Mouse Neurofilament (H+L) Monoclonal Antibody | anti-NEFH antibody
Neurofilament (H+L) (Neuronal Marker) Mouse Monoclonal Antibody
Gene Names
NEFH; NFH; CMT2CC
Reactivity
Human, Mouse, Rat, Chicken, Pig
Applications
Immunohistochemistry, Flow Cytometry, Functional Assay
Synonyms
Neurofilament (H+L), Antibody; Neurofilament (H+L) (Neuronal Marker) Mouse Monoclonal Antibody; NEFH; Neurofilament H; Neurofilament Heavy Polypeptide 200kDa; Neurofilament Triplet H Protein; NF-H; NF200. 68kDa neurofilament protein, Light molecular weight neurofilament protein, NEFL, Neurofilament light polypeptide 68kDa, Neurofilament light polypeptide, Neurofilament protein, light chain, Neurofilament subunit NF-L, Neurofilament triplet L protein, NF-L, NF68; anti-NEFH antibody
Host
Mouse
Reactivity
Human, Mouse, Rat, Chicken, Pig
Clonality
Monoclonal
Isotype
IgG1
Clone Number
NF421 + NFL/736
Specificity
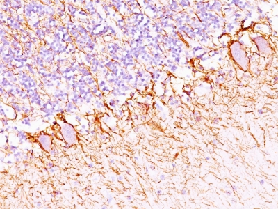
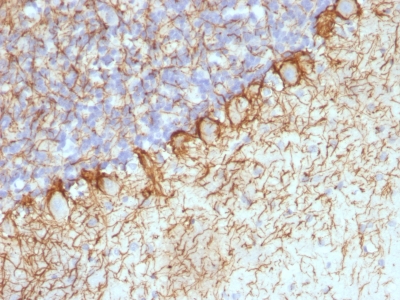
This MAb reacts with a 200kDa and 68kDa protein, identified as heavy and light sub-units of neurofilaments (NF-H & NF-L). Neurofilaments make up the main structural elements of axons and dendrites and are found in neurons, peripheral nerves, and sympathetic ganglion cells. Neurofilaments consist of three major subunits with molecular weights of 68kDa (NF-L), 160kDa (NF-M) and 200kDa (NF-H). Anti-neurofilament stains a number of neural, neuroendocrine, and endocrine tumors. Neuromas, ganglioneuromas, gangliogliomas, ganglioneuroblastomas, and neuroblastomas stain positively for anti-neurofilament. Neurofilaments are also present in paragangliomas as well as adrenal and extra-adrenal pheochromocytomas. Carcinoids, neuroendocrine carcinomas of the skin, and oat cell carcinomas of the lung also express neurofilament.
Form/Format
200ug/ml of Ab purified from Bioreactor Concentrate. Prepared in 10mM PBS with 0.05% BSA & 0.05% azide. Also available WITHOUT BSA & azide at 1.0mg/ml.
Sequence Length
1020
Applicable Applications for anti-NEFH antibody
IHC (Immunohistochemistry), FCM/FACS (Flow Cytometry)
Cellular Localization
Cytoplasmic
Immunogen
Recombinant human neurofilament protein
Hu-Chromosome Location
22q12.2 (NEFH) & 8p21.2 (NEFL)
Positive Control
Brain, Neuroblastoma
Preparation and Storage
Antibody with azide - store at 2 to 8 degree C. Antibody without azide - store at -20 to -80 degree C. Antibody is stable for 24 months. Non-hazardous. No MSDS required.
References
Ishii M et. al. Fukushima J Med Sci. 2004;50(2):65-74. Angelides, K.J., et. al. 1989. J. Cell Biol. 108: 1495-1506.
NCBI and Uniprot Product Information
NCBI GI #
NCBI GeneID
NCBI Accession #
NCBI GenBank Nucleotide #
Molecular Weight
200kDa; 68kDa
NCBI Official Full Name
neurofilament heavy polypeptide
NCBI Official Synonym Full Names
neurofilament heavy polypeptide
NCBI Official Symbol
NEFH
NCBI Official Synonym Symbols
NFH; CMT2CC
NCBI Protein Information
neurofilament heavy polypeptide
UniProt Protein Name
Neurofilament heavy polypeptide
UniProt Gene Name
NEFH
UniProt Synonym Gene Names
KIAA0845; NFH; NF-H
UniProt Entry Name
NFH_HUMAN
Customer Reviews
Loading reviews...
Share Your Experience
Similar Products
Product Notes
The NEFH nefh (Catalog #AAA62721) is an Antibody produced from Mouse and is intended for research purposes only. The product is available for immediate purchase. The Neurofilament (H+L) (Neuronal Marker) Mouse Monoclonal Antibody reacts with Human, Mouse, Rat, Chicken, Pig and may cross-react with other species as described in the data sheet. AAA Biotech's Neurofilament (H+L) can be used in a range of immunoassay formats including, but not limited to, IHC (Immunohistochemistry), FCM/FACS (Flow Cytometry). Researchers should empirically determine the suitability of the NEFH nefh for an application not listed in the data sheet. Researchers commonly develop new applications and it is an integral, important part of the investigative research process. It is sometimes possible for the material contained within the vial of "Neurofilament (H+L), Monoclonal Antibody" to become dispersed throughout the inside of the vial, particularly around the seal of said vial, during shipment and storage. We always suggest centrifuging these vials to consolidate all of the liquid away from the lid and to the bottom of the vial prior to opening. Please be advised that certain products may require dry ice for shipping and that, if this is the case, an additional dry ice fee may also be required.Precautions
All products in the AAA Biotech catalog are strictly for research-use only, and are absolutely not suitable for use in any sort of medical, therapeutic, prophylactic, in-vivo, or diagnostic capacity. By purchasing a product from AAA Biotech, you are explicitly certifying that said products will be properly tested and used in line with industry standard. AAA Biotech and its authorized distribution partners reserve the right to refuse to fulfill any order if we have any indication that a purchaser may be intending to use a product outside of our accepted criteria.Disclaimer
Though we do strive to guarantee the information represented in this datasheet, AAA Biotech cannot be held responsible for any oversights or imprecisions. AAA Biotech reserves the right to adjust any aspect of this datasheet at any time and without notice. It is the responsibility of the customer to inform AAA Biotech of any product performance issues observed or experienced within 30 days of receipt of said product. To see additional details on this or any of our other policies, please see our Terms & Conditions page.Item has been added to Shopping Cart
If you are ready to order, navigate to Shopping Cart and get ready to checkout.
