Mouse anti-Rat Neutrophil Activating Protein 3 Monoclonal Antibody | anti-NAP3 antibody
Monoclonal Antibody to Neutrophil Activating Protein 3 (NAP3)
Gene Names
Cxcl1; Gro1; CINC-1
Reactivity
Rat
Applications
ELISA, Immunohistochemistry, Immunocytochemistry, Western Blot
Purity
Affinity Chromatography
Synonyms
Neutrophil Activating Protein 3, Antibody; Monoclonal Antibody to Neutrophil Activating Protein 3 (NAP3); anti-NAP3 antibody
Host
Mouse
Reactivity
Rat
Clonality
Monoclonal
Isotype
IgG2b Kappa
Clone Number
A5
Specificity
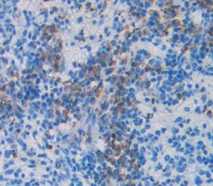
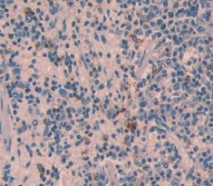
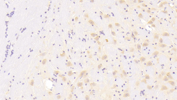
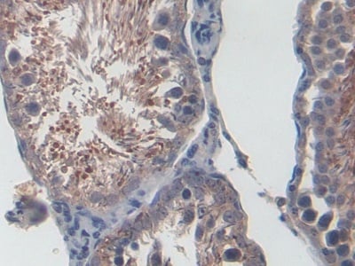
The antibody is a mouse monoclonal antibody raised against NAP3. It has beenselected for its ability to recognize NAP3 in immunohistochemical staining andwestern blotting.
Purity/Purification
Affinity Chromatography
Form/Format
Liquid
Concentration
1mg/ml (varies by lot)
Applicable Applications for anti-NAP3 antibody
ELISA, IHC (Immunohistochemistry), ICC (Immunocytochemistry), WB (Western Blot)
Organism Species
Rattus norvegicus (Rat)
Cross Reactivity
Rat
Conjugate
No Conjugate
Immunogen
Recombinant NAP3 (Ala25~Lys96) expressed in E Coli.
Conjugated Antibody
The APC conjugated antibody version of this item is also available as
Preparation and Storage
Store at 4 degree C for frequent use. Stored at -20 degree C to -80 degree C in a manual defrost freezer for one year without detectable loss of activity. Avoid repeated freeze-thaw cycles.
NCBI and Uniprot Product Information
NCBI GI #
NCBI GeneID
NCBI Accession #
NCBI GenBank Nucleotide #
UniProt Accession #
Molecular Weight
10,249 Da
NCBI Official Full Name
growth-regulated alpha protein
NCBI Official Synonym Full Names
C-X-C motif chemokine ligand 1
NCBI Official Symbol
Cxcl1
NCBI Official Synonym Symbols
Gro1; CINC-1
NCBI Protein Information
growth-regulated alpha protein
UniProt Protein Name
Growth-regulated alpha protein
UniProt Gene Name
Cxcl1
UniProt Synonym Gene Names
Cinc1; Gro; Scyb1; CINC-1
Customer Reviews
Loading reviews...
Share Your Experience
Similar Products
Product Notes
The NAP3 cxcl1 (Catalog #AAA141330) is an Antibody produced from Mouse and is intended for research purposes only. The product is available for immediate purchase. The Monoclonal Antibody to Neutrophil Activating Protein 3 (NAP3) reacts with Rat and may cross-react with other species as described in the data sheet. AAA Biotech's Neutrophil Activating Protein 3 can be used in a range of immunoassay formats including, but not limited to, ELISA, IHC (Immunohistochemistry), ICC (Immunocytochemistry), WB (Western Blot). Researchers should empirically determine the suitability of the NAP3 cxcl1 for an application not listed in the data sheet. Researchers commonly develop new applications and it is an integral, important part of the investigative research process. It is sometimes possible for the material contained within the vial of "Neutrophil Activating Protein 3, Monoclonal Antibody" to become dispersed throughout the inside of the vial, particularly around the seal of said vial, during shipment and storage. We always suggest centrifuging these vials to consolidate all of the liquid away from the lid and to the bottom of the vial prior to opening. Please be advised that certain products may require dry ice for shipping and that, if this is the case, an additional dry ice fee may also be required.Precautions
All products in the AAA Biotech catalog are strictly for research-use only, and are absolutely not suitable for use in any sort of medical, therapeutic, prophylactic, in-vivo, or diagnostic capacity. By purchasing a product from AAA Biotech, you are explicitly certifying that said products will be properly tested and used in line with industry standard. AAA Biotech and its authorized distribution partners reserve the right to refuse to fulfill any order if we have any indication that a purchaser may be intending to use a product outside of our accepted criteria.Disclaimer
Though we do strive to guarantee the information represented in this datasheet, AAA Biotech cannot be held responsible for any oversights or imprecisions. AAA Biotech reserves the right to adjust any aspect of this datasheet at any time and without notice. It is the responsibility of the customer to inform AAA Biotech of any product performance issues observed or experienced within 30 days of receipt of said product. To see additional details on this or any of our other policies, please see our Terms & Conditions page.Item has been added to Shopping Cart
If you are ready to order, navigate to Shopping Cart and get ready to checkout.
