Mouse Moesin Monoclonal Antibody | anti-MSN antibody
Moesin
Gene Names
MSN; HEL70; IMD50
Reactivity
Human, Rat. Others not known.
Applications
Immunohistochemistry, Western Blot, Immunofluorescence, Flow Cytometry, Functional Assay
Synonyms
Moesin, Antibody; Moesin; Membrane-organizing extension spike protein; Moesin/anaplastic lymphoma kinase fusion protein; MSN/ALK fusion; anti-MSN antibody
Host
Mouse
Reactivity
Human, Rat. Others not known.
Clonality
Monoclonal
Isotype
IgG1, kappa
Clone Number
MSN/491
Specificity
Recognizes 78kDa moesin protein. Moesin, a member of the talin-4.1 superfamily, is a linking protein of the sub-membranous actin cytoskeleton. It is expressed in variable amounts in cells of different phenotypes such as macrophages, lymphocytes, fibroblastic, endothelial, epithelial, and neuronal cell lines but not in blood cells. The ERM proteins, ezrin, radixin, and moesin are involved in a variety of cellular functions, such as cell adhesion, migration, and the organization of cell surface structures, and are highly homologous, both in protein sequence and in functional activity, with merlin/schwannomin, a neurofibromatosis-2-associated tumor-suppressor protein. Cell lines of epithelial and mesothelial origin contain both moesin and radixin whereas cells of endothelial and lymphoid origin express moesin.
Form/Format
200ug/ml of Ab purified from Bioreactor Concentrate by Protein A/G. Prepared in 10mM PBS with 0.05% BSA & 0.05% azide. Also available WITHOUT BSA & azide at 1.0mg/ml.
Sequence Length
577
Applicable Applications for anti-MSN antibody
IHC (Immunohistochemistry), WB (Western Blot), IF (Immunofluorescence), FCM/FACS (Flow Cytometry)
Immunogen
Recombinant full-length human Moesin protein
Cellular Localization
Cytoplasmic & Cell Surface
Hu-chromosome Location
Xq11.1
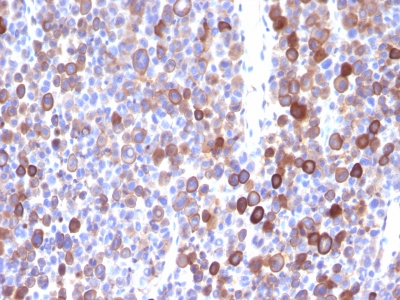
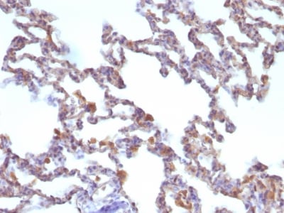
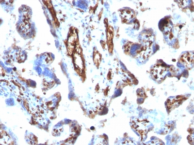
Positive Control
HT-29, CH3LC, or HUVEC cells. Uterus, Placenta, Tonsil, Melanoma, Testicular Carcinoma.
Preparation and Storage
Antibody with azide - store at 2 to 8 degree C.
Antibody without azide - store at -20 to -80 degree C.
Antibody is stable for 24 months. Non-hazardous. No MSDS required.
Antibody without azide - store at -20 to -80 degree C.
Antibody is stable for 24 months. Non-hazardous. No MSDS required.
References
Lankes W et. al., Biochem Journal, 1988; 251:831-842. Schwartz-Albiez R et. al., European Journal Cell Biology, 1995; 67:189-198.
NCBI and Uniprot Product Information
NCBI GI #
NCBI GeneID
NCBI Accession #
NCBI GenBank Nucleotide #
Molecular Weight
78kDa
NCBI Official Full Name
moesin
NCBI Official Synonym Full Names
moesin
NCBI Official Symbol
MSN
NCBI Official Synonym Symbols
HEL70; IMD50
NCBI Protein Information
moesin
UniProt Protein Name
Moesin
UniProt Gene Name
MSN
Customer Reviews
Loading reviews...
Share Your Experience
Similar Products
Product Notes
The MSN msn (Catalog #AAA214453) is an Antibody produced from Mouse and is intended for research purposes only. The product is available for immediate purchase. The Moesin reacts with Human, Rat. Others not known. and may cross-react with other species as described in the data sheet. AAA Biotech's Moesin can be used in a range of immunoassay formats including, but not limited to, IHC (Immunohistochemistry), WB (Western Blot), IF (Immunofluorescence), FCM/FACS (Flow Cytometry). Researchers should empirically determine the suitability of the MSN msn for an application not listed in the data sheet. Researchers commonly develop new applications and it is an integral, important part of the investigative research process. It is sometimes possible for the material contained within the vial of "Moesin, Monoclonal Antibody" to become dispersed throughout the inside of the vial, particularly around the seal of said vial, during shipment and storage. We always suggest centrifuging these vials to consolidate all of the liquid away from the lid and to the bottom of the vial prior to opening. Please be advised that certain products may require dry ice for shipping and that, if this is the case, an additional dry ice fee may also be required.Precautions
All products in the AAA Biotech catalog are strictly for research-use only, and are absolutely not suitable for use in any sort of medical, therapeutic, prophylactic, in-vivo, or diagnostic capacity. By purchasing a product from AAA Biotech, you are explicitly certifying that said products will be properly tested and used in line with industry standard. AAA Biotech and its authorized distribution partners reserve the right to refuse to fulfill any order if we have any indication that a purchaser may be intending to use a product outside of our accepted criteria.Disclaimer
Though we do strive to guarantee the information represented in this datasheet, AAA Biotech cannot be held responsible for any oversights or imprecisions. AAA Biotech reserves the right to adjust any aspect of this datasheet at any time and without notice. It is the responsibility of the customer to inform AAA Biotech of any product performance issues observed or experienced within 30 days of receipt of said product. To see additional details on this or any of our other policies, please see our Terms & Conditions page.Item has been added to Shopping Cart
If you are ready to order, navigate to Shopping Cart and get ready to checkout.
