Mouse anti-Human Mammaglobin (SCGB2A2) Monoclonal Antibody | anti-SCGB2A2 antibody
Mammaglobin (SCGB2A2) (Breast Cancer Marker) Recombinant Mouse Monoclonal Antibody [Clone rMGB/4299]
Gene Names
SCGB2A2; MGB1; UGB2
Reactivity
Human
Applications
Immunohistochemistry
Synonyms
Mammaglobin (SCGB2A2), Antibody; Mammaglobin (SCGB2A2) (Breast Cancer Marker) Recombinant Mouse Monoclonal Antibody [Clone rMGB/4299]; Mammaglobin (SCGB2A2) (Breast Cancer Marker); Mammaglobin-1 (MGB1); Mammaglobin-A; Secretoglobin family 2A member 2 (SCGB2A2); SG2A2; UGB2; anti-SCGB2A2 antibody
Host
Mouse
Reactivity
Human
Clonality
Monoclonal
Isotype
Mouse/IgG2a, kappa
Clone Number
rMGB/4299
Form/Format
200ug/ml of Ab purified from Bioreactor Concentrate by Protein A/G. Prepared in 10mM PBS with 0. 05% BSA & 0. 05% azide. Also available WITHOUT BSA & azide at 1.0mg/ml.
Concentration
Purified Ab with BSA and Azide at 200ug/ml
OR
Purified Ab WITHOUT BSA and Azide at 1.0mg/ml (varies by lot)
OR
Purified Ab WITHOUT BSA and Azide at 1.0mg/ml (varies by lot)
Applicable Applications for anti-SCGB2A2 antibody
IHC (Immunohistochemistry)
Antibody Type
Recombinant Antibody
Immunogen
Stable CHO cell line producing antibody against Mammaglobin.
Cellular Localization
Cytoplasmic, cell surface and nuclear
Positive Control
HeLa, MCF-7 or T47D cells. Human breast carcinoma.
Hu-chromosome Location
11q12.3
Unigene
46452
Preparation and Storage
Antibody with azide: store at 2 to 8 degree C
Antibody without azide: store at -20 to -80 degree C
Antibody is stable for 24 months. Non-hazardous. No MSDS required.
Antibody without azide: store at -20 to -80 degree C
Antibody is stable for 24 months. Non-hazardous. No MSDS required.
Related Product Information for anti-SCGB2A2 antibody
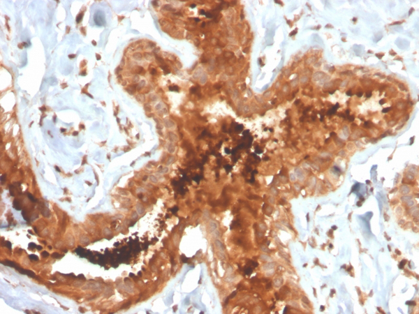
Mammaglobin is a 93 amino acid glycoprotein with homology to other secretoglobin-uteroglobin family members. It was originally identified as a breast cancer restricted biomarker by differential screening. Mammaglobin related to secretoglobin family that includes human uteroglobin and lipophilin. Mammaglobin antibody stains cytoplasm of normal breast epithelial cells as well as primary and metastatic breast carcinomas. Mammaglobin expression is absent in prostate, kidney, colon, rectum, small intestine, stomach, pancreas, lung, and thyroid tissues. Mammaglobin may be used as part of an immunohistochemical panel for determination of metastatic breast carcinoma and tumor of unknown primary origin.
NCBI and Uniprot Product Information
NCBI GI #
NCBI GeneID
NCBI Accession #
NCBI GenBank Nucleotide #
Molecular Weight
10,499 Da
NCBI Official Full Name
mammaglobin-A
NCBI Official Synonym Full Names
secretoglobin, family 2A, member 2
NCBI Official Symbol
SCGB2A2
NCBI Official Synonym Symbols
MGB1; UGB2
NCBI Protein Information
mammaglobin-A; mammaglobin 1; mammaglobin A; mammaglobin-1
UniProt Protein Name
Mammaglobin-A
UniProt Gene Name
SCGB2A2
UniProt Synonym Gene Names
MGB1; UGB2
UniProt Entry Name
SG2A2_HUMAN
Customer Reviews
Loading reviews...
Share Your Experience
Similar Products
Product Notes
The SCGB2A2 scgb2a2 (Catalog #AAA215798) is an Antibody produced from Mouse and is intended for research purposes only. The product is available for immediate purchase. The Mammaglobin (SCGB2A2) (Breast Cancer Marker) Recombinant Mouse Monoclonal Antibody [Clone rMGB/4299] reacts with Human and may cross-react with other species as described in the data sheet. AAA Biotech's Mammaglobin (SCGB2A2) can be used in a range of immunoassay formats including, but not limited to, IHC (Immunohistochemistry). Researchers should empirically determine the suitability of the SCGB2A2 scgb2a2 for an application not listed in the data sheet. Researchers commonly develop new applications and it is an integral, important part of the investigative research process. It is sometimes possible for the material contained within the vial of "Mammaglobin (SCGB2A2), Monoclonal Antibody" to become dispersed throughout the inside of the vial, particularly around the seal of said vial, during shipment and storage. We always suggest centrifuging these vials to consolidate all of the liquid away from the lid and to the bottom of the vial prior to opening. Please be advised that certain products may require dry ice for shipping and that, if this is the case, an additional dry ice fee may also be required.Precautions
All products in the AAA Biotech catalog are strictly for research-use only, and are absolutely not suitable for use in any sort of medical, therapeutic, prophylactic, in-vivo, or diagnostic capacity. By purchasing a product from AAA Biotech, you are explicitly certifying that said products will be properly tested and used in line with industry standard. AAA Biotech and its authorized distribution partners reserve the right to refuse to fulfill any order if we have any indication that a purchaser may be intending to use a product outside of our accepted criteria.Disclaimer
Though we do strive to guarantee the information represented in this datasheet, AAA Biotech cannot be held responsible for any oversights or imprecisions. AAA Biotech reserves the right to adjust any aspect of this datasheet at any time and without notice. It is the responsibility of the customer to inform AAA Biotech of any product performance issues observed or experienced within 30 days of receipt of said product. To see additional details on this or any of our other policies, please see our Terms & Conditions page.Item has been added to Shopping Cart
If you are ready to order, navigate to Shopping Cart and get ready to checkout.
