Symbol
MKI67
NCBI Official Synonym Symbols
KIA
NCBI Protein Information
antigen KI-67; proliferation-related Ki-67 antigen
UniProt Protein Name
Antigen KI-67
UniProt Gene Name
MKI67
UniProt Entry Name
KI67_HUMAN
Similar Products
Product Notes
The Ki67 mki67 (Catalog #AAA76641) is an Antibody produced from Mouse and is intended for research purposes only. The product is available for immediate purchase. The Ki67 reacts with Human and may cross-react with other species as described in the data sheet. AAA Biotech's Ki67 can be used in a range of immunoassay formats including, but not limited to, IHC (Immunohistochemistry), WB (Western Blot). Researchers should empirically determine the suitability of the Ki67 mki67 for an application not listed in the data sheet. Researchers commonly develop new applications and it is an integral, important part of the investigative research process. It is sometimes possible for the material contained within the vial of "Ki67, Monoclonal Antibody" to become dispersed throughout the inside of the vial, particularly around the seal of said vial, during shipment and storage. We always suggest centrifuging these vials to consolidate all of the liquid away from the lid and to the bottom of the vial prior to opening. Please be advised that certain products may require dry ice for shipping and that, if this is the case, an additional dry ice fee may also be required.Precautions
All products in the AAA Biotech catalog are strictly for research-use only, and are absolutely not suitable for use in any sort of medical, therapeutic, prophylactic, in-vivo, or diagnostic capacity. By purchasing a product from AAA Biotech, you are explicitly certifying that said products will be properly tested and used in line with industry standard. AAA Biotech and its authorized distribution partners reserve the right to refuse to fulfill any order if we have any indication that a purchaser may be intending to use a product outside of our accepted criteria.Disclaimer
Though we do strive to guarantee the information represented in this datasheet, AAA Biotech cannot be held responsible for any oversights or imprecisions. AAA Biotech reserves the right to adjust any aspect of this datasheet at any time and without notice. It is the responsibility of the customer to inform AAA Biotech of any product performance issues observed or experienced within 30 days of receipt of said product. To see additional details on this or any of our other policies, please see our Terms & Conditions page.Item has been added to Shopping Cart
If you are ready to order, navigate to Shopping Cart and get ready to checkout.
