Mouse MUC2 (Mucin 2) Monoclonal Antibody | anti-MUC2 antibody
MUC2 (Mucin 2) Mouse Monoclonal Antibody
Gene Names
MUC2; MLP; SMUC; MUC-2
Reactivity
Human.Does not react with Rat
Applications
Immunohistochemistry, Immunofluorescence, Flow Cytometry, Functional Assay
Synonyms
MUC2 (Mucin 2), Antibody; MUC2 (Mucin 2) Mouse Monoclonal Antibody; Mucin-2, Intestinal mucin-2, Mucin like protein, (MLP), SMUC; anti-MUC2 antibody
Host
Mouse
Reactivity
Human.
Does not react with Rat
Does not react with Rat
Clonality
Monoclonal
Isotype
IgG1, kappa
Clone Number
MLP/842
Specificity
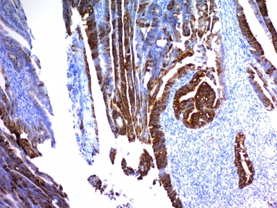
Recognizes a single glycoprotein of 520kDa, identified as mucin 2 (MUC2). This MAb shows no cross-reaction with human milk fat globule membranes, MUC1, or MUC3. Mucins are high molecular weight glycoproteins, which constitute the major component of the mucus layer that protects the gastric epithelium. MUC2 is specifically expressed in goblet cells of the small intestine & colon; in about 65% of colonic carcinomas and about 40% of gastric carcinomas. MUC2 is rarely expressed outside of the GI tract with the exceptions of mucinous carcinoma of breast and clear cell-type carcinomas of the ovary.
Form/Format
200ug/ml of Ab purified from Bioreactor Concentrate by Protein A/G. Prepared in 10mM PBS with 0.05% BSA & 0.05% azide. Also available WITHOUT BSA & azide at 1.0mg/ml.
Sequence Length
5179
Applicable Applications for anti-MUC2 antibody
IHC (Immunohistochemistry), IF (Immunofluorescence), FCM/FACS (Flow Cytometry)
Cellular Localization
Cytoplasmic and Cell Surface
Immunogen
Recombinant human MUC2 protein
Hu-Chromosome Location
11p15.5
Positive Control
LS174T cells or small intestine.
Preparation and Storage
Antibody with azide - store at 2 to 8 degree C. Antibody without azide - store at -20 to -80 degree C. Antibody is stable for 24 months. Non-hazardous. No MSDS required.
References
Gum, J.R., et al. 1992. The human Mucin 2 intestinal mucin has cysteine- rich subdomains located both upstream and downstream of its central repetitive region. J. Biol. Chem. 267: 21375-21383.
NCBI and Uniprot Product Information
NCBI GI #
NCBI GeneID
NCBI Accession #
NCBI GenBank Nucleotide #
Molecular Weight
520kDa
NCBI Official Full Name
mucin-2
NCBI Official Synonym Full Names
mucin 2, oligomeric mucus/gel-forming
NCBI Official Symbol
MUC2
NCBI Official Synonym Symbols
MLP; SMUC; MUC-2
NCBI Protein Information
mucin-2
UniProt Protein Name
Mucin-2
UniProt Gene Name
MUC2
UniProt Synonym Gene Names
SMUC; MUC-2
UniProt Entry Name
MUC2_HUMAN
Customer Reviews
Loading reviews...
Share Your Experience
Similar Products
Product Notes
The MUC2 muc2 (Catalog #AAA62680) is an Antibody produced from Mouse and is intended for research purposes only. The product is available for immediate purchase. The MUC2 (Mucin 2) Mouse Monoclonal Antibody reacts with Human. Does not react with Rat and may cross-react with other species as described in the data sheet. AAA Biotech's MUC2 (Mucin 2) can be used in a range of immunoassay formats including, but not limited to, IHC (Immunohistochemistry), IF (Immunofluorescence), FCM/FACS (Flow Cytometry). Researchers should empirically determine the suitability of the MUC2 muc2 for an application not listed in the data sheet. Researchers commonly develop new applications and it is an integral, important part of the investigative research process. It is sometimes possible for the material contained within the vial of "MUC2 (Mucin 2), Monoclonal Antibody" to become dispersed throughout the inside of the vial, particularly around the seal of said vial, during shipment and storage. We always suggest centrifuging these vials to consolidate all of the liquid away from the lid and to the bottom of the vial prior to opening. Please be advised that certain products may require dry ice for shipping and that, if this is the case, an additional dry ice fee may also be required.Precautions
All products in the AAA Biotech catalog are strictly for research-use only, and are absolutely not suitable for use in any sort of medical, therapeutic, prophylactic, in-vivo, or diagnostic capacity. By purchasing a product from AAA Biotech, you are explicitly certifying that said products will be properly tested and used in line with industry standard. AAA Biotech and its authorized distribution partners reserve the right to refuse to fulfill any order if we have any indication that a purchaser may be intending to use a product outside of our accepted criteria.Disclaimer
Though we do strive to guarantee the information represented in this datasheet, AAA Biotech cannot be held responsible for any oversights or imprecisions. AAA Biotech reserves the right to adjust any aspect of this datasheet at any time and without notice. It is the responsibility of the customer to inform AAA Biotech of any product performance issues observed or experienced within 30 days of receipt of said product. To see additional details on this or any of our other policies, please see our Terms & Conditions page.Item has been added to Shopping Cart
If you are ready to order, navigate to Shopping Cart and get ready to checkout.
