Mouse anti-Human Neurofilament Monoclonal Antibody | anti-NEFL antibody
Neurofilament (ABT356) Antibody
Gene Names
NEFL; NFL; NF-L; NF68; CMT1F; CMT2E; PPP1R110
Reactivity
Human
Applications
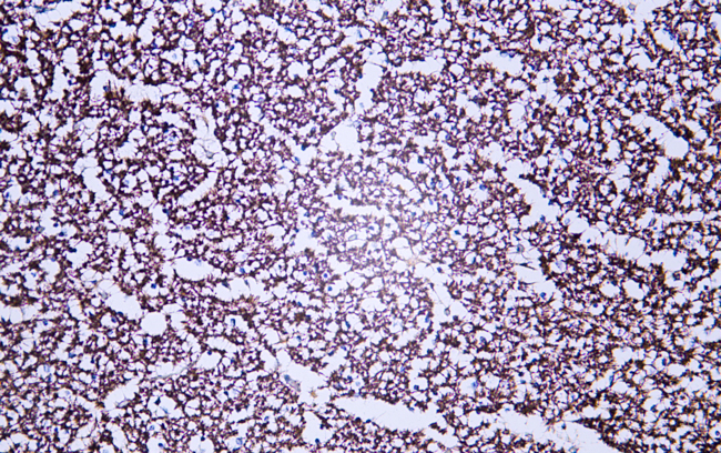
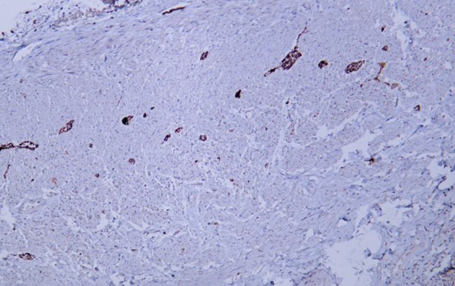
ELISA, Immunofluorescence, Western Blot, Immunohistochemistry
Purity
Protein G
Synonyms
Neurofilament, Antibody; Neurofilament (ABT356) Antibody; Neurofilament; 150 kDa medium; 160 kDa neurofilament protein; 2 kDa neurofilamentprotein; 200 kDa neurofilament protein; 68 kDa neurofilament protein; AI847934; CMT1F; CMT2CC; CMT2E; FLJ53642; KIAA0845; lightmolecular weight neurofilament protein; Micro glutamic acid-rich protein; anti-NEFL antibody
Host
Mouse
Reactivity
Human
Clonality
Monoclonal
Isotype
Mouse IgG2b, kappa
Clone Number
ABT356
Specificity
The antibody can specifically recognize human Neurofilament protein, especilaly NF-L protein.
Purity/Purification
Protein G
Form/Format
PBS, 50% glycerol, 0.05% Proclin 300, 0.05%BSA
Applicable Applications for anti-NEFL antibody
ELISA, IF (Immunofluorescence), WB (Western Blot), IHC (Immunohistochemistry)
Preparation and Storage
Store at -20 degree C/1 year
Product Categories/Family for anti-NEFL antibody
NCBI and Uniprot Product Information
NCBI GI #
NCBI GeneID
Molecular Weight
543
NCBI Official Full Name
Neurofilament light polypeptide
NCBI Official Synonym Full Names
neurofilament, light polypeptide
NCBI Official Symbol
NEFL
NCBI Official Synonym Symbols
NFL; NF-L; NF68; CMT1F; CMT2E; PPP1R110
NCBI Protein Information
neurofilament light polypeptide; neurofilament subunit NF-L; neurofilament triplet L protein; neurofilament protein, light chain; neurofilament, light polypeptide 68kDa; light molecular weight neurofilament protein; protein phosphatase 1, regulatory subun
UniProt Protein Name
Neurofilament light polypeptide
UniProt Gene Name
NEFL
UniProt Synonym Gene Names
NF68; NFL; NF-L
UniProt Entry Name
NFL_HUMAN
Customer Reviews
Loading reviews...
Share Your Experience
Similar Products
Product Notes
The NEFL nefl (Catalog #AAA320657) is an Antibody produced from Mouse and is intended for research purposes only. The product is available for immediate purchase. The Neurofilament (ABT356) Antibody reacts with Human and may cross-react with other species as described in the data sheet. AAA Biotech's Neurofilament can be used in a range of immunoassay formats including, but not limited to, ELISA, IF (Immunofluorescence), WB (Western Blot), IHC (Immunohistochemistry). Researchers should empirically determine the suitability of the NEFL nefl for an application not listed in the data sheet. Researchers commonly develop new applications and it is an integral, important part of the investigative research process. It is sometimes possible for the material contained within the vial of "Neurofilament, Monoclonal Antibody" to become dispersed throughout the inside of the vial, particularly around the seal of said vial, during shipment and storage. We always suggest centrifuging these vials to consolidate all of the liquid away from the lid and to the bottom of the vial prior to opening. Please be advised that certain products may require dry ice for shipping and that, if this is the case, an additional dry ice fee may also be required.Precautions
All products in the AAA Biotech catalog are strictly for research-use only, and are absolutely not suitable for use in any sort of medical, therapeutic, prophylactic, in-vivo, or diagnostic capacity. By purchasing a product from AAA Biotech, you are explicitly certifying that said products will be properly tested and used in line with industry standard. AAA Biotech and its authorized distribution partners reserve the right to refuse to fulfill any order if we have any indication that a purchaser may be intending to use a product outside of our accepted criteria.Disclaimer
Though we do strive to guarantee the information represented in this datasheet, AAA Biotech cannot be held responsible for any oversights or imprecisions. AAA Biotech reserves the right to adjust any aspect of this datasheet at any time and without notice. It is the responsibility of the customer to inform AAA Biotech of any product performance issues observed or experienced within 30 days of receipt of said product. To see additional details on this or any of our other policies, please see our Terms & Conditions page.Item has been added to Shopping Cart
If you are ready to order, navigate to Shopping Cart and get ready to checkout.
