Mouse anti-Human Mesothelin Monoclonal Antibody | anti-MSLN antibody
Mesothelin (Mesothelial Marker) Mouse Monoclonal Antibody [Clone MSLN/3387]
Gene Names
MSLN; MPF; SMRP
Reactivity
Human
Applications
Immunohistochemistry
Synonyms
Mesothelin, Antibody; Mesothelin (Mesothelial Marker) Mouse Monoclonal Antibody [Clone MSLN/3387]; Mesothelin (Mesothelial Marker); CAK1; Megakaryocyte potentiating factor; Mesothelin; MSLN; SMR; SMRP; anti-MSLN antibody
Host
Mouse
Reactivity
Human
Clonality
Monoclonal
Isotype
Mouse/IgG1, kappa
Clone Number
MSLN/3387
Form/Format
200ug/ml of Ab purified from Bioreactor Concentrate by Protein A/G. Prepared in 10mM PBS with 0. 05% BSA & 0. 05% azide. Also available WITHOUT BSA & azide at 1.0mg/ml.
Concentration
Purified Ab with BSA and Azide at 200ug/ml
OR
Purified Ab WITHOUT BSA and Azide at 1.0mg/ml (varies by lot)
OR
Purified Ab WITHOUT BSA and Azide at 1.0mg/ml (varies by lot)
Applicable Applications for anti-MSLN antibody
IHC (Immunohistochemistry)
Immunogen
Recombinant fragment (around aa 273-407) of human Mesothelin (MSLN) protein (exact sequence is proprietary)
Cellular Localization
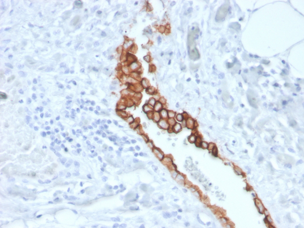
Membranous for mesotheliomas, Cytoplasmic for carcinomas
Positive Control
CAPAN-2 or HeLa cells. Lung Mesothelioma.
Hu-chromosome Location
16p13.3
Unigene
408488
Preparation and Storage
Antibody with azide: store at 2 to 8 degree C
Antibody without azide: store at -20 to -80 degree C
Antibody is stable for 24 months. Non-hazardous. No MSDS required.
Antibody without azide: store at -20 to -80 degree C
Antibody is stable for 24 months. Non-hazardous. No MSDS required.
Related Product Information for anti-MSLN antibody
Mesothelin is a 40kDa glycosyl-phosphatidylinositol-anchored glycoprotein cleaved from a 69kDa precursor protein. Mesothelin immunoreactivity is high in cancers of the ovary (serous papillary, endometrioid and undifferentiated) and pancreas, with less frequent staining seen in adenocarcinomas of the endometrium, lung and stomach/esophagus. Mesothelin is one of the most sensitive markers for mesothelioma.
NCBI and Uniprot Product Information
NCBI GI #
NCBI GeneID
NCBI Accession #
NCBI GenBank Nucleotide #
Molecular Weight
68,986 Da
NCBI Official Full Name
mesothelin isoform 1 preproprotein
NCBI Official Synonym Full Names
mesothelin
NCBI Official Symbol
MSLN
NCBI Official Synonym Symbols
MPF; SMRP
NCBI Protein Information
mesothelin; CAK1 antigen; megakaryocyte potentiating factor; soluble MPF mesothelin related protein; pre-pro-megakaryocyte-potentiating factor
UniProt Protein Name
Mesothelin
UniProt Gene Name
MSLN
UniProt Synonym Gene Names
MPF; MPF
UniProt Entry Name
MSLN_HUMAN
Customer Reviews
Loading reviews...
Share Your Experience
Similar Products
Product Notes
The MSLN msln (Catalog #AAA215513) is an Antibody produced from Mouse and is intended for research purposes only. The product is available for immediate purchase. The Mesothelin (Mesothelial Marker) Mouse Monoclonal Antibody [Clone MSLN/3387] reacts with Human and may cross-react with other species as described in the data sheet. AAA Biotech's Mesothelin can be used in a range of immunoassay formats including, but not limited to, IHC (Immunohistochemistry). Researchers should empirically determine the suitability of the MSLN msln for an application not listed in the data sheet. Researchers commonly develop new applications and it is an integral, important part of the investigative research process. It is sometimes possible for the material contained within the vial of "Mesothelin, Monoclonal Antibody" to become dispersed throughout the inside of the vial, particularly around the seal of said vial, during shipment and storage. We always suggest centrifuging these vials to consolidate all of the liquid away from the lid and to the bottom of the vial prior to opening. Please be advised that certain products may require dry ice for shipping and that, if this is the case, an additional dry ice fee may also be required.Precautions
All products in the AAA Biotech catalog are strictly for research-use only, and are absolutely not suitable for use in any sort of medical, therapeutic, prophylactic, in-vivo, or diagnostic capacity. By purchasing a product from AAA Biotech, you are explicitly certifying that said products will be properly tested and used in line with industry standard. AAA Biotech and its authorized distribution partners reserve the right to refuse to fulfill any order if we have any indication that a purchaser may be intending to use a product outside of our accepted criteria.Disclaimer
Though we do strive to guarantee the information represented in this datasheet, AAA Biotech cannot be held responsible for any oversights or imprecisions. AAA Biotech reserves the right to adjust any aspect of this datasheet at any time and without notice. It is the responsibility of the customer to inform AAA Biotech of any product performance issues observed or experienced within 30 days of receipt of said product. To see additional details on this or any of our other policies, please see our Terms & Conditions page.Item has been added to Shopping Cart
If you are ready to order, navigate to Shopping Cart and get ready to checkout.
