Mouse Napsin A Monoclonal Antibody | anti-NAPSA antibody
Napsin A (Lung Adenocarcinoma Marker)
Gene Names
NAPSA; KAP; Kdap; NAP1; NAPA; SNAPA
Reactivity
Human. Others not known.
Applications
Immunohistochemistry, Western Blot, Immunofluorescence, Flow Cytometry, Functional Assay
Synonyms
Napsin A, Antibody; Napsin A (Lung Adenocarcinoma Marker); ASP4; Aspartyl protease 4; KAP; Kidney derived aspartic protease like protein (Kdap); NAP1; NAPA; Napsa; napsin A aspartic peptidase; Pronapsin A; SNAPA; anti-NAPSA antibody
Host
Mouse
Reactivity
Human. Others not known.
Clonality
Monoclonal
Isotype
IgG1, kappa
Clone Number
rNAPSA/1239
Specificity
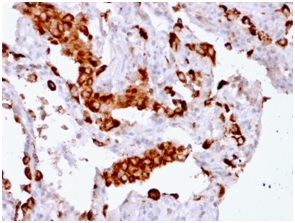
Napsin is a pepsin-like aspartic proteinaseconnected with maturation of surfactant protein B. There are two closely related napsins, napsin A and napsin B. Napsin A is expressed as a single chain protein. Immunohistochemical studies revealed high expression levels of napsin A in human lung and kidney but low expression in spleen. Napsin A is expressed in type II pneumocytes and in adenocarcinomas of lung. The high specificity expression of napsin A in adenocarcinomas of lung is useful to distinguish primary lung adenocarcinomas from adenocarcinomas of other organs.
Form/Format
200ug/ml of Ab purified from rabbit anti-serum by Protein A. Prepared in 10mM PBS with0.05% BSA & 0.05% azide. Also available WITHOUT BSA at 1.0mg/ml.
Sequence Length
420
Applicable Applications for anti-NAPSA antibody
IHC (Immunohistochemistry), WB (Western Blot), IF (Immunofluorescence), FCM/FACS (Flow Cytometry)
Immunogen
Recombinant fragment of human Napsin-A protein (aa 189-299)
Cellular Localization
Cytoplasmic
Hu-chromosome Location
19q13.33
Positive Control
Lung adenocarcinoma
Preparation and Storage
Antibody with azide - store at 2 to 8 degree C.
Antibody without azide - store at -20 to -80 degree C.
Antibody is stable for 24 months. Non-hazardous. No MSDS required.
Antibody without azide - store at -20 to -80 degree C.
Antibody is stable for 24 months. Non-hazardous. No MSDS required.
References
Ordonez, NG 2012 AdvAnatPathol 19: 66-73. Ye, J et. al.ApplImmunhistochemMolMorphol 19: 313-317. Bishop, JA et. al. Hum Pathol 41: 20-25
NCBI and Uniprot Product Information
NCBI GI #
NCBI GeneID
NCBI Accession #
NCBI GenBank Nucleotide #
Molecular Weight
37kDa
NCBI Official Full Name
napsin-A preproprotein
NCBI Official Synonym Full Names
napsin A aspartic peptidase
NCBI Official Symbol
NAPSA
NCBI Official Synonym Symbols
KAP; Kdap; NAP1; NAPA; SNAPA
NCBI Protein Information
napsin-A
UniProt Protein Name
Napsin-A
UniProt Gene Name
NAPSA
UniProt Synonym Gene Names
NAP1; NAPA; ASP4; Asp 4
Customer Reviews
Loading reviews...
Share Your Experience
Similar Products
Product Notes
The NAPSA napsa (Catalog #AAA214598) is an Antibody produced from Mouse and is intended for research purposes only. The product is available for immediate purchase. The Napsin A (Lung Adenocarcinoma Marker) reacts with Human. Others not known. and may cross-react with other species as described in the data sheet. AAA Biotech's Napsin A can be used in a range of immunoassay formats including, but not limited to, IHC (Immunohistochemistry), WB (Western Blot), IF (Immunofluorescence), FCM/FACS (Flow Cytometry). Researchers should empirically determine the suitability of the NAPSA napsa for an application not listed in the data sheet. Researchers commonly develop new applications and it is an integral, important part of the investigative research process. It is sometimes possible for the material contained within the vial of "Napsin A, Monoclonal Antibody" to become dispersed throughout the inside of the vial, particularly around the seal of said vial, during shipment and storage. We always suggest centrifuging these vials to consolidate all of the liquid away from the lid and to the bottom of the vial prior to opening. Please be advised that certain products may require dry ice for shipping and that, if this is the case, an additional dry ice fee may also be required.Precautions
All products in the AAA Biotech catalog are strictly for research-use only, and are absolutely not suitable for use in any sort of medical, therapeutic, prophylactic, in-vivo, or diagnostic capacity. By purchasing a product from AAA Biotech, you are explicitly certifying that said products will be properly tested and used in line with industry standard. AAA Biotech and its authorized distribution partners reserve the right to refuse to fulfill any order if we have any indication that a purchaser may be intending to use a product outside of our accepted criteria.Disclaimer
Though we do strive to guarantee the information represented in this datasheet, AAA Biotech cannot be held responsible for any oversights or imprecisions. AAA Biotech reserves the right to adjust any aspect of this datasheet at any time and without notice. It is the responsibility of the customer to inform AAA Biotech of any product performance issues observed or experienced within 30 days of receipt of said product. To see additional details on this or any of our other policies, please see our Terms & Conditions page.Item has been added to Shopping Cart
If you are ready to order, navigate to Shopping Cart and get ready to checkout.
