MUC1 recombinant antibody
Anti-MUC1 [HMFG2]
Protein A Affinity Purified
Protein A Affinity Purified
WB (Western Blot)
( Western Blot using anti-MUC1 antibody HMFG2 MCF-7 cell lysate (35ug protein in RIPA buffer) were resolved on a 10% SDS PAGE gel and blots probed with the chimeric rabbit version of HMFG2 at 0.1 ug/ml before detection using an anti-rabbit secondary antibody. A primary incubation of 1h was used and protein was detected by chemiluminescence. The predicted band size for unmodified MUC1 is 122.1kDa, though in breast cancer cell lines like MCF-7 MUC1 can be up to 90% glycosylated (c.f. Mueller et al. PMID: 10373415; T47D cells) and expected band sizes are ~250-300kDa. Thus the two bands likely represent processed (>250kDa) and unprocessed (~121kDa) populations of the protein. successfully detected human MUC1 in MCF-7 breast cancer cells.)
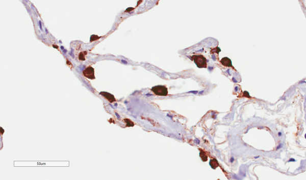
IHC (Immunohistochemisry)
( Immunohistochemical staining of human lung tissue using anti-MUC1 antibody HMFG2 Anti-MUC1 (Mucin-1) staining of paraffin embedded human lung tissue using the rabbit-chimeric version of HMFG2 for 20 mins followed by DAB (3,3'-diaminobenzidine), and counter-staining with haemotoxylin. Strong staining of type II pneumocytes may be observed. Recommended concentration, 1-2 ug/ml.)
IF (Immunofluorescence)
( Immunofluorescence staining of fixed MCF-7 cells with anti-MUC1 antibody HMFG2 Immunofluorescence analysis of unpermeabilisd paraformaldehyde fixed MCF-7 cells on Shi-fix™ coverslips stained with the chimeric rabbit version of HMFG2 at 10 ug/ml for 1h followed by Alexa Fluor 488 secondary antibody (1 ug/ml), showing membrane staining. The nuclear stain is DAPI (blue). Panels show from left-right, top-bottom DAPI, merged channels and an isotype control. The isotype control was stained with an anti-Fluorescein antibody followed by Alexa Fluor 488 secondary antibody.)
FCM/FACS (Flow Cytometry)
( Flow-cytometry using the anti-MUC1 antibody HMFG2 MCF-7 cells were stained with unimmunized rabbit IgG antibody (black line) or the rabbit-chimeric version of HMFG2 at a concentration of 10 ug/ml for 30 mins at RT. After washing, bound antibody was detected using an anti-rabbit IgG JK (FITC-conjugate) antibody (129936) at 2 ug/ml and cells analyzed on a FACSCanto flow-cytometer.)
NCBI and Uniprot Product Information
Customer Reviews
Loading reviews...
Share Your Experience
Similar Products
Product Notes
The MUC1 muc1 (Catalog #AAA71976) is a Recombinant Antibody and is intended for research purposes only. The product is available for immediate purchase. The Anti-MUC1 [HMFG2] reacts with Human and may cross-react with other species as described in the data sheet. AAA Biotech's MUC1 can be used in a range of immunoassay formats including, but not limited to, ELISA, IHC (Immunohistochemistry). Researchers should empirically determine the suitability of the MUC1 muc1 for an application not listed in the data sheet. Researchers commonly develop new applications and it is an integral, important part of the investigative research process. It is sometimes possible for the material contained within the vial of "MUC1, Monoclonal Recombinant Antibody" to become dispersed throughout the inside of the vial, particularly around the seal of said vial, during shipment and storage. We always suggest centrifuging these vials to consolidate all of the liquid away from the lid and to the bottom of the vial prior to opening. Please be advised that certain products may require dry ice for shipping and that, if this is the case, an additional dry ice fee may also be required.Precautions
All products in the AAA Biotech catalog are strictly for research-use only, and are absolutely not suitable for use in any sort of medical, therapeutic, prophylactic, in-vivo, or diagnostic capacity. By purchasing a product from AAA Biotech, you are explicitly certifying that said products will be properly tested and used in line with industry standard. AAA Biotech and its authorized distribution partners reserve the right to refuse to fulfill any order if we have any indication that a purchaser may be intending to use a product outside of our accepted criteria.Disclaimer
Though we do strive to guarantee the information represented in this datasheet, AAA Biotech cannot be held responsible for any oversights or imprecisions. AAA Biotech reserves the right to adjust any aspect of this datasheet at any time and without notice. It is the responsibility of the customer to inform AAA Biotech of any product performance issues observed or experienced within 30 days of receipt of said product. To see additional details on this or any of our other policies, please see our Terms & Conditions page.Item has been added to Shopping Cart
If you are ready to order, navigate to Shopping Cart and get ready to checkout.
