Mouse Mitochondria Monoclonal Antibody
Mitochondria (Marker for Human Cells) Mouse Monoclonal Antibody
Reactivity
Human.Shows broad species reactivity including insects or bacteria
Applications
Immunohistochemistry, Western Blot, Immunofluorescence, Flow Cytometry, Functional Assay
Synonyms
Mitochondria, Antibody; Mitochondria (Marker for Human Cells) Mouse Monoclonal Antibody; anti-Mitochondria antibody
Host
Mouse
Reactivity
Human.
Shows broad species reactivity including insects or bacteria
Shows broad species reactivity including insects or bacteria
Clonality
Monoclonal
Isotype
IgG1, kappa
Clone Number
MTC754
Specificity
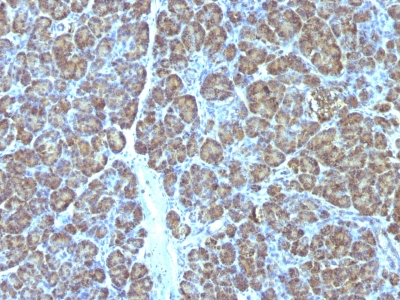
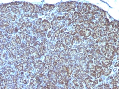
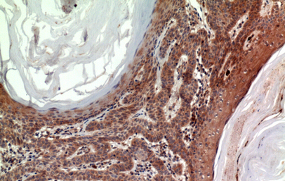
This MAb recognizes a 60kDa antigen associated with the mitochondria in cells. It is a part of a new panel of reagents, which recognizes subcellular organelles or compartments of cells. These markers may be useful in identification of these organelles in cells, tissues, and biochemical preparations. It recognizes an antigen associated with the mitochondria in cells from a wide variety of animals including insects and bacteria. It can be used to stain the mitochondria in cell or tissue preparations and can be used as a mitochondrial marker in subcellular fractions. It produces a spaghetti-like pattern in normal and malignant cells and may be used to stain mitochondria of cells in frozen tissue sections. It can also be used with paraformaldehyde fixed frozen tissue or cell preparations.
Form/Format
200ug/ml of Ab purified from Bioreactor Concentrate by Protein A/G. Prepared in 10mM PBS with 0.05% BSA & 0.05% azide. Also available WITHOUT BSA at 1.0mg/ml.
Applicable Applications for anti-Mitochondria antibody
IHC (Immunohistochemistry), WB (Western Blot), IF (Immunofluorescence), FCM/FACS (Flow Cytometry)
Cellular Localization
Mitochondria in Cytoplasm
Immunogen
Mitochondrial fraction of HeLa cells
Positive Control
HeLa or HepG2 cells. Hepatic carcinomas.
Preparation and Storage
Antibody with azide - store at 2 to 8 degree C. Antibody is stable for 24 months.,Non-hazardous. No MSDS required.
Customer Reviews
Loading reviews...
Share Your Experience
Similar Products
Product Notes
The Mitochondria (Catalog #AAA62591) is an Antibody produced from Mouse and is intended for research purposes only. The product is available for immediate purchase. The Mitochondria (Marker for Human Cells) Mouse Monoclonal Antibody reacts with Human. Shows broad species reactivity including insects or bacteria and may cross-react with other species as described in the data sheet. AAA Biotech's Mitochondria can be used in a range of immunoassay formats including, but not limited to, IHC (Immunohistochemistry), WB (Western Blot), IF (Immunofluorescence), FCM/FACS (Flow Cytometry). Researchers should empirically determine the suitability of the Mitochondria for an application not listed in the data sheet. Researchers commonly develop new applications and it is an integral, important part of the investigative research process. It is sometimes possible for the material contained within the vial of "Mitochondria, Monoclonal Antibody" to become dispersed throughout the inside of the vial, particularly around the seal of said vial, during shipment and storage. We always suggest centrifuging these vials to consolidate all of the liquid away from the lid and to the bottom of the vial prior to opening. Please be advised that certain products may require dry ice for shipping and that, if this is the case, an additional dry ice fee may also be required.Precautions
All products in the AAA Biotech catalog are strictly for research-use only, and are absolutely not suitable for use in any sort of medical, therapeutic, prophylactic, in-vivo, or diagnostic capacity. By purchasing a product from AAA Biotech, you are explicitly certifying that said products will be properly tested and used in line with industry standard. AAA Biotech and its authorized distribution partners reserve the right to refuse to fulfill any order if we have any indication that a purchaser may be intending to use a product outside of our accepted criteria.Disclaimer
Though we do strive to guarantee the information represented in this datasheet, AAA Biotech cannot be held responsible for any oversights or imprecisions. AAA Biotech reserves the right to adjust any aspect of this datasheet at any time and without notice. It is the responsibility of the customer to inform AAA Biotech of any product performance issues observed or experienced within 30 days of receipt of said product. To see additional details on this or any of our other policies, please see our Terms & Conditions page.Item has been added to Shopping Cart
If you are ready to order, navigate to Shopping Cart and get ready to checkout.
