Host
Rat
Clonality
Monoclonal
Isotype
IgG1
Specificity
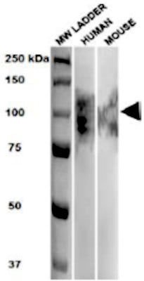
This antibody recognizes human, mouse, and rabbit LAMP2 (~100-110 kDa).
Purity/Purification
Purified by Protein G affinity chromatography
Form/Format
Clear Liquid; 100ug in PBS, pH 7.4, 0.09% sodium azide, 50% glycerol. Preservative: 50% glycerol, 0.09% NaN3
Applicable Applications for anti-LAMP2 antibody
IB (Immunoblot), IF (Immunofluorescence)
Immunogen
Gluteraldehyde-fixed mouse liver lysosomes
Dilutions Instructions
Dilute in PBS or medium which is identical to that used in the assay system.
Preparation and Storage
Store at -20°C. Avoid repeated freezing and thawing.
Related Product Information for anti-LAMP2 antibody
Lysosome-associated membrane proteins (LAMP1 and LAMP2) are major constituents of the lysosomal membrane. These two proteins have closely related structures with 37% sequence homology. Both are transmembrane glycoproteins localized primarily in lysosomes and late endosomes. LAMP2 has also been detected at the plasma membrane of cells undergoing differentiation and activation and in cells that secrete lysosomal hydrolases. In addition, it has been suggested that LAMP2 is involved in cell-cell or cell-extracellular matrix interactions. Cell surface LAMP1 and LAMP2 promote adhesion of human peripheral blood mononuclear cells (PBMC) to vascular endothelium which suggests that the LAMP proteins are involved in adhesion of PBMC to sites of inflammation. Studies with LAMP2-deficient mice indicate that involvement of LAMP2 is critical in the conversion of early autophagic vacuoles to vacuoles which rapidly degrade their contents. Defects in LAMP2 are associated with Danon disease.
Product Categories/Family for anti-LAMP2 antibody
References
Granger, BL et al. 1990 J Biol Chem 265: 12036-12043
NCBI and Uniprot Product Information
NCBI GeneID
Customer Reviews
Loading reviews...
Share Your Experience
Similar Products
Product Notes
The LAMP2 (Catalog #AAA47740) is an Antibody produced from Rat and is intended for research purposes only. The product is available for immediate purchase. AAA Biotech's LAMP2 can be used in a range of immunoassay formats including, but not limited to, IB (Immunoblot), IF (Immunofluorescence). Researchers should empirically determine the suitability of the LAMP2 for an application not listed in the data sheet. Researchers commonly develop new applications and it is an integral, important part of the investigative research process. It is sometimes possible for the material contained within the vial of "LAMP2, Monoclonal Antibody" to become dispersed throughout the inside of the vial, particularly around the seal of said vial, during shipment and storage. We always suggest centrifuging these vials to consolidate all of the liquid away from the lid and to the bottom of the vial prior to opening. Please be advised that certain products may require dry ice for shipping and that, if this is the case, an additional dry ice fee may also be required.Precautions
All products in the AAA Biotech catalog are strictly for research-use only, and are absolutely not suitable for use in any sort of medical, therapeutic, prophylactic, in-vivo, or diagnostic capacity. By purchasing a product from AAA Biotech, you are explicitly certifying that said products will be properly tested and used in line with industry standard. AAA Biotech and its authorized distribution partners reserve the right to refuse to fulfill any order if we have any indication that a purchaser may be intending to use a product outside of our accepted criteria.Disclaimer
Though we do strive to guarantee the information represented in this datasheet, AAA Biotech cannot be held responsible for any oversights or imprecisions. AAA Biotech reserves the right to adjust any aspect of this datasheet at any time and without notice. It is the responsibility of the customer to inform AAA Biotech of any product performance issues observed or experienced within 30 days of receipt of said product. To see additional details on this or any of our other policies, please see our Terms & Conditions page.Item has been added to Shopping Cart
If you are ready to order, navigate to Shopping Cart and get ready to checkout.
